Skip to main content

TSGA14 Antibody

Novus Biologicals, part of Bio-Techne | Catalog # NB100-93339

Novus Biologicals, part of Bio-Techne
Catalog #
Availability
Size / Price
Qty
Loading...
NB100-93339

Key Product Details

Validated by

Independent Antibodies, Biological Validation

Species Reactivity

Human

Applications

Immunoprecipitation, Western Blot

Label

Unconjugated

Antibody Source

Polyclonal Rabbit IgG

Concentration

0.2 mg/ml

Product Specifications

Immunogen

The immunogen recognized by this antibody maps to a region between residue 150 and 200 of human centrosomal protein 41kDa using the numbering given in entry NP_061188.1 (GeneID 95681).

Clonality

Polyclonal

Host

Rabbit

Isotype

IgG

Theoretical MW

41 kDa.
Disclaimer note: The observed molecular weight of the protein may vary from the listed predicted molecular weight due to post translational modifications, post translation cleavages, relative charges, and other experimental factors.

Description

Novus Biologicals Rabbit TSGA14 Antibody (NB100-93339) is a polyclonal antibody validated for use in WB and IP. All Novus Biologicals antibodies are covered by our 100% guarantee.

Scientific Data Images for TSGA14 Antibody

Western Blot: TSGA14 Antibody [NB100-93339]

Western Blot: TSGA14 Antibody [NB100-93339]

Western Blot: TSGA14 Antibody [NB100-93339] - Detection of Human CEP41 by Western Blot. Samples: Whole cell lysate (50 ug) from HeLa and 293T cells prepared using NETN lysis buffer. Antibody: Affinity purified rabbit anti-CEP41 antibody NB100-93339 used for WB at 0.1 ug/ml. Detection: Chemiluminescence with an exposure time of 75 seconds.
Western Blot: TSGA14 Antibody [NB100-93339]

Western Blot: TSGA14 Antibody [NB100-93339]

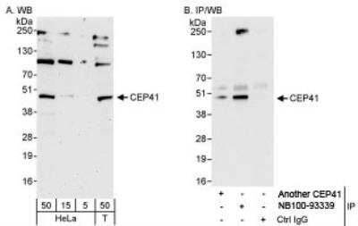
Western Blot: TSGA14 Antibody [NB100-93339] - Detection of Human CEP41 on HeLa whole cell lysate using NB100-93339. CEP41 was also immunoprecipitated by another rabbit anti-CEP41 antibody.

Applications for TSGA14 Antibody

Application
Recommended Usage

Immunoprecipitation

2-10 ug/mg lysate

Western Blot

1:2000-1:10000

Formulation, Preparation, and Storage

Purification

Immunogen affinity purified

Formulation

TBS and 0.1% BSA

Preservative

0.09% Sodium Azide

Concentration

0.2 mg/ml

Shipping

The product is shipped with polar packs. Upon receipt, store it immediately at the temperature recommended below.

Stability & Storage

Store at 4C. Do not freeze.

Background: TSGA14

CEP41 (centrosomal protein of 41 kDa) is the protein product of the testis-specific gene A14 (TSGA14). TSGA14 was originally identified as a gene adjacent to the imprinted gene MEST. Studies of TSGA14 revealed that unlike MEST, TSGA14 is not an imprinted gene. CEP41 was also identified as a true centrosomal protein in a mass-spectometry-based proteomic analysis of human centrosomes. The role of CEP41 in the centrosome remains uncharacterized

Alternate Names

centrosomal protein 41 kDa, centrosomal protein of 41 kDa, CEP41, DKFZp762H1311, testis specific protein A14, testis specific, 14, Testis-specific gene A14 protein

Entrez Gene IDs

95681 (Human)

Gene Symbol

CEP41

UniProt

Additional TSGA14 Products

Product Documents for TSGA14 Antibody

Certificate of Analysis

To download a Certificate of Analysis, please enter a lot number in the search box below.

Product Specific Notices for TSGA14 Antibody

This product is for research use only and is not approved for use in humans or in clinical diagnosis. Primary Antibodies are guaranteed for 1 year from date of receipt.

Loading...
Loading...
Loading...
Loading...