Skip to main content

TSLP Antibody (55N1D10) - BSA Free

Novus Biologicals, part of Bio-Techne | Catalog # NBP2-27326

Novus Biologicals, part of Bio-Techne
Catalog #
Availability
Size / Price
Qty
Loading...
NBP2-27326SS
NBP2-27326

Key Product Details

Species Reactivity

Validated:

Human, Rabbit

Cited:

Rabbit

Applications

Validated:

Immunohistochemistry, Immunohistochemistry-Paraffin, Western Blot

Cited:

Western Blot

Label

Unconjugated

Antibody Source

Monoclonal Mouse IgG2a Kappa Clone # 55N1D10

Format

BSA Free

Concentration

1.0 mg/ml

Product Specifications

Immunogen

A partial recombinant TSLP protein (amino acids 27-158) was used as the immunogen for the antibody.

Reactivity Notes

Rabbit reactivity reported in scientific literature (PMID: 31925326).

Clonality

Monoclonal

Host

Mouse

Isotype

IgG2a Kappa

Description

Novus Biologicals Mouse TSLP Antibody (55N1D10) - BSA Free (NBP2-27326) is a monoclonal antibody validated for use in IHC and WB. Anti-TSLP Antibody: Cited in 1 publication. All Novus Biologicals antibodies are covered by our 100% guarantee.

Scientific Data Images for TSLP Antibody (55N1D10) - BSA Free

Western Blot: TSLP Antibody (55N1D10)BSA Free [NBP2-27326]

Western Blot: TSLP Antibody (55N1D10)BSA Free [NBP2-27326]

Western Blot: TSLP Antibody (55N1D10) [NBP2-27326] - Analysis of a TSLP recombinant protein using TSLP antibody. Goat anti-mouse Ig HRP secondary antibody and PicoTect ECL substrate solution were used for this test.
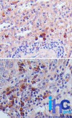
Immunohistochemistry-Paraffin: TSLP Antibody (55N1D10) - BSA Free [NBP2-27326]

Immunohistochemistry-Paraffin: TSLP Antibody (55N1D10) - BSA Free [NBP2-27326]

Immunohistochemistry-Paraffin: TSLP Antibody (55N1D10) [NBP2-27326] - FFPE normal human spleen (top) and human lung carcinoma (bottom) stained with TSLP antibody, peroxidase-conjugate and DAB chromogen.

Applications for TSLP Antibody (55N1D10) - BSA Free

Application
Recommended Usage

Immunohistochemistry-Paraffin

3 - 5ug/mL

Western Blot

0.5 - 2 ug/mL

Formulation, Preparation, and Storage

Purification

Protein G purified

Formulation

PBS

Format

BSA Free

Preservative

0.05% Sodium Azide

Concentration

1.0 mg/ml

Shipping

The product is shipped with polar packs. Upon receipt, store it immediately at the temperature recommended below.

Stability & Storage

Store at 4C short term. Aliquot and store at -20C long term. Avoid freeze-thaw cycles.

Background: TSLP

TSLP is a 159 amino acid four helix-bundle hemopoietic cytokine that signals through a heterodimeric receptor complex consisting of the human TSLP receptor and the IL-7R alpha-chain. It impacts myeloid cells and induces the release of Tcell-attracting chemokines from monocytes, enhances the maturation of CD11c+ dendritic cells, naive CD4+, and CD8+ Tcells into proallergic effectors, and primes DCs to produce large amounts of IL-12 after CD40 ligand stimulation. TSLP influences the regulation of the positive selection of regulatory Tcells and maintenance of peripheral CD4+ Tcell homeostasis. It induces allergic inflammation by directly activating mast cells and may be involved in the pathophysiology of inflammatory arthritis. TSLP is expressed in heart, liver and prostate.

Long Name

Thymic Stromal Lymphopoietin

Alternate Names

thymic stromal lymphopoietin

Gene Symbol

TSLP

UniProt

Additional TSLP Products

Product Documents for TSLP Antibody (55N1D10) - BSA Free

Certificate of Analysis

To download a Certificate of Analysis, please enter a lot number in the search box below.

Product Specific Notices for TSLP Antibody (55N1D10) - BSA Free

This product is for research use only and is not approved for use in humans or in clinical diagnosis. Primary Antibodies are guaranteed for 1 year from date of receipt.

Loading...
Loading...
Loading...
Loading...