Skip to main content

TSG101 Antibody (JJ0900)

Novus Biologicals, part of Bio-Techne | Catalog # NBP2-67884

Recombinant Monoclonal Antibody.
Novus Biologicals, part of Bio-Techne
Catalog #
Availability
Size / Price
Qty
Loading...
NBP2-67884

Key Product Details

Validated by

Knockout/Knockdown

Species Reactivity

Validated:

Human, Mouse, Rat

Cited:

Human, Mouse

Applications

Validated:

Immunohistochemistry, Immunohistochemistry-Paraffin, Western Blot, Flow Cytometry, Immunocytochemistry/ Immunofluorescence, Simple Western, Knockdown Validated

Cited:

Western Blot, Simple Western

Label

Unconjugated

Antibody Source

Recombinant Monoclonal Rabbit IgG Clone # JJ0900 expressed in HEK293

Concentration

1 mg/ml

Product Specifications

Immunogen

Synthetic peptide within Human TSG101 aa 24-73 / 390. (SwissProt: Q99816 Human; SwissProt: Q61187 Mouse; SwissProt: Q6IRE4 Rat)

Localization

Cytoplasm, Cytoskeleton, Endosome, Membrane, Nucleus.

Clonality

Monoclonal

Host

Rabbit

Isotype

IgG

Description

Novus Biologicals Rabbit TSG101 Antibody (JJ0900) (NBP2-67884) is a recombinant monoclonal antibody validated for use in IHC, WB, Flow, ICC/IF and Simple Western. Anti-TSG101 Antibody: Cited in 2 publications. All Novus Biologicals antibodies are covered by our 100% guarantee.

Scientific Data Images for TSG101 Antibody (JJ0900)

Western Blot: TSG101 Antibody (JJ0900) [NBP2-67884]

Western Blot: TSG101 Antibody (JJ0900) [NBP2-67884]

Western Blot: TSG101 Antibody (JJ0900) [NBP2-67884] - Analysis of TSG101 on different lysates. Proteins were transferred to a PVDF membrane and blocked with 5% BSA in PBS for 1 hour at room temperature. The primary antibody (1/500) was used in 5% BSA at room temperature for 2 hours. Goat Anti-Rabbit IgG - HRP Secondary Antibody at 1:5,000 dilution was used for 1 hour at room temperature. Positive control: Lane 1: NIH/3T3 cell lysateLane 2: Hela cell lysate
Immunocytochemistry/ Immunofluorescence: TSG101 Antibody (JJ0900) [NBP2-67884]

Immunocytochemistry/ Immunofluorescence: TSG101 Antibody (JJ0900) [NBP2-67884]

Immunocytochemistry/Immunofluorescence: TSG101 Antibody (JJ0900) [NBP2-67884] - Staining TSG101 in SW480 cells (green). The nuclear counter stain is DAPI (blue). Cells were fixed in paraformaldehyde, permeabilised with 0.25% Triton X100/PBS.
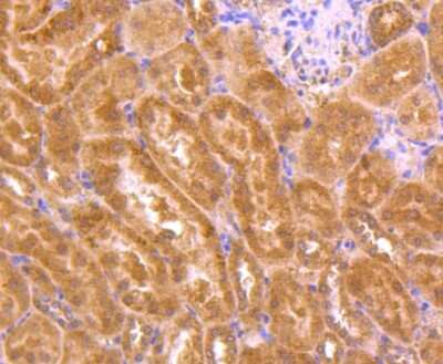
Immunohistochemistry-Paraffin: TSG101 Antibody (JJ0900) [NBP2-67884]

Immunohistochemistry-Paraffin: TSG101 Antibody (JJ0900) [NBP2-67884]

Immunohistochemistry-Paraffin: TSG101 Antibody (JJ0900) [NBP2-67884] - Analysis of paraffin-embedded mouse kidney tissue using anti-TSG101 antibody. Counter stained with hematoxylin.

Applications for TSG101 Antibody (JJ0900)

Application
Recommended Usage

Flow Cytometry

1:1,000

Immunocytochemistry/ Immunofluorescence

IF-Cell-1:200, IF-Tissue-1:50-1:200

Immunohistochemistry

1:50-1:1,000

Immunohistochemistry-Paraffin

1:50-1:1,000

Western Blot

1:2,000
Application Notes
See Simple Western Antibody Database for Simple Western validation: separated by Size

Formulation, Preparation, and Storage

Purification

Protein A purified

Formulation

TBS (pH7.4), 0.05% BSA, 40% Glycerol

Preservative

0.05% Sodium Azide

Concentration

1 mg/ml

Shipping

The product is shipped with polar packs. Upon receipt, store it immediately at the temperature recommended below.

Stability & Storage

Store at 4C short term. Aliquot and store at -20C long term. Avoid freeze-thaw cycles.

Background: TSG101

Tumor susceptibility 101 protein (human TSG101 theoretical molecular weight 44kDa) is the mammalian homologue of the yeast protein Vps23 which plays a role in endosomal and multivesicular body trafficking. TSG101 forms part of the endosomal sorting complexes required for transport complex 1 (ESCRT-I), a cytosolic multiprotein complex consisting additionally of Vps28, Vps37 (A-D) and Mvb12 (A, B) or UBAP1 (1). TSG101 contains multiple domains including the amino terminal ubiquitin e2 variant (UEV) domain, a proline-rich (RRR) domain, a coiled coil (CC) domain, and a carboxy terminal alpha-helical/steadiness box (SB) domain (2). As part of the ESCRT-I complex, TSG101 interacts through its UEV domain with ubiquitinated membrane proteins and members of the ESCRT-0 complex. The UEV domain plays a critical role for various TSG101 functions such as protein sorting into multivesicular bodies and late endosomes, and in the process of viral budding. For example, TSG101 interacts with the intermediate-conductance, Ca2+ -activated K+ channel (KCa3.1), facilitating its targeting to the lysosome for degradation (3). Additionally, TSG101 has been implicated in the turnover of connexins such as connexins 43 and 45 (4). TSG101 plays a role in other cellular functions including transcriptional regulation, cytokinesis and cell growth (2).

Upon its initial discovery, TSG101 was recognized as a tumor suppressor protein due to the identification of deletions within the TSG101 gene in human breast carcinomas. However, re-examination of the initial findings argued against this function and supported that TSG101 promotes tumorigenesis (2). In agreement with this role, TSG101 expression is upregulated in several types of cancer including breast, ovarian, and colorectal carcinoma.

References

1. Schmidt, O., & Teis, D. (2012). The ESCRT machinery. Current Biology. https://doi.org/10.1016/j.cub.2012.01.028

2. Jiang, Y., Ou, Y., & Cheng, X. (2013). Role of TSG101 in cancer. Frontiers in Bioscience. https://doi.org/10.2741/4099

3. Balut, C. M., Gao, Y., Murray, S. A., Thibodeau, P. H., & Devor, D. C. (2010). ESCRT-dependent targeting of plasma membrane localized KCa3.1 to the lysosomes. American Journal of Physiology - Cell Physiology. https://doi.org/10.1152/ajpcell.00120.2010

4. Su, V., & Lau, A. F. (2014). Connexins: Mechanisms regulating protein levels and intercellular communication. FEBS Letters. https://doi.org/10.1016/j.febslet.2014.01.013

Long Name

Tumor Susceptibility 101

Alternate Names

TSG10, VPS23

Gene Symbol

TSG101

Additional TSG101 Products

Product Documents for TSG101 Antibody (JJ0900)

Certificate of Analysis

To download a Certificate of Analysis, please enter a lot number in the search box below.

Product Specific Notices for TSG101 Antibody (JJ0900)

This product is for research use only and is not approved for use in humans or in clinical diagnosis. Primary Antibodies are guaranteed for 1 year from date of receipt.

Loading...
Loading...
Loading...
Loading...
Loading...