Skip to main content

U2AF2 Antibody (JE36-33)

Novus Biologicals, part of Bio-Techne | Catalog # NBP3-33071

Recombinant Monoclonal Antibody
Novus Biologicals, part of Bio-Techne
Catalog #
Availability
Size / Price
Qty
Loading...
NBP3-33071

Key Product Details

Species Reactivity

Human, Mouse, Rat

Applications

Immunohistochemistry, Immunohistochemistry-Paraffin, Western Blot

Label

Unconjugated

Antibody Source

Recombinant Monoclonal Rabbit IgG Clone # JE36-33 expressed in HEK293

Concentration

1 mg/ml

Product Specifications

Immunogen

Synthetic peptide within Human U2AF2 aa 376-475 / 475. (Uniprot: P26368)

Localization

Nucleus.

Clonality

Monoclonal

Host

Rabbit

Isotype

IgG

Theoretical MW

54 kDa.
Disclaimer note: The observed molecular weight of the protein may vary from the listed predicted molecular weight due to post translational modifications, post translation cleavages, relative charges, and other experimental factors.

Description

Novus Biologicals Rabbit U2AF2 Antibody (JE36-33) (NBP3-33071) is a recombinant monoclonal antibody validated for use in IHC and WB. All Novus Biologicals antibodies are covered by our 100% guarantee.

Scientific Data Images for U2AF2 Antibody (JE36-33)

U2AF2 Antibody (JE36-33)

Western Blot: U2AF2 Antibody (JE36-33) [NBP3-33071]

Western Blot: U2AF2 Antibody (JE36-33) [NBP3-33071] - Western blot analysis of U2AF2 on different lysates with Rabbit anti-U2AF2 antibody (NBP3-33071) at 1/1,000 dilution.

Lane 1: HEK-293 cell lysate
Lane 2: HepG2 cell lysate
Lane 3: HeLa cell lysate
Lane 4: MCF7 cell lysate
Lane 5: SH-SY5Y cell lysate
Lane 6: RAW264.7 cell lysate
Lane 7: NIH/3T3 cell lysate
Lane 8: PC-12 cell lysate

Lysates/proteins at 20 ug/Lane.

Predicted band size: 54 kDa
Observed band size: 54 kDa

Exposure time: 2 minutes;

4-20% SDS-PAGE gel.

Proteins were transferred to a PVDF membrane and blocked with 5% NFDM/TBST for 1 hour at room temperature. The primary antibody (NBP3-33071) at 1/1,000 dilution was used in 5% NFDM/TBST at room temperature for 2 hours. Goat Anti-Rabbit IgG - HRP Secondary Antibody at 1:100,000 dilution was used for 1 hour at room temperature.
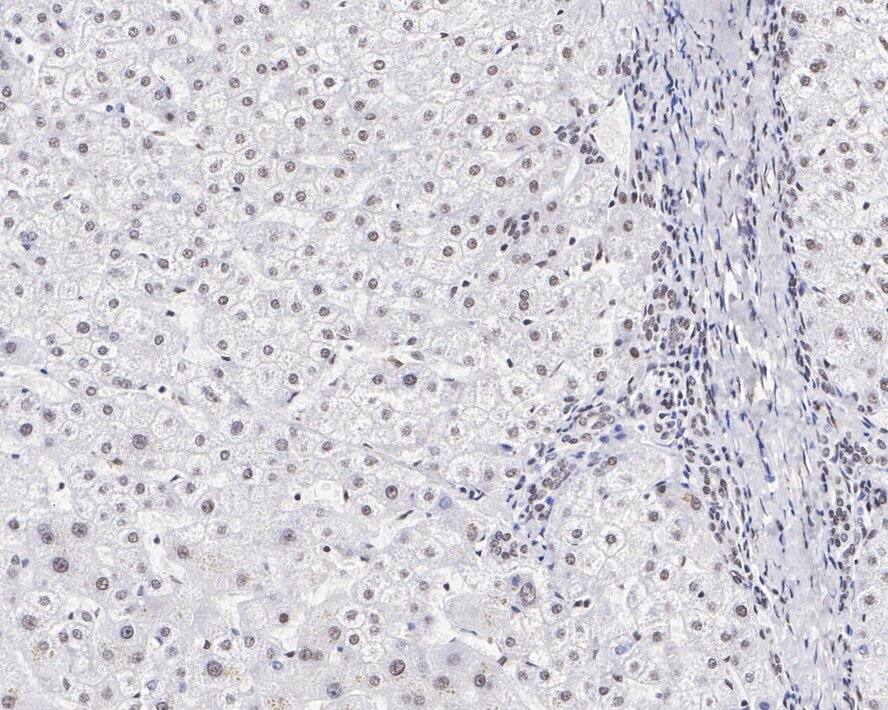
U2AF2 Antibody (JE36-33)

Immunohistochemistry: U2AF2 Antibody (JE36-33) [NBP3-33071]

Immunohistochemistry: U2AF2 Antibody (JE36-33) [NBP3-33071] - Immunohistochemical analysis of paraffin-embedded human liver tissue with Rabbit anti-U2AF2 antibody (NBP3-33071) at 1/1,000 dilution.

The section was pre-treated using heat mediated antigen retrieval with sodium citrate buffer (pH 6.0) for 2 minutes. The tissues were blocked in 1% BSA for 20 minutes at room temperature, washed with ddH2O and PBS, and then probed with the primary antibody (NBP3-33071) at 1/1,000 dilution for 1 hour at room temperature. The detection was performed using an HRP conjugated compact polymer system. DAB was used as the chromogen. Tissues were counterstained with hematoxylin and mounted with DPX.

Applications for U2AF2 Antibody (JE36-33)

Application
Recommended Usage

Immunohistochemistry-Paraffin

1:1000

Western Blot

1:1000

Formulation, Preparation, and Storage

Purification

Protein A purified

Formulation

1*TBS (pH7.4), 0.05% BSA and 40% Glycerol

Preservative

0.05% Sodium Azide

Concentration

1 mg/ml

Shipping

The product is shipped with polar packs. Upon receipt, store it immediately at the temperature recommended below.

Stability & Storage

Store at 4C short term. Aliquot and store at -20C long term. Avoid freeze-thaw cycles.

Background: U2AF2

U2 auxiliary factor (U2AF), comprised of a large and a small subunit, is a non-snRNP protein required for the binding of U2 snRNP to the pre-mRNA branch site. This gene encodes the U2AF large subunit which contains a sequence-specific RNA-binding region with 3 RNA recognition motifs and an Arg/Ser-rich domain necessary for splicing. The large subunit binds to the polypyrimidine tract of introns early during spliceosome assembly. Multiple transcript variants have been detected for this gene, but the full-length natures of only two have been determined to date. [provided by RefSeq]

Alternate Names

hU2AF(65), hU2AF65, splicing factor U2AF 65 kD subunit, splicing factor U2AF 65 kDa subunit, U2 (RNU2) small nuclear RNA auxiliary factor 2, U2 auxiliary factor 65 kDa subunit, U2 small nuclear ribonucleoprotein auxiliary factor (65kD), U2 small nuclear RNA auxiliary factor 2, U2AF65U2 snRNP auxiliary factor large subunit

Gene Symbol

U2AF2

Additional U2AF2 Products

Product Documents for U2AF2 Antibody (JE36-33)

Certificate of Analysis

To download a Certificate of Analysis, please enter a lot number in the search box below.

Product Specific Notices for U2AF2 Antibody (JE36-33)

This product is for research use only and is not approved for use in humans or in clinical diagnosis. Primary Antibodies are guaranteed for 1 year from date of receipt.

Loading...
Loading...
Loading...
Loading...