Skip to main content

U2AF2 Antibody

Novus Biologicals, part of Bio-Techne | Catalog # NBP2-20775

Novus Biologicals, part of Bio-Techne
Catalog #
Availability
Size / Price
Qty
Loading...
NBP2-20775

Key Product Details

Species Reactivity

Human

Applications

Immunohistochemistry, Immunohistochemistry-Paraffin, Western Blot, Immunocytochemistry/ Immunofluorescence

Label

Unconjugated

Antibody Source

Polyclonal Rabbit IgG

Concentration

Concentrations vary lot to lot. See vial label for concentration. If unlisted please contact technical services.

Product Specifications

Immunogen

Recombinant protein encompassing a sequence within the center region of human U2AF2. The exact sequence is proprietary.

Localization

Nucleus

Clonality

Polyclonal

Host

Rabbit

Isotype

IgG

Theoretical MW

53 kDa.
Disclaimer note: The observed molecular weight of the protein may vary from the listed predicted molecular weight due to post translational modifications, post translation cleavages, relative charges, and other experimental factors.

Description

Novus Biologicals Rabbit U2AF2 Antibody (NBP2-20775) is a polyclonal antibody validated for use in IHC, WB and ICC/IF. All Novus Biologicals antibodies are covered by our 100% guarantee.

Scientific Data Images for U2AF2 Antibody

Immunohistochemistry-Paraffin: U2AF2 Antibody [NBP2-20775]

Immunohistochemistry-Paraffin: U2AF2 Antibody [NBP2-20775]

Immunohistochemistry-Paraffin: U2AF2 Antibody [NBP2-20775] - Immunohistochemical analysis of paraffin-embedded OVCA, using antibody at 1:250 dilution.
U2AF2 Antibody

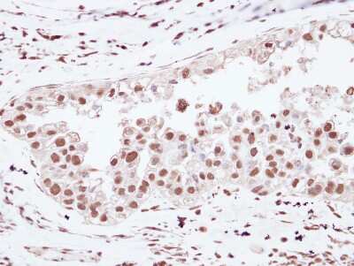
Immunocytochemistry/ Immunofluorescence: U2AF2 Antibody [NBP2-20775] -

Immunocytochemistry/ Immunofluorescence: U2AF2 Antibody [NBP2-20775] - U2AF2 antibody [C1C3] detects U2AF2 protein at nucleus by immunofluorescent analysis.Sample: A431 cells were fixed in 4% paraformaldehyde at RT for 15 min.Green: U2AF2 stained by U2AF2 antibody [C1C3] (NBP2-20775) diluted at 1:500.Red: alpha Tubulin, a cytoskeleton marker, stained by alpha Tubulin antibody [GT114] diluted at 1:1000.
U2AF2 Antibody

Immunohistochemistry-Paraffin: U2AF2 Antibody [NBP2-20775] -

Immunohistochemistry-Paraffin: U2AF2 Antibody [NBP2-20775] - U2AF2 antibody [C1C3] detects U2AF2 protein at cytoplasm and nucleus by immunohistochemical analysis.Sample: Paraffin-embedded mouse tissue.U2AF2 stained by U2AF2 antibody [C1C3] (NBP2-20775) diluted at 1:500.Antigen Retrieval: Citrate buffer, pH 6.0, 15 min

Applications for U2AF2 Antibody

Application
Recommended Usage

Immunocytochemistry/ Immunofluorescence

1:100-1:1000

Immunohistochemistry

10 - 1:500

Immunohistochemistry-Paraffin

1:100-1:1000

Western Blot

1:5000-1:20000

Formulation, Preparation, and Storage

Purification

Antigen Affinity-purified

Formulation

PBS, 20% Glycerol

Preservative

0.025% Proclin 300

Concentration

Concentrations vary lot to lot. See vial label for concentration. If unlisted please contact technical services.

Shipping

The product is shipped with polar packs. Upon receipt, store it immediately at the temperature recommended below.

Stability & Storage

Aliquot and store at -20C or -80C. Avoid freeze-thaw cycles.

Background: U2AF2

U2 auxiliary factor (U2AF), comprised of a large and a small subunit, is a non-snRNP protein required for the binding of U2 snRNP to the pre-mRNA branch site. This gene encodes the U2AF large subunit which contains a sequence-specific RNA-binding region with 3 RNA recognition motifs and an Arg/Ser-rich domain necessary for splicing. The large subunit binds to the polypyrimidine tract of introns early during spliceosome assembly. Multiple transcript variants have been detected for this gene, but the full-length natures of only two have been determined to date. [provided by RefSeq]

Alternate Names

hU2AF(65), hU2AF65, splicing factor U2AF 65 kD subunit, splicing factor U2AF 65 kDa subunit, U2 (RNU2) small nuclear RNA auxiliary factor 2, U2 auxiliary factor 65 kDa subunit, U2 small nuclear ribonucleoprotein auxiliary factor (65kD), U2 small nuclear RNA auxiliary factor 2, U2AF65U2 snRNP auxiliary factor large subunit

Gene Symbol

U2AF2

UniProt

Additional U2AF2 Products

Product Documents for U2AF2 Antibody

Certificate of Analysis

To download a Certificate of Analysis, please enter a lot number in the search box below.

Product Specific Notices for U2AF2 Antibody

This product is for research use only and is not approved for use in humans or in clinical diagnosis. Primary Antibodies are guaranteed for 1 year from date of receipt.

Loading...
Loading...
Loading...
Loading...

⚠ WARNING: This product can expose you to chemicals including mercury, which is known to the State of California to cause reproductive toxicity with developmental effects.  For more information go to www.P65Warnings.ca.gov.