Skip to main content

TSPAN9 Antibody - BSA Free

Novus Biologicals, part of Bio-Techne | Catalog # NBP1-77098

Novus Biologicals, part of Bio-Techne

Key Product Details

Species Reactivity

Validated:

Human, Mouse, Rat

Predicted:

Porcine (93%), Sheep (100%). Backed by our 100% Guarantee.

Applications

Immunohistochemistry, Immunohistochemistry-Paraffin, Western Blot, ELISA, Immunocytochemistry/ Immunofluorescence

Label

Unconjugated

Antibody Source

Polyclonal Rabbit IgG

Format

BSA Free

Concentration

1 mg/ml

Product Specifications

Immunogen

Antibody was raised against a 15 amino acid synthetic peptide from near the center of human TSPAN9. The immunogen is located within amino acids 90 - 140 of TSPAN9. Amino Acid Squence: MDKVNENAKKDLKEG

Clonality

Polyclonal

Host

Rabbit

Isotype

IgG

Description

Novus Biologicals Rabbit TSPAN9 Antibody - BSA Free (NBP1-77098) is a polyclonal antibody validated for use in IHC, WB, ELISA and ICC/IF. All Novus Biologicals antibodies are covered by our 100% guarantee.

Scientific Data Images for TSPAN9 Antibody - BSA Free

Western Blot: TSPAN9 AntibodyBSA Free [NBP1-77098]

Western Blot: TSPAN9 AntibodyBSA Free [NBP1-77098]

Western Blot: TSPAN9 Antibody [NBP1-77098] - EL4 cell lysate with TSPAN9 antibody at 1 ug/mL in (A) the absence and (B) the presence of blocking peptide.
TSPAN9 Antibody - BSA Free

Immunocytochemistry/ Immunofluorescence: TSPAN9 Antibody - BSA Free [NBP1-77098] -

Immunocytochemistry/ Immunofluorescence: TSPAN9 Antibody - BSA Free [NBP1-77098] - Immunofluorescence of TSPAN9 in human spleen tissue with TSPAN9 antibody at 20 u/mL.
TSPAN9 Antibody - BSA Free

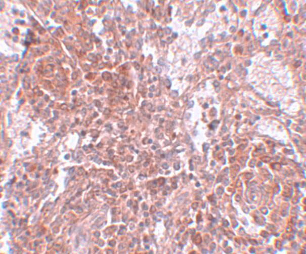
Immunohistochemistry: TSPAN9 Antibody - BSA Free [NBP1-77098] -

Immunohistochemistry: TSPAN9 Antibody - BSA Free [NBP1-77098] - Immunohistochemistry of TSPAN9 in human spleen tissue with TSPAN9 antibody at 2.5 u/mL.

Applications for TSPAN9 Antibody - BSA Free

Application
Recommended Usage

ELISA

1:100-1:2000

Immunocytochemistry/ Immunofluorescence

20 ug/ml

Immunohistochemistry

2.5 ug/ml

Immunohistochemistry-Paraffin

2.5 ug/ml

Western Blot

1 ug/ml

Formulation, Preparation, and Storage

Purification

Peptide affinity purified

Formulation

PBS

Format

BSA Free

Preservative

0.02% Sodium Azide

Concentration

1 mg/ml

Shipping

The product is shipped with polar packs. Upon receipt, store it immediately at the temperature recommended below.

Stability & Storage

Store at 4C short term. Aliquot and store at -20C long term. Avoid freeze-thaw cycles.

Background: TSPAN9

The tetraspan family protein members are characterized by four predicted transmembrane domains and are thought to be involved in physiological processes such as tissue differentiation, immunological responses, and sperm-egg fusion. TSPAN9 has recently been identified as a platelet tetraspanin and a component of tetraspanin microdomains that include the collagen receptor GPVI (glycoprotein VI) and integrin alpha6beta1 but not the von Willebrand receptor GPIbalpha or the integrins alphaIIbbeta3 or alpha2beta1, suggesting that TSPAN9 may act to regulate platelet function in concert with other tetraspanins and their associated proteins.

Long Name

Tetraspanin 9

Alternate Names

NET5

Gene Symbol

TSPAN9

UniProt

Additional TSPAN9 Products

Product Documents for TSPAN9 Antibody - BSA Free

Certificate of Analysis

To download a Certificate of Analysis, please enter a lot number in the search box below.

Product Specific Notices for TSPAN9 Antibody - BSA Free

This product is for research use only and is not approved for use in humans or in clinical diagnosis. Primary Antibodies are guaranteed for 1 year from date of receipt.

Loading...
Loading...
Loading...
Loading...