Skip to main content

TRPC6 Antibody - BSA Free

Novus Biologicals, part of Bio-Techne | Catalog # NBP1-77261

Novus Biologicals, part of Bio-Techne

Key Product Details

Species Reactivity

Human, Mouse

Applications

Immunohistochemistry, Immunohistochemistry-Paraffin, Western Blot, ELISA, Immunocytochemistry/ Immunofluorescence

Label

Unconjugated

Antibody Source

Polyclonal Rabbit IgG

Format

BSA Free

Concentration

1 mg/ml

Product Specifications

Immunogen

Antibody was raised against a 14 amino acid synthetic peptide from near the amino terminus of human TRPC6. The immunogen is located within amino acids 50 - 100 of TRPC6. Amino Acid Squence: AHRRQTVLREKGRR

Specificity

This antibody may cross-react with TRPC3.

Clonality

Polyclonal

Host

Rabbit

Isotype

IgG

Description

Novus Biologicals Rabbit TRPC6 Antibody - BSA Free (NBP1-77261) is a polyclonal antibody validated for use in IHC, WB, ELISA and ICC/IF. All Novus Biologicals antibodies are covered by our 100% guarantee.

Scientific Data Images for TRPC6 Antibody - BSA Free

Western Blot: TRPC6 AntibodyBSA Free [NBP1-77261]

Western Blot: TRPC6 AntibodyBSA Free [NBP1-77261]

Western Blot: TRPC6 Antibody [NBP1-77261] - K562 cell lysate with TRPC6 antibody at (A) 0.5 and (B) 1 ug/ml.
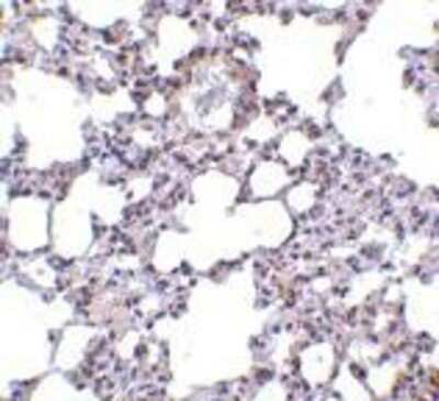
Immunohistochemistry-Paraffin: TRPC6 Antibody - BSA Free [NBP1-77261]

Immunohistochemistry-Paraffin: TRPC6 Antibody - BSA Free [NBP1-77261]

Immunohistochemistry-Paraffin: TRPC6 Antibody [NBP1-77261] - Mouse lung tissue with TRPC6 antibody at 10 ug/ml.
TRPC6 Antibody - BSA Free

Immunocytochemistry/ Immunofluorescence: TRPC6 Antibody - BSA Free [NBP1-77261] -

Immunocytochemistry/ Immunofluorescence: TRPC6 Antibody - BSA Free [NBP1-77261] - Immunocystochemistry of TRPC6 in K562 cells with TRPC6 antibody at 2 u/mL.

Applications for TRPC6 Antibody - BSA Free

Application
Recommended Usage

ELISA

1:100-1:2000

Immunocytochemistry/ Immunofluorescence

5 ug/mL

Immunohistochemistry

10 ug/ml

Immunohistochemistry-Paraffin

10 ug/ml

Western Blot

0.5-1 ug/ml

Formulation, Preparation, and Storage

Purification

Peptide affinity purified

Formulation

PBS

Format

BSA Free

Preservative

0.02% Sodium Azide

Concentration

1 mg/ml

Shipping

The product is shipped with polar packs. Upon receipt, store it immediately at the temperature recommended below.

Stability & Storage

Store at 4C short term. Aliquot and store at -20C long term. Avoid freeze-thaw cycles.

Background: TRPC6

The mammalian transient receptor potential (TRP) superfamily can be divided into three major families including the "canonical TRP" (TRPC) family. The seven members of this family share the activation through PLC-coupled receptors and have been suggested to be components of receptor-regulated cation channels in different cell types. Furthermore, the members of the TRPC6/6/7 subfamily can be activated by diacylglycerol (DAG) analogs, suggesting a possible mechanism of activation of these channels by PLC-coupled receptors. When expressed in transfected cells, TRPC6 acts as a non-selective store-independent receptor-activated cation channel. It is activated by DAG in a PKC-independent manner and is insensitive to IP3 activation. There is increasing evidence that TRPC6 encodes endogenous DAG-activated receptor-operated cation channels in vivo.

Long Name

Short transient receptor potential channel 6

Alternate Names

FSGS2, TRP-6, TRP6

Entrez Gene IDs

7225 (Human)

Gene Symbol

TRPC6

UniProt

Additional TRPC6 Products

Product Documents for TRPC6 Antibody - BSA Free

Certificate of Analysis

To download a Certificate of Analysis, please enter a lot number in the search box below.

Product Specific Notices for TRPC6 Antibody - BSA Free

This product is for research use only and is not approved for use in humans or in clinical diagnosis. Primary Antibodies are guaranteed for 1 year from date of receipt.

Loading...
Loading...
Loading...
Loading...