Skip to main content

Tubulin Beta 4 Antibody (OTI3F1)

Novus Biologicals, part of Bio-Techne | Catalog # NBP2-00812

Novus Biologicals, part of Bio-Techne

Key Product Details

Species Reactivity

Human, Mouse, Rat, Canine, Monkey, Primate

Applications

Validated:

Immunohistochemistry, Immunohistochemistry-Paraffin, Western Blot, Flow Cytometry, Immunocytochemistry/ Immunofluorescence

Cited:

Western Blot

Label

Unconjugated

Antibody Source

Monoclonal Mouse IgG2A Clone # OTI3F1

Concentration

1 mg/ml

Product Specifications

Immunogen

Full length human recombinant protein of human TUBB4 (NP_006078) produced in HEK293T cell.

Reactivity Notes

Please note that this antibody is reactive to Mouse and derived from the same host, Mouse. Mouse-On-Mouse blocking reagent may be needed for IHC and ICC experiments to reduce high background signal. You can find these reagents under catalog numbers PK-2200-NB and MP-2400-NB. Please contact Technical Support if you have any questions.

Clonality

Monoclonal

Host

Mouse

Isotype

IgG2A

Theoretical MW

49.4 kDa.
Disclaimer note: The observed molecular weight of the protein may vary from the listed predicted molecular weight due to post translational modifications, post translation cleavages, relative charges, and other experimental factors.

Description

Novus Biologicals Mouse Tubulin Beta 4 Antibody (OTI3F1) (NBP2-00812) is a monoclonal antibody validated for use in IHC, WB, Flow and ICC/IF. Anti-Tubulin Beta 4 Antibody: Cited in 3 publications. All Novus Biologicals antibodies are covered by our 100% guarantee.

Scientific Data Images for Tubulin Beta 4 Antibody (OTI3F1)

Western Blot: Tubulin Beta 4 Antibody (3F1) [NBP2-00812] Analysis of extracts (35ug) from 9 different cell lines by using anti-Tubulin Beta 4 monoclonal antibody.
Immunocytochemistry/ Immunofluorescence: Tubulin Beta 4 Antibody (OTI3F1) [NBP2-00812]

Immunocytochemistry/ Immunofluorescence: Tubulin Beta 4 Antibody (OTI3F1) [NBP2-00812]

Immunocytochemistry/Immunofluorescence: Tubulin Beta 4 Antibody (3F1) [NBP2-00812] - Staining of COS7 cells transiently transfected by pCMV6-ENTRY Tubulin Beta 4.
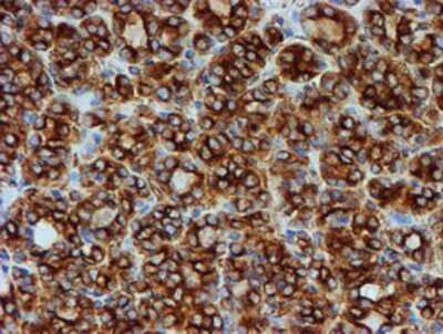
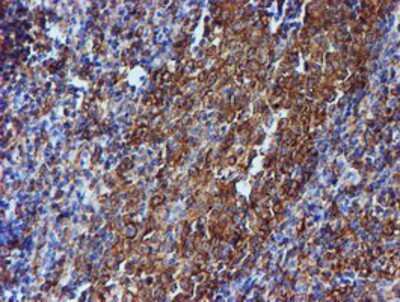
Immunohistochemistry-Paraffin: Tubulin Beta 4 Antibody (OTI3F1) [NBP2-00812]

Immunohistochemistry-Paraffin: Tubulin Beta 4 Antibody (OTI3F1) [NBP2-00812]

Immunohistochemistry-Paraffin: Tubulin Beta 4 Antibody (3F1) [NBP2-00812] - Staining of paraffin-embedded Human tonsil using anti-Tubulin Beta 4 mouse monoclonal antibody.

Applications for Tubulin Beta 4 Antibody (OTI3F1)

Application
Recommended Usage

Flow Cytometry

1:100

Immunocytochemistry/ Immunofluorescence

1:100

Immunohistochemistry

1:150

Immunohistochemistry-Paraffin

1:150

Western Blot

1:500-2000

Formulation, Preparation, and Storage

Purification

Immunogen affinity purified

Formulation

PBS (pH 7.3), 1.0% BSA and 50% Glycerol

Preservative

0.02% Sodium Azide

Concentration

1 mg/ml

Shipping

The product is shipped with polar packs. Upon receipt, store it immediately at the temperature recommended below.

Stability & Storage

Store at -20C. Avoid freeze-thaw cycles.

Background: Tubulin Beta 4

Tubulin is the major constituent of microtubules. It binds two moles of GTP, one at an exchangeable site on the beta chain and one at a non-exchangeable site on the alpha-chain

Long Name

Tubulin beta-4A chain

Alternate Names

TUBB4, TUBB4A, Tubulin 5 beta

Entrez Gene IDs

10382 (Human)

Gene Symbol

TUBB4A

Additional Tubulin Beta 4 Products

Product Documents for Tubulin Beta 4 Antibody (OTI3F1)

Certificate of Analysis

To download a Certificate of Analysis, please enter a lot number in the search box below.

Product Specific Notices for Tubulin Beta 4 Antibody (OTI3F1)

This product is for research use only and is not approved for use in humans or in clinical diagnosis. Primary Antibodies are guaranteed for 1 year from date of receipt.

Loading...
Loading...
Loading...
Loading...
Loading...