Skip to main content

TRIML2 Antibody - BSA Free

Novus Biologicals, part of Bio-Techne | Catalog # NBP1-92531

Novus Biologicals, part of Bio-Techne
Catalog #
Availability
Size / Price
Qty
Loading...
NBP1-92531
NBP1-92531-25ul

Key Product Details

Species Reactivity

Human

Applications

Immunocytochemistry/ Immunofluorescence, Immunohistochemistry, Immunohistochemistry-Paraffin, Western Blot

Label

Unconjugated

Antibody Source

Polyclonal Rabbit IgG

Format

BSA Free

Concentration

Concentrations vary lot to lot. See vial label for concentration. If unlisted please contact technical services.

Product Specifications

Immunogen

This antibody was developed against Recombinant Protein corresponding to amino acids: KMIESEYSMRLRLLNEECEQNLQRQQECISDLNLRETLLNQAIKLATELEEMFQEMLQRLGRVGRENMEKLK

Clonality

Polyclonal

Host

Rabbit

Isotype

IgG

Description

Novus Biologicals Rabbit TRIML2 Antibody - BSA Free (NBP1-92531) is a polyclonal antibody validated for use in IHC, WB and ICC/IF. All Novus Biologicals antibodies are covered by our 100% guarantee.

Scientific Data Images for TRIML2 Antibody - BSA Free

Western Blot: TRIML2 Antibody [NBP1-92531]

Western Blot: TRIML2 Antibody [NBP1-92531]

Western Blot: TRIML2 Antibody [NBP1-92531] - Analysis in control (vector only transfected HEK293T lysate) and TRIML2 over-expression lysate (Co-expressed with a C-terminal myc-DDK tag (3.1 kDa) in mammalian HEK293T cells).
Immunocytochemistry/ Immunofluorescence: TRIML2 Antibody [NBP1-92531]

Immunocytochemistry/ Immunofluorescence: TRIML2 Antibody [NBP1-92531]

Immunocytochemistry/Immunofluorescence: TRIML2 Antibody [NBP1-92531] - Immunofluorescent staining of human cell line U-2 OS shows localization to plasma membrane & cytosol.
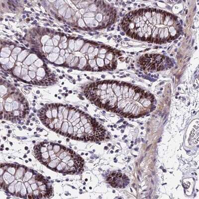
Immunohistochemistry-Paraffin: TRIML2 Antibody [NBP1-92531]

Immunohistochemistry-Paraffin: TRIML2 Antibody [NBP1-92531]

Immunohistochemistry-Paraffin: TRIML2 Antibody [NBP1-92531] - Staining of human colon shows strong nuclear positivity in glandular cells.

Applications for TRIML2 Antibody - BSA Free

Application
Recommended Usage

Immunocytochemistry/ Immunofluorescence

0.25-2 ug/ml

Immunohistochemistry

1:1000 - 1:2500

Immunohistochemistry-Paraffin

1:1000 - 1:2500

Western Blot

0.04-0.4 ug/ml
Application Notes
For IHC-Paraffin, HIER pH 6 retrieval is recommended. Immunocytochemistry/Immunofluorescence Fixation Permeabilization: Use PFA/Triton X-100.

Formulation, Preparation, and Storage

Purification

Immunogen affinity purified

Formulation

PBS (pH 7.2) and 40% Glycerol

Format

BSA Free

Preservative

0.02% Sodium Azide

Concentration

Concentrations vary lot to lot. See vial label for concentration. If unlisted please contact technical services.

Shipping

The product is shipped with polar packs. Upon receipt, store it immediately at the temperature recommended below.

Stability & Storage

Store at 4C short term. Aliquot and store at -20C long term. Avoid freeze-thaw cycles.

Background: TRIML2

Alternate Names

EC 6.3.2.-, FLJ25801, FLJ56315, MGC138164, probable E3 ubiquitin-protein ligase TRIML2, SPRY domain containing 6, SPRY domain-containing protein 6, SPRYD6MGC138166, tripartite motif family-like 2, Tripartite motif family-like protein 2

Gene Symbol

TRIML2

Additional TRIML2 Products

Product Documents for TRIML2 Antibody - BSA Free

Certificate of Analysis

To download a Certificate of Analysis, please enter a lot number in the search box below.

Product Specific Notices for TRIML2 Antibody - BSA Free

This product is for research use only and is not approved for use in humans or in clinical diagnosis. Primary Antibodies are guaranteed for 1 year from date of receipt.

Loading...
Loading...
Loading...
Loading...