Skip to main content

TST Antibody - BSA Free

Novus Biologicals, part of Bio-Techne | Catalog # NBP1-87148

Novus Biologicals, part of Bio-Techne
Catalog #
Availability
Size / Price
Qty
Loading...
NBP1-87148-25ul
NBP1-87148

Key Product Details

Validated by

Orthogonal Validation, Independent Antibodies

Species Reactivity

Validated:

Human

Predicted:

Mouse (91%), Rat (91%). Backed by our 100% Guarantee.

Applications

Immunohistochemistry, Immunohistochemistry-Paraffin, Western Blot

Label

Unconjugated

Antibody Source

Polyclonal Rabbit IgG

Format

BSA Free

Concentration

Concentrations vary lot to lot. See vial label for concentration. If unlisted please contact technical services.

Product Specifications

Immunogen

This antibody was developed against Recombinant Protein corresponding to amino acids: VHQVLYRALVSTKWLAESIRTGKLGPGLRVLDASWYSPGTREARKEYLERHVPGASFFDIEECRDTASPYEMMLPSEAGFAEYVGRLGISNHTHVVVYDGEHLGSFYAPRVWWMFRVFGHRTVSVLNGGFRNWLKEGHPVTSEPS

Clonality

Polyclonal

Host

Rabbit

Isotype

IgG

Scientific Data Images for TST Antibody - BSA Free

Immunohistochemistry-Paraffin: TST Antibody [NBP1-87148]

Immunohistochemistry-Paraffin: TST Antibody [NBP1-87148]

Immunohistochemistry-Paraffin: TST Antibody [NBP1-87148] - Staining in human colon and lymph node tissues using anti-TST antibody. Corresponding TST RNA-seq data are presented for the same tissues.
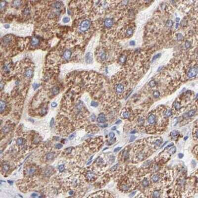
Immunohistochemistry-Paraffin: TST Antibody [NBP1-87148]

Immunohistochemistry-Paraffin: TST Antibody [NBP1-87148]

Immunohistochemistry-Paraffin: TST Antibody [NBP1-87148] - Staining of human colon, kidney, liver and pancreas using Anti-TST antibody NBP1-87148 (A) shows similar protein distribution across tissues to independent antibody NBP1-87147 (B).
Western Blot: TST Antibody [NBP1-87148]

Western Blot: TST Antibody [NBP1-87148]

Western Blot: TST Antibody [NBP1-87148] - Analysis in human liver tissue.

Applications for TST Antibody - BSA Free

Application
Recommended Usage

Immunohistochemistry

1:50 - 1:200

Immunohistochemistry-Paraffin

1:50 - 1:200

Western Blot

0.04-0.4 ug/ml
Application Notes
For IHC-Paraffin, HIER pH 6 retrieval is recommended.

Formulation, Preparation, and Storage

Purification

Affinity purified

Formulation

PBS (pH 7.2) and 40% Glycerol

Format

BSA Free

Preservative

0.02% Sodium Azide

Concentration

Concentrations vary lot to lot. See vial label for concentration. If unlisted please contact technical services.

Shipping

The product is shipped with polar packs. Upon receipt, store it immediately at the temperature recommended below.

Stability & Storage

Store at 4C short term. Aliquot and store at -20C long term. Avoid freeze-thaw cycles.

Background: TST

The product of this gene is a mitochondrial matrix enzyme that is encoded by the nucleus. It may play roles in cyanide detoxification, the formation of iron-sulfur proteins, and the modification of sulfur-containing enzymes. The gene product contains two highly conservative domains (rhodanese homology domains), suggesting these domains have a common evolutionary origin.

Alternate Names

EC 2.8.1, EC 2.8.1.1, MGC19578, RDSRhodanese, thiosulfate sulfurtransferase, thiosulfate sulfurtransferase (rhodanese)

Gene Symbol

TST

Additional TST Products

Product Documents for TST Antibody - BSA Free

Certificate of Analysis

To download a Certificate of Analysis, please enter a lot number in the search box below.

Product Specific Notices for TST Antibody - BSA Free

This product is for research use only and is not approved for use in humans or in clinical diagnosis. Primary Antibodies are guaranteed for 1 year from date of receipt.

Loading...
Loading...
Loading...
Loading...