Skip to main content

TRIM68 Antibody - BSA Free

Novus Biologicals, part of Bio-Techne | Catalog # NBP1-83863

Novus Biologicals, part of Bio-Techne
Catalog #
Availability
Size / Price
Qty
Loading...
NBP1-83863
NBP1-83863-25ul

Key Product Details

Species Reactivity

Human

Applications

Immunocytochemistry/ Immunofluorescence, Immunohistochemistry, Immunohistochemistry-Paraffin

Label

Unconjugated

Antibody Source

Polyclonal Rabbit IgG

Format

BSA Free

Concentration

Concentrations vary lot to lot. See vial label for concentration. If unlisted please contact technical services.

Product Specifications

Immunogen

This antibody was developed against Recombinant Protein corresponding to amino acids: KLELNHSELIQQSQVLWRMIAELKERSQRPVRWMLQDIQEVLNRSKSWSLQQPEPISLELKTDCRVLG

Reactivity Notes

Rat (82%).

Clonality

Polyclonal

Host

Rabbit

Isotype

IgG

Description

Novus Biologicals Rabbit TRIM68 Antibody - BSA Free (NBP1-83863) is a polyclonal antibody validated for use in IHC and ICC/IF. All Novus Biologicals antibodies are covered by our 100% guarantee.

Scientific Data Images for TRIM68 Antibody - BSA Free

Immunocytochemistry/ Immunofluorescence: TRIM68 Antibody [NBP1-83863]

Immunocytochemistry/ Immunofluorescence: TRIM68 Antibody [NBP1-83863]

Immunocytochemistry/Immunofluorescence: TRIM68 Antibody [NBP1-83863] - Staining of human cell line U-2 OS shows positivity in nucleus, nucleoli and cytoplasm.
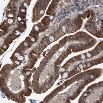
Immunohistochemistry-Paraffin: TRIM68 Antibody [NBP1-83863]

Immunohistochemistry-Paraffin: TRIM68 Antibody [NBP1-83863]

Immunohistochemistry-Paraffin: TRIM68 Antibody [NBP1-83863] - Staining of human duodenum shows strong cytoplasmic and membranous positivity in glandular cells.

Applications for TRIM68 Antibody - BSA Free

Application
Recommended Usage

Immunocytochemistry/ Immunofluorescence

0.25-2 ug/ml

Immunohistochemistry

1:50 - 1:200

Immunohistochemistry-Paraffin

1:50 - 1:200
Application Notes
For IHC-Paraffin, HIER pH 6 retrieval is recommended. Immunocytochemistry/Immunofluorescence Fixation Permeabilization: Use PFA/Triton X-100.

Formulation, Preparation, and Storage

Purification

Immunogen affinity purified

Formulation

PBS (pH 7.2) and 40% Glycerol

Format

BSA Free

Preservative

0.02% Sodium Azide

Concentration

Concentrations vary lot to lot. See vial label for concentration. If unlisted please contact technical services.

Shipping

The product is shipped with polar packs. Upon receipt, store it immediately at the temperature recommended below.

Stability & Storage

Store at 4C short term. Aliquot and store at -20C long term. Avoid freeze-thaw cycles.

Background: TRIM68

TRIM68 - tripartite motif-containing 68

Alternate Names

EC 6.3.2.-, FLJ10369, GC109MGC126176, RING finger protein 137RNF137, Ro/SSA1 related protein, SS56E3 ubiquitin-protein ligase TRIM68, SS-56SSA protein SS-56, tripartite motif containing 68, tripartite motif-containing 68, Tripartite motif-containing protein 68

Gene Symbol

TRIM68

Additional TRIM68 Products

Product Documents for TRIM68 Antibody - BSA Free

Certificate of Analysis

To download a Certificate of Analysis, please enter a lot number in the search box below.

Product Specific Notices for TRIM68 Antibody - BSA Free

This product is for research use only and is not approved for use in humans or in clinical diagnosis. Primary Antibodies are guaranteed for 1 year from date of receipt.

Loading...
Loading...
Loading...
Loading...