Skip to main content

UBE2M/Ubc12 Antibody - BSA Free

Novus Biologicals, part of Bio-Techne | Catalog # NBP1-31459

Novus Biologicals, part of Bio-Techne
Catalog #
Availability
Size / Price
Qty
Loading...
NBP1-31459

Key Product Details

Species Reactivity

Validated:

Human

Predicted:

Bovine (100%), Mouse (100%), Rat (100%), Rhesus Macaque (100%), Xenopus (95%). Backed by our 100% Guarantee.

Applications

Validated:

Immunohistochemistry, Immunohistochemistry-Paraffin, Western Blot

Cited:

Western Blot

Label

Unconjugated

Antibody Source

Polyclonal Rabbit IgG

Format

BSA Free

Concentration

Concentrations vary lot to lot. See vial label for concentration. If unlisted please contact technical services.

Product Specifications

Immunogen

Recombinant protein encompassing a sequence within the center region of human UBE2M/Ubc12. The exact sequence is proprietary.

Clonality

Polyclonal

Host

Rabbit

Isotype

IgG

Theoretical MW

21 kDa.
Disclaimer note: The observed molecular weight of the protein may vary from the listed predicted molecular weight due to post translational modifications, post translation cleavages, relative charges, and other experimental factors.

Description

Novus Biologicals Rabbit UBE2M/Ubc12 Antibody - BSA Free (NBP1-31459) is a polyclonal antibody validated for use in IHC and WB. Anti-UBE2M/Ubc12 Antibody: Cited in 1 publication. All Novus Biologicals antibodies are covered by our 100% guarantee.

Scientific Data Images for UBE2M/Ubc12 Antibody - BSA Free

Western Blot: UBE2M/Ubc12 Antibody [NBP1-31459]

Western Blot: UBE2M/Ubc12 Antibody [NBP1-31459]

Western Blot: UBE2M/Ubc12 Antibody [NBP1-31459] - Sample(30 ug whole cell lysate) A:293T 12% SDS PAGE, antibody diluted at 1:1000.
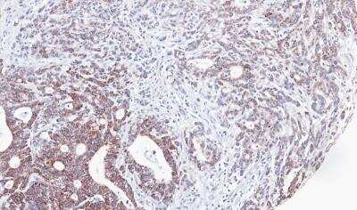
Immunohistochemistry-Paraffin: UBE2M/Ubc12 Antibody [NBP1-31459]

Immunohistochemistry-Paraffin: UBE2M/Ubc12 Antibody [NBP1-31459]

Immunohistochemistry-Paraffin: UBE2M/Ubc12 Antibody [NBP1-31459] - Paraffin-embedded gastric CA, using antibody at 1:100 dilution.

Applications for UBE2M/Ubc12 Antibody - BSA Free

Application
Recommended Usage

Immunohistochemistry

1:100-1:1000

Immunohistochemistry-Paraffin

1:100-1:1000

Western Blot

1:500-1:3000

Formulation, Preparation, and Storage

Purification

Antigen Affinity-purified

Formulation

0.1M Tris, 0.1M Glycine, 10% Glycerol

Format

BSA Free

Preservative

0.01% Thimerosal

Concentration

Concentrations vary lot to lot. See vial label for concentration. If unlisted please contact technical services.

Shipping

The product is shipped with polar packs. Upon receipt, store it immediately at the temperature recommended below.

Stability & Storage

Aliquot and store at -20C or -80C. Avoid freeze-thaw cycles.

Background: UBE2M/Ubc12

The modification of proteins with ubiquitin is an important cellular mechanism for targeting abnormal or short-lived proteins for degradation. Ubiquitination involves at least three classes of enzymes: ubiquitin-activating enzymes, or E1s, ubiquitin-conjugating enzymes, or E2s, and ubiquitin-protein ligases, or E3s. This gene encodes a member of the E2 ubiquitin-conjugating enzyme family. The encoded protein is linked with a ubiquitin-like protein, NEDD8, which can be conjugated to cellular proteins, such as Cdc53/culin.

Alternate Names

UBC-RS2, UBC12, UbcH12

Gene Symbol

UBE2M

Additional UBE2M/Ubc12 Products

Product Documents for UBE2M/Ubc12 Antibody - BSA Free

Certificate of Analysis

To download a Certificate of Analysis, please enter a lot number in the search box below.

Product Specific Notices for UBE2M/Ubc12 Antibody - BSA Free

This product is for research use only and is not approved for use in humans or in clinical diagnosis. Primary Antibodies are guaranteed for 1 year from date of receipt.

Loading...
Loading...
Loading...
Loading...

⚠ WARNING: This product can expose you to chemicals including mercury, which is known to the State of California to cause reproductive toxicity with developmental effects.  For more information go to www.P65Warnings.ca.gov.