Skip to main content

TSG101 Antibody (4A10-RB) - Azide and BSA Free

Novus Biologicals, part of Bio-Techne | Catalog # NBP3-13656

Recombinant Monoclonal Antibody
Novus Biologicals, part of Bio-Techne
Catalog #
Availability
Size / Price
Qty
Loading...
NBP3-13656

Key Product Details

Validated by

Knockout/Knockdown

Species Reactivity

Human, Mouse, Rat

Applications

Western Blot, Immunocytochemistry/ Immunofluorescence

Label

Unconjugated

Antibody Source

Monoclonal Rabbit IgG Clone # 4A10-RB

Format

Azide and BSA Free

Concentration

Concentrations vary lot to lot. See vial label for concentration. If unlisted please contact technical services.

Product Specifications

Immunogen

Amino acids 167-374 of TSG101 protein expressed in E. coli.

Clonality

Monoclonal

Host

Rabbit

Isotype

IgG

Theoretical MW

50 kDa.
Disclaimer note: The observed molecular weight of the protein may vary from the listed predicted molecular weight due to post translational modifications, post translation cleavages, relative charges, and other experimental factors.

Description

Centrifuge briefly prior to opening.

Scientific Data Images for TSG101 Antibody (4A10-RB) - Azide and BSA Free

TSG101 Antibody (4A10-RB)

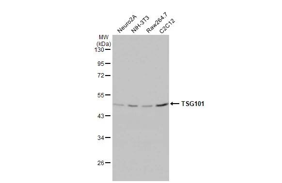
Western Blot: TSG101 Antibody (4A10-RB) [NBP3-13656] -

Western Blot: TSG101 Antibody (4A10-RB) [NBP3-13656] - Various whole cell extracts (30 ug) were separated by 10% SDS-PAGE, and the membrane was blotted with TSG101 antibody [4A10-RB] (NBP3-13656) diluted at 1:500. The HRP-conjugated anti-rabbit IgG antibody was used to detect the primary antibody.
TSG101 Antibody (4A10-RB)

Western Blot: TSG101 Antibody (4A10-RB) [NBP3-13656] -

Western Blot: TSG101 Antibody (4A10-RB) [NBP3-13656] - Various whole cell extracts (30 ug) were separated by 10% SDS-PAGE, and the membrane was blotted with TSG101 antibody [4A10-RB] (NBP3-13656) diluted at 1:500. The HRP-conjugated anti-rabbit IgG antibody was used to detect the primary antibody.
TSG101 Antibody (4A10-RB)

Western Blot: TSG101 Antibody (4A10-RB) [NBP3-13656] -

Western Blot: TSG101 Antibody (4A10-RB) [NBP3-13656] - Non-transfected (–) and transfected (+) 293T whole cell extracts (30 ug) were separated by 10% SDS-PAGE, and the membrane was blotted with TSG101 antibody [4A10-RB] diluted at 1:500. The HRP-conjugated anti-rabbit IgG antibody was used to detect the primary antibody.

Applications for TSG101 Antibody (4A10-RB) - Azide and BSA Free

Application
Recommended Usage

Immunocytochemistry/ Immunofluorescence

Assay dependent

Western Blot

1:500

Formulation, Preparation, and Storage

Purification

Protein A purified

Formulation

PBS

Format

Azide and BSA Free

Preservative

No Preservative

Concentration

Concentrations vary lot to lot. See vial label for concentration. If unlisted please contact technical services.

Shipping

The product is shipped with polar packs. Upon receipt, store it immediately at the temperature recommended below.

Stability & Storage

Store at 4C short term. Aliquot and store at -20C long term. Avoid freeze-thaw cycles.

Background: TSG101

Tumor susceptibility 101 protein (human TSG101 theoretical molecular weight 44kDa) is the mammalian homologue of the yeast protein Vps23 which plays a role in endosomal and multivesicular body trafficking. TSG101 forms part of the endosomal sorting complexes required for transport complex 1 (ESCRT-I), a cytosolic multiprotein complex consisting additionally of Vps28, Vps37 (A-D) and Mvb12 (A, B) or UBAP1 (1). TSG101 contains multiple domains including the amino terminal ubiquitin e2 variant (UEV) domain, a proline-rich (RRR) domain, a coiled coil (CC) domain, and a carboxy terminal alpha-helical/steadiness box (SB) domain (2). As part of the ESCRT-I complex, TSG101 interacts through its UEV domain with ubiquitinated membrane proteins and members of the ESCRT-0 complex. The UEV domain plays a critical role for various TSG101 functions such as protein sorting into multivesicular bodies and late endosomes, and in the process of viral budding. For example, TSG101 interacts with the intermediate-conductance, Ca2+ -activated K+ channel (KCa3.1), facilitating its targeting to the lysosome for degradation (3). Additionally, TSG101 has been implicated in the turnover of connexins such as connexins 43 and 45 (4). TSG101 plays a role in other cellular functions including transcriptional regulation, cytokinesis and cell growth (2).

Upon its initial discovery, TSG101 was recognized as a tumor suppressor protein due to the identification of deletions within the TSG101 gene in human breast carcinomas. However, re-examination of the initial findings argued against this function and supported that TSG101 promotes tumorigenesis (2). In agreement with this role, TSG101 expression is upregulated in several types of cancer including breast, ovarian, and colorectal carcinoma.

References

1. Schmidt, O., & Teis, D. (2012). The ESCRT machinery. Current Biology. https://doi.org/10.1016/j.cub.2012.01.028

2. Jiang, Y., Ou, Y., & Cheng, X. (2013). Role of TSG101 in cancer. Frontiers in Bioscience. https://doi.org/10.2741/4099

3. Balut, C. M., Gao, Y., Murray, S. A., Thibodeau, P. H., & Devor, D. C. (2010). ESCRT-dependent targeting of plasma membrane localized KCa3.1 to the lysosomes. American Journal of Physiology - Cell Physiology. https://doi.org/10.1152/ajpcell.00120.2010

4. Su, V., & Lau, A. F. (2014). Connexins: Mechanisms regulating protein levels and intercellular communication. FEBS Letters. https://doi.org/10.1016/j.febslet.2014.01.013

Long Name

Tumor Susceptibility 101

Alternate Names

TSG10, VPS23

Gene Symbol

TSG101

Additional TSG101 Products

Product Documents for TSG101 Antibody (4A10-RB) - Azide and BSA Free

Certificate of Analysis

To download a Certificate of Analysis, please enter a lot number in the search box below.

Product Specific Notices for TSG101 Antibody (4A10-RB) - Azide and BSA Free

This product is for research use only and is not approved for use in humans or in clinical diagnosis. Primary Antibodies are guaranteed for 1 year from date of receipt.

Loading...
Loading...
Loading...
Loading...