Skip to main content

TTC14 Antibody (OTI9E11)

Novus Biologicals, part of Bio-Techne | Catalog # NBP2-46239

Novus Biologicals, part of Bio-Techne
Catalog #
Availability
Size / Price
Qty
Loading...
NBP2-46239
Conjugate
Catalog #

Key Product Details

Species Reactivity

Human, Mouse, Rat

Applications

Immunohistochemistry, Immunohistochemistry-Paraffin, Western Blot

Label

Unconjugated

Antibody Source

Monoclonal Mouse IgG1 Clone # OTI9E11

Concentration

1 mg/ml

Product Specifications

Immunogen

Human recombinant protein fragment corresponding to amino acids 429-770 of human TTC14(NP_597719) produced in E.coli.

Reactivity Notes

Please note that this antibody is reactive to Mouse and derived from the same host, Mouse. Mouse-On-Mouse blocking reagent may be needed for IHC and ICC experiments to reduce high background signal. You can find these reagents under catalog numbers PK-2200-NB and MP-2400-NB. Please contact Technical Support if you have any questions.

Clonality

Monoclonal

Host

Mouse

Isotype

IgG1

Theoretical MW

88.1 kDa.
Disclaimer note: The observed molecular weight of the protein may vary from the listed predicted molecular weight due to post translational modifications, post translation cleavages, relative charges, and other experimental factors.

Scientific Data Images for TTC14 Antibody (OTI9E11)

Western Blot: TTC14 Antibody (OTI9E11) [NBP2-46239]

Western Blot: TTC14 Antibody (OTI9E11) [NBP2-46239]

Western Blot: TTC14 Antibody (9E11) [NBP2-46239] - Analysis of HEK293T cells were transfected with the pCMV6-ENTRY control (Left lane) or pCMV6-ENTRY TTC14.
Immunohistochemistry: TTC14 Antibody (OTI9E11) [NBP2-46239]

Immunohistochemistry: TTC14 Antibody (OTI9E11) [NBP2-46239]

Immunohistochemistry: TTC14 Antibody (9E11) [NBP2-46239] - Analysis of Human pancreas tissue. (Heat-induced epitope retrieval by 1mM EDTA in 10mM Tris buffer (pH8.5) at 120C for 3 min)
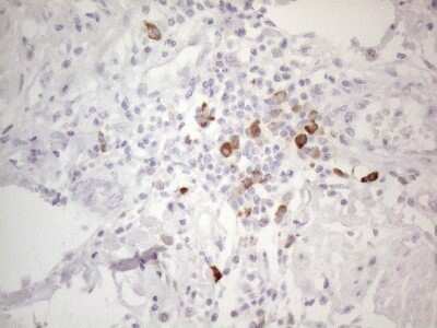
Immunohistochemistry: TTC14 Antibody (OTI9E11) [NBP2-46239]

Immunohistochemistry: TTC14 Antibody (OTI9E11) [NBP2-46239]

Immunohistochemistry: TTC14 Antibody (9E11) [NBP2-46239] - Analysis of Adenocarcinoma of Human colon tissue. (Heat-induced epitope retrieval by 1mM EDTA in 10mM Tris buffer (pH8.5) at 120C for 3 min)

Applications for TTC14 Antibody (OTI9E11)

Application
Recommended Usage

Immunohistochemistry

1:150

Western Blot

1:2000

Formulation, Preparation, and Storage

Purification

Immunogen affinity purified

Formulation

PBS (pH 7.3), 1.0% BSA and 50% Glycerol

Preservative

0.02% Sodium Azide

Concentration

1 mg/ml

Shipping

The product is shipped with polar packs. Upon receipt, store it immediately at the temperature recommended below.

Stability & Storage

Store at -20C. Avoid freeze-thaw cycles.

Background: TTC14

Alternate Names

DKFZp313M1015, DRDL5813, KIAA1980FLJ00166, PRO19630, tetratricopeptide repeat domain 14, tetratricopeptide repeat protein 14, TPR repeat protein 14

Gene Symbol

TTC14

Additional TTC14 Products

Product Documents for TTC14 Antibody (OTI9E11)

Certificate of Analysis

To download a Certificate of Analysis, please enter a lot number in the search box below.

Product Specific Notices for TTC14 Antibody (OTI9E11)

This product is for research use only and is not approved for use in humans or in clinical diagnosis. Primary Antibodies are guaranteed for 1 year from date of receipt.

Loading...
Loading...
Loading...
Loading...