Skip to main content

TRIM40 Antibody - BSA Free

Novus Biologicals, part of Bio-Techne | Catalog # NBP1-92530

Novus Biologicals, part of Bio-Techne
Catalog #
Availability
Size / Price
Qty
Loading...
NBP1-92530
NBP1-92530-25ul

Key Product Details

Species Reactivity

Human

Applications

Immunohistochemistry, Immunohistochemistry-Paraffin

Label

Unconjugated

Antibody Source

Polyclonal Rabbit IgG

Format

BSA Free

Concentration

Concentrations vary lot to lot. See vial label for concentration. If unlisted please contact technical services.

Product Specifications

Immunogen

This antibody was developed against Recombinant Protein corresponding to amino acids: QQWLGQLEHMPAEAARILDISRAVTQLRSLVIDLERTAKELDTNTLKNAGDLLNRSAPQKLEVIYPQLEKGVSELLLQP

Clonality

Polyclonal

Host

Rabbit

Isotype

IgG

Description

Novus Biologicals Rabbit TRIM40 Antibody - BSA Free (NBP1-92530) is a polyclonal antibody validated for use in IHC. All Novus Biologicals antibodies are covered by our 100% guarantee.

Scientific Data Images for TRIM40 Antibody - BSA Free

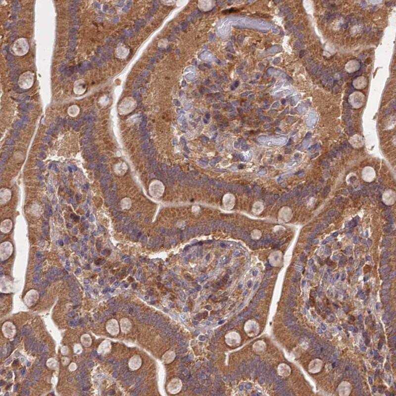
Immunohistochemistry-Paraffin: TRIM40 Antibody [NBP1-92530]

Immunohistochemistry-Paraffin: TRIM40 Antibody [NBP1-92530]

Immunohistochemistry-Paraffin: TRIM40 Antibody [NBP1-92530] - Staining of human stomach (lower) shows strong cytoplasmic positivity in glandular cells.
TRIM40 Antibody - BSA Free Immunohistochemistry: TRIM40 Antibody - BSA Free [NBP1-92530]

Immunohistochemistry: TRIM40 Antibody - BSA Free [NBP1-92530]

Staining of human duodenum shows strong cytoplasmic positivity in glandular cells.

Applications for TRIM40 Antibody - BSA Free

Application
Recommended Usage

Immunohistochemistry

1:50 - 1:200

Immunohistochemistry-Paraffin

1:50 - 1:200
Application Notes
For IHC-Paraffin, HIER pH 6 retrieval is recommended. Immunocytochemistry/Immunofluorescence Fixation Permeabilization: Use PFA/Triton X-100.

Formulation, Preparation, and Storage

Purification

Immunogen affinity purified

Formulation

PBS (pH 7.2) and 40% Glycerol

Format

BSA Free

Preservative

0.02% Sodium Azide

Concentration

Concentrations vary lot to lot. See vial label for concentration. If unlisted please contact technical services.

Shipping

The product is shipped with polar packs. Upon receipt, store it immediately at the temperature recommended below.

Stability & Storage

Store at 4C short term. Aliquot and store at -20C long term. Avoid freeze-thaw cycles.

Background: TRIM40

Alternate Names

RING finger protein 35, ring finger RNF35, RNF35ring finger protein 40, tripartite motif containing 40, tripartite motif-containing 40, tripartite motif-containing protein 40

Gene Symbol

TRIM40

Additional TRIM40 Products

Product Documents for TRIM40 Antibody - BSA Free

Certificate of Analysis

To download a Certificate of Analysis, please enter a lot number in the search box below.

Product Specific Notices for TRIM40 Antibody - BSA Free

This product is for research use only and is not approved for use in humans or in clinical diagnosis. Primary Antibodies are guaranteed for 1 year from date of receipt.

Loading...
Loading...
Loading...
Loading...