Skip to main content

TRMT1L Antibody - BSA Free

Novus Biologicals, part of Bio-Techne | Catalog # NBP3-12621

Novus Biologicals, part of Bio-Techne
Catalog #
Availability
Size / Price
Qty
Loading...
NBP3-12621-50ul
NBP3-12621-100ul

Key Product Details

Species Reactivity

Human

Applications

Immunohistochemistry-Paraffin, Western Blot

Label

Unconjugated

Antibody Source

Polyclonal Rabbit IgG

Format

BSA Free

Concentration

Please see the vial label for concentration. If unlisted please contact technical services.

Product Specifications

Immunogen

Produced in rabbits immunized with E. coli-derived Human TRMT1L fragment

Clonality

Polyclonal

Host

Rabbit

Isotype

IgG

Description

This antibody can be stored at 2-8C for one month without detectable loss of activity. Antibody products are stable for twelve months from date of receipt when stored at -20C to -80C. Avoid repeated freeze-thaw cycles.

Protein A & Antigen Affinity purified

Scientific Data Images for TRMT1L Antibody - BSA Free

Western Blot: TRMT1L Antibody [NBP3-12621]

Western Blot: TRMT1L Antibody [NBP3-12621]

Western Blot: TRMT1L Antibody [NBP3-12621] - Lane A: Jurkat Whole Cell LysateLysates/proteins at 30 ug per lane.SecondaryGoat Anti-Rabbit IgG (H+L)/HRP at 1/10000 dilution.Developed using the ECL technique.Performed under reducing conditions.Predicted band size:81 kDaObserved band size:95 kDa
Immunohistochemistry-Paraffin: TRMT1L Antibody [NBP3-12621]

Immunohistochemistry-Paraffin: TRMT1L Antibody [NBP3-12621]

Immunohistochemistry-Paraffin: TRMT1L Antibody [NBP3-12621] - Staining of human C1orf25 in human adrenal gland with rabbit polyclonal antibody at 1:500 dilution.
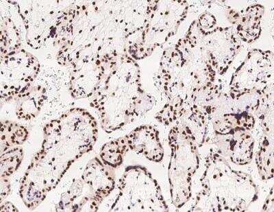
Immunohistochemistry-Paraffin: TRMT1L Antibody [NBP3-12621]

Immunohistochemistry-Paraffin: TRMT1L Antibody [NBP3-12621]

Immunohistochemistry-Paraffin: TRMT1L Antibody [NBP3-12621] - Staining of human C1orf25 in human placenta with rabbit polyclonal antibody at 1:500 dilution.

Applications for TRMT1L Antibody - BSA Free

Application
Recommended Usage

Immunohistochemistry-Paraffin

1:200-1:1000

Western Blot

1:500-1:2000

Formulation, Preparation, and Storage

Purification

Antigen and protein A Affinity-purified

Formulation

PBS

Format

BSA Free

Preservative

0.03% Proclin 300

Concentration

Please see the vial label for concentration. If unlisted please contact technical services.

Shipping

The product is shipped with polar packs. Upon receipt, store it immediately at the temperature recommended below.

Stability & Storage

Store at 4C short term. Aliquot and store at -20C long term. Avoid freeze-thaw cycles.

Background: TRMT1L

C1orf25 encodes a protein that has some similarity to N2,N2-dimethylguanosine tRNA methyltransferase from other organisms. Studies of the mouse ortholog have shown that this protein plays a role in motor coordination and exploratory behavior, and it may also be involved in modulating postnatal neuronal functions. Alternatively spliced transcripts have been identified for this gene, but their full-length nature is not known.

Alternate Names

C1orf25MST070, chromosome 1 open reading frame 25, MGC25112, MGC57134, TRM1 tRNA methyltransferase 1-like, TRM1LbG120K12.3, TRM1-like protein

Gene Symbol

TRMT1L

Additional TRMT1L Products

Product Documents for TRMT1L Antibody - BSA Free

Certificate of Analysis

To download a Certificate of Analysis, please enter a lot number in the search box below.

Product Specific Notices for TRMT1L Antibody - BSA Free

This product is for research use only and is not approved for use in humans or in clinical diagnosis. Primary Antibodies are guaranteed for 1 year from date of receipt.

Loading...
Loading...
Loading...
Loading...