Skip to main content

TXNL1 Antibody - BSA Free

Novus Biologicals, part of Bio-Techne | Catalog # NBP3-37973

Novus Biologicals, part of Bio-Techne
Catalog #
Availability
Size / Price
Qty
Loading...
NBP3-37973-20ul
NBP3-37973-100ul

Key Product Details

Species Reactivity

Human, Mouse, Rat

Applications

Immunohistochemistry, Immunohistochemistry-Paraffin, Western Blot, ELISA, Immunocytochemistry/ Immunofluorescence

Label

Unconjugated

Antibody Source

Polyclonal Rabbit IgG

Format

BSA Free

Concentration

Please see the vial label for concentration. If unlisted please contact technical services.

Product Specifications

Immunogen

Recombinant fusion protein containing a sequence corresponding to amino acids 1-289 of human TXNL1 (NP_004777.1).

Sequence:
MVGVKPVGSDPDFQPELSGAGSRLAVVKFTMRGCGPCLRIAPAFSSMSNKYPQAVFLEVDVHQCQGTAATNNISATPTFLFFRNKVRIDQYQGADAVGLEEKIKQHLENDPGSNEDTDIPKGYMDLMPFINKAGCECLNESDEHGFDNCLRKDTTFLESDCDEQLLITVAFNQPVKLYSMKFQGPDNGQGPKYVKIFINLPRSMDFEEAERSEPTQALELTEDDIKEDGIVPLRYVKFQNVNSVTIFVQSNQGEEETTRISYFTFIGTPVQATNMNDFKRVVGKKGESH

Clonality

Polyclonal

Host

Rabbit

Isotype

IgG

Theoretical MW

32 kDa.
Disclaimer note: The observed molecular weight of the protein may vary from the listed predicted molecular weight due to post translational modifications, post translation cleavages, relative charges, and other experimental factors.

Description

Novus Biologicals Rabbit TXNL1 Antibody - BSA Free (NBP3-37973) is a polyclonal antibody validated for use in IHC, WB, ELISA and ICC/IF. All Novus Biologicals antibodies are covered by our 100% guarantee.

Scientific Data Images for TXNL1 Antibody - BSA Free

TXNL1 Antibody

Western Blot: TXNL1 Antibody [NBP3-37973] -

Western Blot: TXNL1 Antibody [NBP3-37973] - Western blot analysis of various lysates using TXNL1 Rabbit pAb at 1:1000 dilution.
Secondary antibody: HRP-conjugated Goat anti-Rabbit IgG (H+L) at 1:10000 dilution.
Lysates/proteins: 25ug per lane.
Blocking buffer: 3% nonfat dry milk in TBST.
Detection: ECL Basic Kit.
Exposure time: 90s.
TXNL1 Antibody

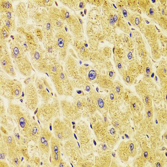
Immunohistochemistry: TXNL1 Antibody [NBP3-37973] -

Immunohistochemistry: TXNL1 Antibody [NBP3-37973] - Immunohistochemistry analysis of paraffin-embedded Human liver damage using TXNL1 Rabbit pAb at dilution of 1:100 (40x lens). Microwave antigen retrieval performed with 0.01M PBS Buffer (pH 7.2) prior to IHC staining.
TXNL1 Antibody

Immunohistochemistry: TXNL1 Antibody [NBP3-37973] -

Immunohistochemistry: TXNL1 Antibody [NBP3-37973] - Immunohistochemistry analysis of paraffin-embedded Rat testis using TXNL1 Rabbit pAb at dilution of 1:100 (40x lens). Microwave antigen retrieval performed with 0.01M PBS Buffer (pH 7.2) prior to IHC staining.

Applications for TXNL1 Antibody - BSA Free

Application
Recommended Usage

ELISA

Recommended starting concentration is 1 μg/mL

Immunocytochemistry/ Immunofluorescence

1:50 - 1:200

Immunohistochemistry-Paraffin

1:50 - 1:200

Western Blot

1:500 - 1:2000

Formulation, Preparation, and Storage

Purification

Affinity purified

Formulation

PBS (pH 7.3), 50% glycerol

Format

BSA Free

Preservative

0.02% Sodium Azide

Concentration

Please see the vial label for concentration. If unlisted please contact technical services.

Shipping

The product is shipped with polar packs. Upon receipt, store it immediately at the temperature recommended below.

Stability & Storage

Store at -20C. Avoid freeze-thaw cycles.

Background: TXNL1

Thioredoxins are a group of small redox active proteins which have a conserved active site sequence. The predicted 32.3-kD protein of TXNL1 (Thioredoxin like protein 1) has 2 distinct domains: an N terminal domain, which is 43% identical to human TXN, and a C terminal domain, which showed no homology to other proteins in the sequence databases. The active site sequence, located within the N terminal domain, is that of a thioredoxin like protein; compared to the active site sequence of TXN, it has a single amino acid substitution. Unlike other thioredoxin like proteins, TXNL1 did not act as a substrate for thioredoxin reductase in an insulin assay.

Alternate Names

32 kDa thioredoxin-related protein, thioredoxin-like 1, thioredoxin-like, 32kDa, thioredoxin-related 32 kDa protein, thioredoxin-related protein 1, TRP32thioredoxin-like protein 1, Txl, TXL-1, TXNL

Gene Symbol

TXNL1

Additional TXNL1 Products

Product Documents for TXNL1 Antibody - BSA Free

Certificate of Analysis

To download a Certificate of Analysis, please enter a lot number in the search box below.

Product Specific Notices for TXNL1 Antibody - BSA Free

This product is for research use only and is not approved for use in humans or in clinical diagnosis. Primary Antibodies are guaranteed for 1 year from date of receipt.

Loading...
Loading...
Loading...
Loading...