Skip to main content

TRXR3 Antibody - BSA Free

Novus Biologicals, part of Bio-Techne | Catalog # NBP3-45675

Novus Biologicals, part of Bio-Techne
Catalog #
Availability
Size / Price
Qty
Loading...
NBP3-45675

Key Product Details

Species Reactivity

Human

Applications

ELISA, Immunohistochemistry, Western Blot

Label

Unconjugated

Antibody Source

Polyclonal Rabbit IgG

Format

BSA Free

Concentration

Please see the vial label for concentration. If unlisted please contact technical services.

Product Specifications

Immunogen

thioredoxin reductase 3. (Uniprot# Q86VQ6)

Clonality

Polyclonal

Host

Rabbit

Isotype

IgG

Theoretical MW

77 kDa.
Disclaimer note: The observed molecular weight of the protein may vary from the listed predicted molecular weight due to post translational modifications, post translation cleavages, relative charges, and other experimental factors.

Description

Novus Biologicals Rabbit TRXR3 Antibody - BSA Free (NBP3-45675) is a polyclonal antibody validated for use in IHC, WB and ELISA. All Novus Biologicals antibodies are covered by our 100% guarantee.

Scientific Data Images for TRXR3 Antibody - BSA Free

TRXR3 Antibody - BSA Free

Western Blot: TRXR3 Antibody - BSA Free [NBP3-45675] -

Western Blot: TRXR3 Antibody - BSA Free [NBP3-45675] - Human testis tissue were subjected to SDS PAGE followed by western blot with (TRXR3 antibody) at dilution of 1:300
TRXR3 Antibody - BSA Free

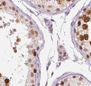
Immunohistochemistry: TRXR3 Antibody - BSA Free [NBP3-45675] -

Immunohistochemistry: TRXR3 Antibody - BSA Free [NBP3-45675] - Immunohistochemistry of paraffin-embedded human testis using (TRXR3 antibody) at dilution of 1:50

Applications for TRXR3 Antibody - BSA Free

Application
Recommended Usage

Immunohistochemistry

1:20-1:200

Western Blot

1:200-1:2000

Formulation, Preparation, and Storage

Purification

Immunogen affinity purified

Formulation

PBS, 50% Glycerol, pH (7.3)

Format

BSA Free

Preservative

0.02% Sodium Azide

Concentration

Please see the vial label for concentration. If unlisted please contact technical services.

Shipping

The product is shipped with polar packs. Upon receipt, store it immediately at the temperature recommended below.

Stability & Storage

Store at -20C. Avoid freeze-thaw cycles.

Background: TRXR3

Alternate Names

TGR, thioredoxin reductase 3, TR2, TRXR3

Gene Symbol

TXNRD3

Additional TRXR3 Products

Product Documents for TRXR3 Antibody - BSA Free

Certificate of Analysis

To download a Certificate of Analysis, please enter a lot number in the search box below.

Product Specific Notices for TRXR3 Antibody - BSA Free

This product is for research use only and is not approved for use in humans or in clinical diagnosis. Primary Antibodies are guaranteed for 1 year from date of receipt.

Loading...
Loading...
Loading...
Loading...