Skip to main content

TSG101 Antibody (4A10)

Novus Biologicals, part of Bio-Techne | Catalog # NB200-112

Novus Biologicals, part of Bio-Techne
Catalog #
Availability
Size / Price
Qty
Loading...
NB200-112

Key Product Details

Validated by

Knockout/Knockdown

Species Reactivity

Validated:

Human, Mouse, Rat, Porcine, Canine, Hamster, Monkey, Zebrafish

Cited:

Human, Mouse, Rat, Hamster, Primate, Primate - Macaca mulatta (Rhesus Macaque)

Applications

Validated:

Immunohistochemistry, Immunohistochemistry-Paraffin, Immunohistochemistry Free-Floating, Western Blot, ELISA, Flow Cytometry, Immunocytochemistry/ Immunofluorescence, Immunoprecipitation, Electron Microscopy, Knockdown Validated

Cited:

Western Blot, ELISA, Flow Cytometry, Immunocytochemistry/ Immunofluorescence, Immunoprecipitation, Functional Assay, IF/IHC

Label

Unconjugated

Antibody Source

Monoclonal Mouse IgG1 Clone # 4A10

Concentration

Concentrations vary lot to lot. See vial label for concentration. If unlisted please contact technical services.

Product Specifications

Immunogen

Amino acids 167-374 of TSG101 protein expressed in E. coli.

Reactivity Notes

Please note that this antibody is reactive to Mouse and derived from the same host, Mouse. Mouse-On-Mouse blocking reagent may be needed for IHC and ICC experiments to reduce high background signal. You can find these reagents under catalog numbers PK-2200-NB and MP-2400-NB. Please contact Technical Support if you have any questions.

Marker

Exosome Marker

Clonality

Monoclonal

Host

Mouse

Isotype

IgG1

Theoretical MW

44 kDa.
Disclaimer note: The observed molecular weight of the protein may vary from the listed predicted molecular weight due to post translational modifications, post translation cleavages, relative charges, and other experimental factors.

Scientific Data Images for TSG101 Antibody (4A10)

Western Blot: TSG101 Antibody (4A10) [NB200-112]

Western Blot: TSG101 Antibody (4A10) [NB200-112]

Western Blot: TSG101 Antibody (4A10) [NB200-112] - Whole cell lysates (WCL) or exosome sample from MDA-MB-231 cells was loaded with 10 ug/lane. 10% SDS-PAGE. TSG101 Antibody (NB200-112) was used for primary antibody: 1:1000, 4C, overnight. Image from verified customer review.
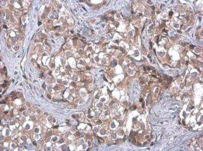
Immunohistochemistry-Paraffin: TSG101 Antibody (4A10) [NB200-112]

Immunohistochemistry-Paraffin: TSG101 Antibody (4A10) [NB200-112]

Immunohistochemistry-Paraffin: TSG101 Antibody (4A10) [NB200-112] - Human ovarian cancer. TSG101 stained by TSG101 antibody [4A10] (NB200-112).Antigen Retrieval: Citrate buffer, pH 6.0, 15 min
Flow Cytometry: TSG101 Antibody (4A10) [NB200-112]

Flow Cytometry: TSG101 Antibody (4A10) [NB200-112]

Flow Cytometry: TSG101 Antibody (4A10) [NB200-112] - TSG101 antibody [4A10] (NB200-112) detects TSG101 protein by flow cytometry analysis.Sample: THP-1 cell.Black: Unlabelled sample was used as a control.Red: TSG101 antibody [4A10] (NB200-112).Acquisition of 20,000 events were collected using a Dylight 488-conjugated secondary antibody for FACS analysis.

Applications for TSG101 Antibody (4A10)

Application
Recommended Usage

ELISA

1:100 - 1:2000

Electron Microscopy

Assay dependent

Flow Cytometry

1:25-1:200

Immunocytochemistry/ Immunofluorescence

1:500-1:1000

Immunohistochemistry

1:100-1:1000

Immunohistochemistry Free-Floating

Assay dependent

Immunohistochemistry-Paraffin

1:100-1:1000

Immunoprecipitation

Assay dependent

Western Blot

1:500-1:3000

Reviewed Applications

Read 3 reviews rated 4.3 using NB200-112 in the following applications:

Formulation, Preparation, and Storage

Purification

Antigen Affinity-purified

Formulation

PBS

Preservative

No Preservative

Concentration

Concentrations vary lot to lot. See vial label for concentration. If unlisted please contact technical services.

Shipping

The product is shipped with polar packs. Upon receipt, store it immediately at the temperature recommended below.

Stability & Storage

Store at 4C short term. Aliquot and store at -20C long term. Avoid freeze-thaw cycles.

Background: TSG101

Tumor susceptibility 101 protein (human TSG101 theoretical molecular weight 44kDa) is the mammalian homologue of the yeast protein Vps23 which plays a role in endosomal and multivesicular body trafficking. TSG101 forms part of the endosomal sorting complexes required for transport complex 1 (ESCRT-I), a cytosolic multiprotein complex consisting additionally of Vps28, Vps37 (A-D) and Mvb12 (A, B) or UBAP1 (1). TSG101 contains multiple domains including the amino terminal ubiquitin e2 variant (UEV) domain, a proline-rich (RRR) domain, a coiled coil (CC) domain, and a carboxy terminal alpha-helical/steadiness box (SB) domain (2). As part of the ESCRT-I complex, TSG101 interacts through its UEV domain with ubiquitinated membrane proteins and members of the ESCRT-0 complex. The UEV domain plays a critical role for various TSG101 functions such as protein sorting into multivesicular bodies and late endosomes, and in the process of viral budding. For example, TSG101 interacts with the intermediate-conductance, Ca2+ -activated K+ channel (KCa3.1), facilitating its targeting to the lysosome for degradation (3). Additionally, TSG101 has been implicated in the turnover of connexins such as connexins 43 and 45 (4). TSG101 plays a role in other cellular functions including transcriptional regulation, cytokinesis and cell growth (2).

Upon its initial discovery, TSG101 was recognized as a tumor suppressor protein due to the identification of deletions within the TSG101 gene in human breast carcinomas. However, re-examination of the initial findings argued against this function and supported that TSG101 promotes tumorigenesis (2). In agreement with this role, TSG101 expression is upregulated in several types of cancer including breast, ovarian, and colorectal carcinoma.

References

1. Schmidt, O., & Teis, D. (2012). The ESCRT machinery. Current Biology. https://doi.org/10.1016/j.cub.2012.01.028

2. Jiang, Y., Ou, Y., & Cheng, X. (2013). Role of TSG101 in cancer. Frontiers in Bioscience. https://doi.org/10.2741/4099

3. Balut, C. M., Gao, Y., Murray, S. A., Thibodeau, P. H., & Devor, D. C. (2010). ESCRT-dependent targeting of plasma membrane localized KCa3.1 to the lysosomes. American Journal of Physiology - Cell Physiology. https://doi.org/10.1152/ajpcell.00120.2010

4. Su, V., & Lau, A. F. (2014). Connexins: Mechanisms regulating protein levels and intercellular communication. FEBS Letters. https://doi.org/10.1016/j.febslet.2014.01.013

Long Name

Tumor Susceptibility 101

Alternate Names

TSG10, VPS23

Entrez Gene IDs

7251 (Human); 22088 (Mouse)

Gene Symbol

TSG101

UniProt

Additional TSG101 Products

Product Documents for TSG101 Antibody (4A10)

Certificate of Analysis

To download a Certificate of Analysis, please enter a lot number in the search box below.

Product Specific Notices for TSG101 Antibody (4A10)

This product is for research use only and is not approved for use in humans or in clinical diagnosis. Primary Antibodies are guaranteed for 1 year from date of receipt.

Loading...
Loading...
Loading...
Loading...
Loading...