TRMT12 Antibody - BSA Free
Novus Biologicals, part of Bio-Techne | Catalog # NBP1-83633
Key Product Details
Species Reactivity
Human
Applications
Immunocytochemistry/ Immunofluorescence, Immunohistochemistry, Immunohistochemistry-Paraffin, Western Blot
Label
Unconjugated
Antibody Source
Polyclonal Rabbit IgG
Format
BSA Free
Concentration
Concentrations vary lot to lot. See vial label for concentration. If unlisted please contact technical services.
Product Specifications
Immunogen
This antibody was developed against Recombinant Protein corresponding to amino acids: WFTQRYREYLQRQKLFDTQHRVEKMPDGSVALPVLGETLPEQHLQELRNRVAPGSPCMLTQLPDPVPSKRAQGCSPAQKLCLEVSRWVE
Clonality
Polyclonal
Host
Rabbit
Isotype
IgG
Description
Novus Biologicals Rabbit TRMT12 Antibody - BSA Free (NBP1-83633) is a polyclonal antibody validated for use in IHC, WB and ICC/IF. All Novus Biologicals antibodies are covered by our 100% guarantee.
Scientific Data Images for TRMT12 Antibody - BSA Free
Western Blot: TRMT12 Antibody [NBP1-83633]
Western Blot: TRMT12 Antibody [NBP1-83633] - Lane 1: Marker [kDa] 230, 130, 95, 72, 56, 36, 28, 17, 11. Lane 2: Human cell line RT-4. Lane 3: Human cell line U-251MG spImmunocytochemistry/ Immunofluorescence: TRMT12 Antibody [NBP1-83633]
Immunocytochemistry/Immunofluorescence: TRMT12 Antibody [NBP1-83633] - Immunofluorescent staining of human cell line U-2 OS shows localization to nucleoplasm & mitochondria.Immunohistochemistry-Paraffin: TRMT12 Antibody - BSA Free [NBP1-83633]
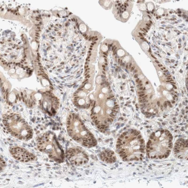
Staining of human colon shows moderate nuclear positivity in glandular cells).Applications for TRMT12 Antibody - BSA Free
Application
Recommended Usage
Immunocytochemistry/ Immunofluorescence
0.25-2 ug/ml
Immunohistochemistry
1:50 - 1:200
Immunohistochemistry-Paraffin
1:50 - 1:200
Western Blot
0.04-0.4 ug/ml
Application Notes
For IHC-Paraffin, HIER pH 6 retrieval is recommended. ICC/IF, Fixation Permeabilization: Use PFA/Triton X-100.
Formulation, Preparation, and Storage
Purification
Immunogen affinity purified
Formulation
PBS (pH 7.2) and 40% Glycerol
Format
BSA Free
Preservative
0.02% Sodium Azide
Concentration
Concentrations vary lot to lot. See vial label for concentration. If unlisted please contact technical services.
Shipping
The product is shipped with polar packs. Upon receipt, store it immediately at the temperature recommended below.
Stability & Storage
Store at 4C short term. Aliquot and store at -20C long term. Avoid freeze-thaw cycles.
Background: TRMT12
Alternate Names
Alpha-amino-alpha-carboxypropyl transferase TYW2, EC 2.1.1, EC 2.1.1.32, EC 2.5.1.-, FLJ20772, homolog of yeast tRNA methyltransferase, TRM12, tRNA methyltranferase 12 homolog, tRNA methyltranferase 12 homolog (S. cerevisiae), tRNA methyltransferase 12 homolog (S. cerevisiae), tRNA-yW synthesizing protein 2, tRNA-yW-synthesizing protein 2, TYW2tRNA wybutosine-synthesizing protein 2 homolog
Gene Symbol
TRMT12
Additional TRMT12 Products
Product Documents for TRMT12 Antibody - BSA Free
Product Specific Notices for TRMT12 Antibody - BSA Free
This product is for research use only and is not approved for use in humans or in clinical diagnosis. Primary Antibodies are guaranteed for 1 year from date of receipt.
Loading...
Loading...
Loading...
Loading...