Skip to main content

TWEAK R/TNFRSF12 Antibody - BSA Free

Novus Biologicals, part of Bio-Techne | Catalog # NBP1-85770

Novus Biologicals, part of Bio-Techne
Catalog #
Availability
Size / Price
Qty
Loading...
NBP1-85770
NBP1-85770-25ul

Key Product Details

Species Reactivity

Validated:

Human

Predicted:

Mouse (96%), Rat (96%). Backed by our 100% Guarantee.

Applications

Immunocytochemistry/ Immunofluorescence, Immunohistochemistry, Immunohistochemistry-Paraffin

Label

Unconjugated

Antibody Source

Polyclonal Rabbit IgG

Format

BSA Free

Concentration

Concentrations vary lot to lot. See vial label for concentration. If unlisted please contact technical services.

Product Specifications

Immunogen

This antibody was developed against Recombinant Protein corresponding to amino acids: RRCRRREKFTTPIEETGGEGCPAVALIQ

Clonality

Polyclonal

Host

Rabbit

Isotype

IgG

Description

Novus Biologicals Rabbit TWEAK R/TNFRSF12 Antibody - BSA Free (NBP1-85770) is a polyclonal antibody validated for use in IHC and ICC/IF. All Novus Biologicals antibodies are covered by our 100% guarantee.

Scientific Data Images for TWEAK R/TNFRSF12 Antibody - BSA Free

Immunocytochemistry/ Immunofluorescence: TWEAK R/TNFRSF12 Antibody [NBP1-85770]

Immunocytochemistry/ Immunofluorescence: TWEAK R/TNFRSF12 Antibody [NBP1-85770]

Immunocytochemistry/Immunofluorescence: TWEAK R/TNFRSF12 Antibody [NBP1-85770] - Staining of human cell line U-251 MG shows localization to plasma membrane & cytosol. Antibody staining is shown in green.
Immunohistochemistry-Paraffin: TWEAK R/TNFRSF12 Antibody [NBP1-85770]

Immunohistochemistry-Paraffin: TWEAK R/TNFRSF12 Antibody [NBP1-85770]

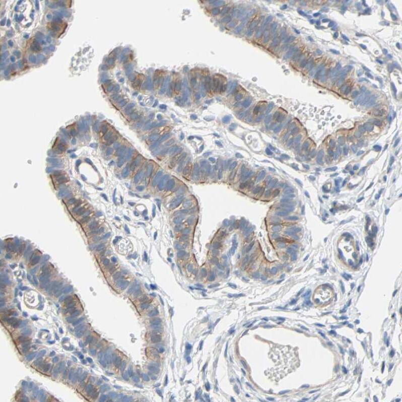
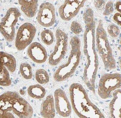
Immunohistochemistry-Paraffin: TWEAK R/TNFRSF12 Antibody [NBP1-85770] - Staining of human kidney shows moderate membranous positivity in cells in tubules.
Immunohistochemistry-Paraffin: TWEAK R/TNFRSF12 Antibody [NBP1-85770]

Immunohistochemistry-Paraffin: TWEAK R/TNFRSF12 Antibody [NBP1-85770]

Immunohistochemistry-Paraffin: TWEAK R/TNFRSF12 Antibody [NBP1-85770] - Staining of human stomach shows strong membranous positivity in glanular cells.

Applications for TWEAK R/TNFRSF12 Antibody - BSA Free

Application
Recommended Usage

Immunocytochemistry/ Immunofluorescence

0.25-2 ug/ml

Immunohistochemistry

1:20 - 1:50

Immunohistochemistry-Paraffin

1:20 - 1:50
Application Notes
For IHC-Paraffin, HIER pH 6 retrieval is recommended. ICC/IF Fixation Permeabilization: Use PFA/Triton X-100.

Formulation, Preparation, and Storage

Purification

Immunogen affinity purified

Formulation

PBS (pH 7.2) and 40% Glycerol

Format

BSA Free

Preservative

0.02% Sodium Azide

Concentration

Concentrations vary lot to lot. See vial label for concentration. If unlisted please contact technical services.

Shipping

The product is shipped with polar packs. Upon receipt, store it immediately at the temperature recommended below.

Stability & Storage

Store at 4C short term. Aliquot and store at -20C long term. Avoid freeze-thaw cycles.

Background: TWEAK R/TNFRSF12

TWEAK (otherwise known as TNFRSF12A, Tumor necrosis factor receptor superfamily member 12A), is a member of the TNF family and was first described as a weak inducer of apoptosis in some cell types. It is thought to promote angiogenesis and the proliferation of endothelial cells as well as modulating cellular adhesion to matrix proteins. Recently, a receptor for TWEAK was isolated by expression cloning from a HUVEC cell cDNA library.

Long Name

TNF-like and Weak Inducer of Apoptosis Receptor

Alternate Names

CD266, Fn14, TNFRSF12, TNFRSF12A, TWEAKR

Gene Symbol

TNFRSF12A

UniProt

Additional TWEAK R/TNFRSF12 Products

Product Documents for TWEAK R/TNFRSF12 Antibody - BSA Free

Certificate of Analysis

To download a Certificate of Analysis, please enter a lot number in the search box below.

Product Specific Notices for TWEAK R/TNFRSF12 Antibody - BSA Free

This product is for research use only and is not approved for use in humans or in clinical diagnosis. Primary Antibodies are guaranteed for 1 year from date of receipt.

Loading...
Loading...
Loading...
Loading...