Skip to main content

Tyk2 Antibody

Novus Biologicals, part of Bio-Techne | Catalog # NBP2-76968

Novus Biologicals, part of Bio-Techne
Catalog #
Availability
Size / Price
Qty
Loading...
NBP2-76968

Key Product Details

Species Reactivity

Human, Mouse, Rat

Applications

Flow Cytometry, Immunocytochemistry/ Immunofluorescence, Immunohistochemistry, Immunohistochemistry-Paraffin, Western Blot

Label

Unconjugated

Antibody Source

Polyclonal Rabbit IgG

Concentration

1 mg/ml

Product Specifications

Immunogen

Recombinant protein within human Tyk2 aa 390-620. (SwissProt: P29597 Human; SwissProt: Q9R117 Mouse)

Localization

Cytoskeleton. Nucleus. Cytosol. Plasma membrane.

Clonality

Polyclonal

Host

Rabbit

Isotype

IgG

Theoretical MW

134 kDa.
Disclaimer note: The observed molecular weight of the protein may vary from the listed predicted molecular weight due to post translational modifications, post translation cleavages, relative charges, and other experimental factors.

Description

Novus Biologicals Rabbit Tyk2 Antibody (NBP2-76968) is a polyclonal antibody validated for use in IHC, WB, Flow and ICC/IF. All Novus Biologicals antibodies are covered by our 100% guarantee.

Scientific Data Images for Tyk2 Antibody

Western Blot: Tyk2 Antibody [NBP2-76968]

Western Blot: Tyk2 Antibody [NBP2-76968]

Western Blot: Tyk2 Antibody [NBP2-76968] - Western blot analysis of TYK2 on MCF-7 cell lysate using anti-TYK2 antibody at 1/500 dilution.
Immunocytochemistry/ Immunofluorescence: Tyk2 Antibody [NBP2-76968]

Immunocytochemistry/ Immunofluorescence: Tyk2 Antibody [NBP2-76968]

Immunocytochemistry/Immunofluorescence: Tyk2 Antibody [NBP2-76968] - ICC staining TYK2 in MCF-7 cells (green). The nuclear counter stain is DAPI (blue). Cells were fixed in paraformaldehyde, permeabilised with 0.25% Triton X100/PBS.
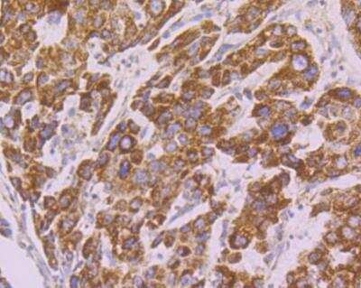
Immunohistochemistry: Tyk2 Antibody [NBP2-76968]

Immunohistochemistry: Tyk2 Antibody [NBP2-76968]

Immunohistochemistry: Tyk2 Antibody [NBP2-76968] - Immunohistochemical analysis of paraffin-embedded rat kidney tissue using anti- TYK2 antibody. Counter stained with hematoxylin.

Applications for Tyk2 Antibody

Application
Recommended Usage

Flow Cytometry

1:50-1:100

Immunocytochemistry/ Immunofluorescence

1:50-1:200

Immunohistochemistry-Paraffin

1:50-1:200

Western Blot

1:500

Formulation, Preparation, and Storage

Purification

Immunogen affinity purified

Formulation

PBS (pH7.4), 0.2% BSA, 50% Glycerol

Preservative

0.05% Sodium Azide

Concentration

1 mg/ml

Shipping

The product is shipped with polar packs. Upon receipt, store it immediately at the temperature recommended below.

Stability & Storage

Store at 4C short term. Aliquot and store at -20C long term. Avoid freeze-thaw cycles.

Background: Tyk2

Novel non-receptor tyrosine-protein kinase, Tyk2, belongs to the tyrosine protein kinase family and plays a role in intracellular signal transduction by being involved in the initiation of type I IFN signaling. Tyk2 is believed to phosphorylate the interferon-alpha/beta receptor alpha chain (1). It has been shown that Tyk2 links the interferon alpha/beta receptor to the cytoplasmic transcription factor that mediates activation of interferon-responsive genes (2).

Long Name

Protein tyrosine kinase 2

Alternate Names

EC 2.7.10, EC 2.7.10.2, JTK1, non-receptor tyrosine-protein kinase TYK2, tyrosine kinase 2

Gene Symbol

TYK2

Additional Tyk2 Products

Product Documents for Tyk2 Antibody

Certificate of Analysis

To download a Certificate of Analysis, please enter a lot number in the search box below.

Product Specific Notices for Tyk2 Antibody

This product is for research use only and is not approved for use in humans or in clinical diagnosis. Primary Antibodies are guaranteed for 1 year from date of receipt.

Loading...
Loading...
Loading...
Loading...
Loading...