Skip to main content

TRIM45 Antibody (OTI3G3) - Azide and BSA Free

Novus Biologicals, part of Bio-Techne | Catalog # NBP2-74612

Novus Biologicals, part of Bio-Techne

Key Product Details

Species Reactivity

Human, Mouse, Rat

Applications

Immunohistochemistry, Immunohistochemistry-Paraffin, Immunocytochemistry/ Immunofluorescence

Label

Unconjugated

Antibody Source

Monoclonal Mouse IgG1 Clone # OTI3G3

Format

Azide and BSA Free

Concentration

LYOPH mg/ml

Product Specifications

Immunogen

Human recombinant protein fragment corresponding to amino acids 288-580 of human TRIM45(NP_079464) produced in E.coli.

Reactivity Notes

Please note that this antibody is reactive to Mouse and derived from the same host, Mouse. Mouse-On-Mouse blocking reagent may be needed for IHC and ICC experiments to reduce high background signal. You can find these reagents under catalog numbers PK-2200-NB and MP-2400-NB. Please contact Technical Support if you have any questions.

Clonality

Monoclonal

Host

Mouse

Isotype

IgG1

Theoretical MW

64.2 kDa.
Disclaimer note: The observed molecular weight of the protein may vary from the listed predicted molecular weight due to post translational modifications, post translation cleavages, relative charges, and other experimental factors.

Description

Novus Biologicals Mouse TRIM45 Antibody (OTI3G3) - Azide and BSA Free (NBP2-46223) is a monoclonal antibody validated for use in IHC and ICC/IF. All Novus Biologicals antibodies are covered by our 100% guarantee.

Scientific Data Images for TRIM45 Antibody (OTI3G3) - Azide and BSA Free

Immunocytochemistry/ Immunofluorescence: TRIM45 Antibody (OTI3G3) - Azide and BSA Free [NBP2-74612]

Immunocytochemistry/ Immunofluorescence: TRIM45 Antibody (OTI3G3) - Azide and BSA Free [NBP2-74612]

Immunocytochemistry/Immunofluorescence: TRIM45 Antibody (OTI3G3) - Azide and BSA Free [NBP2-74612] - Analysis of COS7 cells transiently transfected by pCMV6-ENTRY TRIM45.
Immunohistochemistry: TRIM45 Antibody (OTI3G3) - Azide and BSA Free [NBP2-74612]

Immunohistochemistry: TRIM45 Antibody (OTI3G3) - Azide and BSA Free [NBP2-74612]

Immunohistochemistry: TRIM45 Antibody (OTI3G3) - Azide and BSA Free [NBP2-74612] - Analysis of Human tonsil tissue. (Heat-induced epitope retrieval by 10mM citric buffer, pH6.0, 120C for 3min)
Immunohistochemistry: TRIM45 Antibody (OTI3G3) - Azide and BSA Free [NBP2-74612]

Immunohistochemistry: TRIM45 Antibody (OTI3G3) - Azide and BSA Free [NBP2-74612]

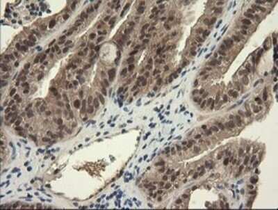
Immunohistochemistry: TRIM45 Antibody (OTI3G3) - Azide and BSA Free [NBP2-74612] - Analysis of Adenocarcinoma of Human ovary tissue. (Heat-induced epitope retrieval by 10mM citric buffer, pH6.0, 120C for 3min)

Applications for TRIM45 Antibody (OTI3G3) - Azide and BSA Free

Application
Recommended Usage

Immunocytochemistry/ Immunofluorescence

1:100

Immunohistochemistry

1:150

Formulation, Preparation, and Storage

Purification

Immunogen affinity purified

Reconstitution

we recommend adding 100uL distilled water to a final antibody concentration of about 1 mg/mL. To use this carrier-free antibody for conjugation experiment, we strongly recommend performing another round of desalting process.

Formulation

Lyophilized from PBS (pH 7.3) with 8% Trehalose

Format

Azide and BSA Free

Preservative

No Preservative

Concentration

LYOPH mg/ml

Shipping

The product is shipped with polar packs. Upon receipt, store it immediately at the temperature recommended below.

Stability & Storage

Store at -20C. Avoid freeze-thaw cycles.

Background: TRIM45

TRIM45 belongs to a family of tripartite motif (TRIM) proteins that play important roles in a variety of cellular functions, including cell proliferation, differentiation, development, oncogenesis, and apoptosis (Wang et al., 2004 [PubMed 15351693]).[supplied by OMIM]

Alternate Names

RING finger protein 99, RNF99FLJ13181, tripartite motif containing 45, tripartite motif-containing 45, tripartite motif-containing protein 45

Gene Symbol

TRIM45

Additional TRIM45 Products

Product Documents for TRIM45 Antibody (OTI3G3) - Azide and BSA Free

Certificate of Analysis

To download a Certificate of Analysis, please enter a lot number in the search box below.

Product Specific Notices for TRIM45 Antibody (OTI3G3) - Azide and BSA Free

This product is for research use only and is not approved for use in humans or in clinical diagnosis. Primary Antibodies are guaranteed for 1 year from date of receipt.

Loading...
Loading...
Loading...
Loading...
Loading...