Skip to main content

TRPM8 Antibody (JE32-58)

Novus Biologicals, part of Bio-Techne | Catalog # NBP3-33062

Recombinant Monoclonal Antibody
Novus Biologicals, part of Bio-Techne
Catalog #
Availability
Size / Price
Qty
Loading...
NBP3-33062

Key Product Details

Species Reactivity

Human

Applications

Immunohistochemistry, Immunohistochemistry-Paraffin, Western Blot

Label

Unconjugated

Antibody Source

Recombinant Monoclonal Rabbit IgG Clone # JE32-58 expressed in HEK293

Concentration

1 mg/ml

Product Specifications

Immunogen

Recombinant protein within Human TRPM8 aa 851-1,050 / 1,104. (Uniprot: Q7Z2W7)

Localization

Cell membrane, Membrane raft, Endoplasmic reticulum membrane.

Clonality

Monoclonal

Host

Rabbit

Isotype

IgG

Theoretical MW

128 kDa.
Disclaimer note: The observed molecular weight of the protein may vary from the listed predicted molecular weight due to post translational modifications, post translation cleavages, relative charges, and other experimental factors.

Description

Novus Biologicals Rabbit TRPM8 Antibody (JE32-58) (NBP3-33062) is a recombinant monoclonal antibody validated for use in IHC and WB. All Novus Biologicals antibodies are covered by our 100% guarantee.

Scientific Data Images for TRPM8 Antibody (JE32-58)

TRPM8 Antibody (JE32-58)

Western Blot: TRPM8 Antibody (JE32-58) [NBP3-33062]

Western Blot: TRPM8 Antibody (JE32-58) [NBP3-33062] - Western blot analysis of TRPM8 on different lysates with Rabbit anti-TRPM8 antibody (NBP3-33062) at 1/1,000 dilution.

Lane 1: LNCaP cell lysate
Lane 2: MCF7 cell lysate
Lane 3: HCT 116 cell lysate

Lysates/proteins at 20 ug/Lane.

Predicted band size: 128 kDa
Observed band size: 110 kDa

Exposure time: 3 minutes;

4-20% SDS-PAGE gel.

Proteins were transferred to a PVDF membrane and blocked with 5% NFDM/TBST for 1 hour at room temperature. The primary antibody (NBP3-33062) at 1/1,000 dilution was used in 5% NFDM/TBST at 4C overnight. Goat Anti-Rabbit IgG - HRP Secondary Antibody at 1/50,000 dilution was used for 1 hour at room temperature.
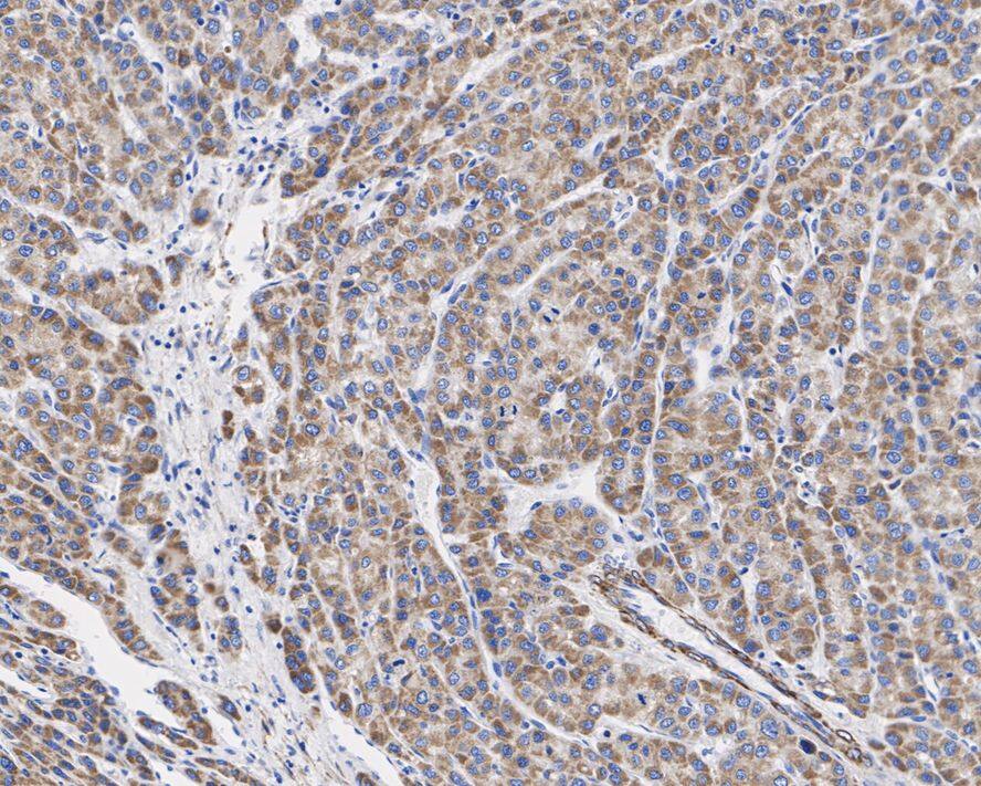
TRPM8 Antibody (JE32-58)

Immunohistochemistry: TRPM8 Antibody (JE32-58) [NBP3-33062]

Immunohistochemistry: TRPM8 Antibody (JE32-58) [NBP3-33062] - Immunohistochemical analysis of paraffin-embedded human liver cancer tissue with Rabbit anti-TRPM8 antibody (NBP3-33062) at 1/500 dilution.

The section was pre-treated using heat mediated antigen retrieval with Tris-EDTA buffer (pH 9.0) for 20 minutes. The tissues were blocked in 1% BSA for 20 minutes at room temperature, washed with ddH2O and PBS, and then probed with the primary antibody (NBP3-33062) at 1/500 dilution for 1 hour at room temperature. The detection was performed using an HRP conjugated compact polymer system. DAB was used as the chromogen. Tissues were counterstained with hematoxylin and mounted with DPX.

Applications for TRPM8 Antibody (JE32-58)

Application
Recommended Usage

Immunohistochemistry-Paraffin

1:500

Western Blot

1:1000

Formulation, Preparation, and Storage

Purification

Protein A purified

Formulation

1*TBS (pH7.4), 0.05% BSA and 40% Glycerol

Preservative

0.05% Sodium Azide

Concentration

1 mg/ml

Shipping

The product is shipped with polar packs. Upon receipt, store it immediately at the temperature recommended below.

Stability & Storage

Store at 4C short term. Aliquot and store at -20C long term. Avoid freeze-thaw cycles.

Background: TRPM8

TRPM8 is a novel gene, trp-p8 has an expression pattern within normal human tissues that is mostly restricted to prostate epithelial cells. Trp-p8 mRNA expression is at moderate levels in normal prostate tissue and appears to be elevated in prostate cancer. Notably, trp-p8 mRNA was also expressed in a number of nonprostatic primary tumors of the breast, colon, lung and skin origin, whereas transcripts encoding trp-p8 were hardly detected or not detected in the corresponding normal human tissues.

Alternate Names

CMR1, LTRPC6, TRPP8

Gene Symbol

TRPM8

Additional TRPM8 Products

Product Documents for TRPM8 Antibody (JE32-58)

Certificate of Analysis

To download a Certificate of Analysis, please enter a lot number in the search box below.

Product Specific Notices for TRPM8 Antibody (JE32-58)

This product is for research use only and is not approved for use in humans or in clinical diagnosis. Primary Antibodies are guaranteed for 1 year from date of receipt.

Loading...
Loading...
Loading...
Loading...