Skip to main content

TTC15 Antibody - BSA Free

Novus Biologicals, part of Bio-Techne | Catalog # NBP1-84500

Novus Biologicals, part of Bio-Techne
Catalog #
Availability
Size / Price
Qty
Loading...
NBP1-84500
NBP1-84500-25ul

Key Product Details

Species Reactivity

Validated:

Human

Cited:

Human

Predicted:

Mouse (97%), Rat (97%). Backed by our 100% Guarantee.

Applications

Validated:

Immunohistochemistry, Immunohistochemistry-Paraffin, Western Blot

Cited:

Western Blot

Label

Unconjugated

Antibody Source

Polyclonal Rabbit IgG

Format

BSA Free

Concentration

Concentrations vary lot to lot. See vial label for concentration. If unlisted please contact technical services.

Product Specifications

Immunogen

This antibody was developed against Recombinant Protein corresponding to amino acids: AFLHLGQNNFAEAHRFFTEILRMDPRNAVANNNAAVCLLYLGKLKDSLRQLEAMVQQDPRHYLHESVLFNLTTMYELESSRSMQKKQ

Clonality

Polyclonal

Host

Rabbit

Isotype

IgG

Description

Novus Biologicals Rabbit TTC15 Antibody - BSA Free (NBP1-84500) is a polyclonal antibody validated for use in IHC and WB. All Novus Biologicals antibodies are covered by our 100% guarantee.

Scientific Data Images for TTC15 Antibody - BSA Free

TTC15 Antibody - BSA Free Immunohistochemistry-Paraffin: TTC15 Antibody - BSA Free [NBP1-84500]

Immunohistochemistry-Paraffin: TTC15 Antibody - BSA Free [NBP1-84500]

Staining of human kidney shows moderate nuclear cytoplasmic positivity in cells in tubules.
TTC15 Antibody - BSA Free Immunohistochemistry-Paraffin: TTC15 Antibody - BSA Free [NBP1-84500]

Immunohistochemistry-Paraffin: TTC15 Antibody - BSA Free [NBP1-84500]

Staining of human skin shows strong nuclear-cytoplasmic positivity in squamous epithelial cells.
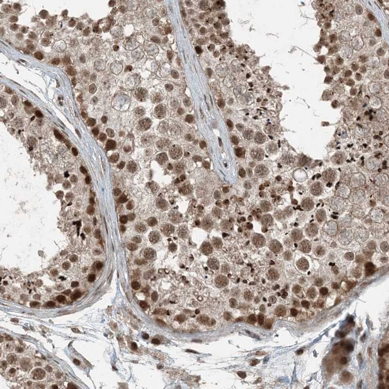
TTC15 Antibody - BSA Free Immunohistochemistry-Paraffin: TTC15 Antibody - BSA Free [NBP1-84500]

Immunohistochemistry-Paraffin: TTC15 Antibody - BSA Free [NBP1-84500]

Staining of human testis shows strong nuclear cytoplasmic positivity in cells in seminiferous ducts.

Applications for TTC15 Antibody - BSA Free

Application
Recommended Usage

Immunohistochemistry

1:50 - 1:200

Immunohistochemistry-Paraffin

1:50 - 1:200

Western Blot

0.04-0.4 ug/ml
Application Notes
For IHC-Paraffin, HIER pH 6 retrieval is recommended.

Formulation, Preparation, and Storage

Purification

Immunogen affinity purified

Formulation

PBS (pH 7.2) and 40% Glycerol

Format

BSA Free

Preservative

0.02% Sodium Azide

Concentration

Concentrations vary lot to lot. See vial label for concentration. If unlisted please contact technical services.

Shipping

The product is shipped with polar packs. Upon receipt, store it immediately at the temperature recommended below.

Stability & Storage

Store at 4C short term. Aliquot and store at -20C long term. Avoid freeze-thaw cycles.

Background: TTC15

Alternate Names

CGI-87, FLJ36862, FLJ44560, tetratricopeptide repeat domain 15, tetratricopeptide repeat protein 15, TPR repeat protein 15

Gene Symbol

TRAPPC12

Additional TTC15 Products

Product Documents for TTC15 Antibody - BSA Free

Certificate of Analysis

To download a Certificate of Analysis, please enter a lot number in the search box below.

Product Specific Notices for TTC15 Antibody - BSA Free

This product is for research use only and is not approved for use in humans or in clinical diagnosis. Primary Antibodies are guaranteed for 1 year from date of receipt.

Loading...
Loading...
Loading...
Loading...