Skip to main content

UBE2Z Antibody - BSA Free

Novus Biologicals, part of Bio-Techne | Catalog # NBP1-82245

Novus Biologicals, part of Bio-Techne
Catalog #
Availability
Size / Price
Qty
Loading...
NBP1-82245
NBP1-82245-25ul

Key Product Details

Validated by

Knockout/Knockdown

Species Reactivity

Human, Mouse, Rat

Applications

Immunohistochemistry, Immunohistochemistry-Paraffin, Western Blot, Immunocytochemistry/ Immunofluorescence, Simple Western, Knockdown Validated

Label

Unconjugated

Antibody Source

Polyclonal Rabbit IgG

Format

BSA Free

Concentration

Concentrations vary lot to lot. See vial label for concentration. If unlisted please contact technical services.

Product Specifications

Immunogen

This antibody was developed against Recombinant Protein corresponding to amino acids: ISSVLISIQSLMTENPYHNEPGFEQERHPGDSKNYNECIRHETIRVAVCDMMEGKCPCPEPLRGVMEKSFLEYYDFYEVACKDRLHLQGQTMQDPFGEKRGHFDYQSLLMRLGLIRQKVLERLHNENAEMDS

Clonality

Polyclonal

Host

Rabbit

Isotype

IgG

Scientific Data Images for UBE2Z Antibody - BSA Free

Western Blot: UBE2Z Antibody [NBP1-82245]

Western Blot: UBE2Z Antibody [NBP1-82245]

Western Blot: UBE2Z Antibody [NBP1-82245] - Analysis in U-138MG cells transfected with control siRNA, target specific siRNA probe #1 and #2,. Remaining relative intensity is presented. Loading control: Anti-PPIB.
Immunocytochemistry/ Immunofluorescence: UBE2Z Antibody [NBP1-82245]

Immunocytochemistry/ Immunofluorescence: UBE2Z Antibody [NBP1-82245]

Immunocytochemistry/Immunofluorescence: UBE2Z Antibody [NBP1-82245] - Immunofluorescent staining of human cell line A-431 shows localization to nucleoplasm & cytosol.
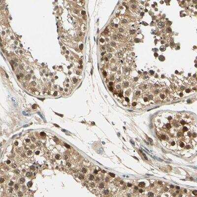
Immunohistochemistry-Paraffin: UBE2Z Antibody [NBP1-82245]

Immunohistochemistry-Paraffin: UBE2Z Antibody [NBP1-82245]

Immunohistochemistry-Paraffin: UBE2Z Antibody [NBP1-82245] - Staining of human testis shows strong nuclear and cytoplasmic positivity in cells in seminiferus ducts and moderate in Leydig cells.

Applications for UBE2Z Antibody - BSA Free

Application
Recommended Usage

Immunocytochemistry/ Immunofluorescence

0.25-2 ug/ml

Immunohistochemistry

1:200 - 1:500

Immunohistochemistry-Paraffin

1:200 - 1:500

Simple Western

1:20

Western Blot

0.04-0.4 ug/ml
Application Notes
IHC-Paraffin, HIER pH 6 retrieval is recommended. ICC/IF,Fixation Permeabilization: Use PFA/Triton X-100.

In Simple Western only 10 - 15 uL of the recommended dilution is used per data point.
See Simple Western Antibody Database for Simple Western validation: Tested in NIH-3T3, separated by Size, antibody dilution of 1:20, apparent MW was 48 kDa. Separated by Size-Wes, Sally Sue/Peggy Sue.

Formulation, Preparation, and Storage

Purification

Affinity purified

Formulation

PBS (pH 7.2) and 40% Glycerol

Format

BSA Free

Preservative

0.02% Sodium Azide

Concentration

Concentrations vary lot to lot. See vial label for concentration. If unlisted please contact technical services.

Shipping

The product is shipped with polar packs. Upon receipt, store it immediately at the temperature recommended below.

Stability & Storage

Store at 4C short term. Aliquot and store at -20C long term. Avoid freeze-thaw cycles.

Background: UBE2Z

Modification of proteins with ubiquitin (UBB; MIM 191339) or ubiquitin-like proteins controls many signaling networksand requires a ubiquitin activating enzyme (E1), a ubiquitin conjugating enzyme (E2), and a ubiquitin protein ligase(E3). UBE2Z is an E2 enzyme (Jin et al., 2007 (PubMed 17597759)).(supplied by OMIM)

Alternate Names

EC 6.3.2.19, FLJ13855, Uba6-specific E2 conjugating enzyme 1, UBA6-specific enzyme E2, Ubiquitin carrier protein Z, ubiquitin-conjugating enzyme E2 Z, ubiquitin-conjugating enzyme E2Z, Ubiquitin-protein ligase Z, Use1

Gene Symbol

UBE2Z

Additional UBE2Z Products

Product Documents for UBE2Z Antibody - BSA Free

Certificate of Analysis

To download a Certificate of Analysis, please enter a lot number in the search box below.

Product Specific Notices for UBE2Z Antibody - BSA Free

This product is for research use only and is not approved for use in humans or in clinical diagnosis. Primary Antibodies are guaranteed for 1 year from date of receipt.

Loading...
Loading...
Loading...
Loading...