Skip to main content

UAP1L1 Antibody - BSA Free

Novus Biologicals, part of Bio-Techne | Catalog # NBP1-92555

Novus Biologicals, part of Bio-Techne
Catalog #
Availability
Size / Price
Qty
Loading...
NBP1-92555
NBP1-92555-25ul

Key Product Details

Species Reactivity

Human

Applications

Immunohistochemistry, Immunohistochemistry-Paraffin, Western Blot, Immunocytochemistry/ Immunofluorescence

Label

Unconjugated

Antibody Source

Polyclonal Rabbit IgG

Format

BSA Free

Concentration

Concentrations vary lot to lot. See vial label for concentration. If unlisted please contact technical services.

Product Specifications

Immunogen

This antibody was developed against Recombinant Protein corresponding to amino acids: SPNWTLDPEPRCRLWSEPRLPAGPGVLAAGSPRLPCRYVMTSEFTLGPTAEFFREHNFFHLDPANVVMFEQRLLPAVTFDGKVILER

Clonality

Polyclonal

Host

Rabbit

Isotype

IgG

Description

Novus Biologicals Rabbit UAP1L1 Antibody - BSA Free (NBP1-92555) is a polyclonal antibody validated for use in IHC, WB and ICC/IF. All Novus Biologicals antibodies are covered by our 100% guarantee.

Scientific Data Images for UAP1L1 Antibody - BSA Free

Western Blot: UAP1L1 Antibody [NBP1-92555]

Western Blot: UAP1L1 Antibody [NBP1-92555]

Western Blot: UAP1L1 Antibody [NBP1-92555] - Analysis in human cell line SK-BR-3.
Immunohistochemistry-Paraffin: UAP1L1 Antibody [NBP1-92555]

Immunohistochemistry-Paraffin: UAP1L1 Antibody [NBP1-92555]

Immunohistochemistry-Paraffin: UAP1L1 Antibody [NBP1-92555] - Staining of human skeletal muscle shows no positivity in myocytes as expected.
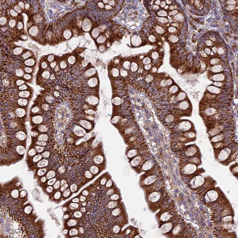
Immunohistochemistry-Paraffin: UAP1L1 Antibody [NBP1-92555]

Immunohistochemistry-Paraffin: UAP1L1 Antibody [NBP1-92555]

Immunohistochemistry-Paraffin: UAP1L1 Antibody [NBP1-92555] - Staining of human small intestine shows strong granular cytoplasmic positivity in glandular cells.

Applications for UAP1L1 Antibody - BSA Free

Application
Recommended Usage

Immunocytochemistry/ Immunofluorescence

0.25-2 ug/ml

Immunohistochemistry

1:200 - 1:500

Immunohistochemistry-Paraffin

1:200 - 1:500

Western Blot

0.04-0.4 ug/ml
Application Notes
For IHC-Paraffin, HIER pH 6 retrieval is recommended. ICC/IF Fixation Permeabilization: Use PFA/Triton X-100.

Formulation, Preparation, and Storage

Purification

Immunogen affinity purified

Formulation

PBS (pH 7.2) and 40% Glycerol

Format

BSA Free

Preservative

0.02% Sodium Azide

Concentration

Concentrations vary lot to lot. See vial label for concentration. If unlisted please contact technical services.

Shipping

The product is shipped with polar packs. Upon receipt, store it immediately at the temperature recommended below.

Stability & Storage

Store at 4C short term. Aliquot and store at -20C long term. Avoid freeze-thaw cycles.

Background: UAP1L1

Alternate Names

EC 2.7.7, EC 2.7.7.-, EC 2.7.7.23, EC 2.7.7.27, RP11-229P13.18, UDP-N-acetylhexosamine pyrophosphorylase-like protein 1, UDP-N-acteylglucosamine pyrophosphorylase 1-like 1

Gene Symbol

UAP1L1

Additional UAP1L1 Products

Product Documents for UAP1L1 Antibody - BSA Free

Certificate of Analysis

To download a Certificate of Analysis, please enter a lot number in the search box below.

Product Specific Notices for UAP1L1 Antibody - BSA Free

This product is for research use only and is not approved for use in humans or in clinical diagnosis. Primary Antibodies are guaranteed for 1 year from date of receipt.

Loading...
Loading...
Loading...
Loading...