Skip to main content

TRIM23 Antibody - BSA Free

Novus Biologicals, part of Bio-Techne | Catalog # NB100-78620

Novus Biologicals, part of Bio-Techne
Catalog #
Availability
Size / Price
Qty
Loading...
NB100-78620

Key Product Details

Validated by

Biological Validation

Species Reactivity

Validated:

Human, Mouse

Cited:

Mouse

Predicted:

Rhesus Macaque (100%). Backed by our 100% Guarantee.

Applications

Validated:

Immunohistochemistry, Immunohistochemistry-Paraffin, Immunohistochemistry-Frozen, Western Blot, Immunocytochemistry/ Immunofluorescence

Cited:

Immunocytochemistry/ Immunofluorescence

Label

Unconjugated

Antibody Source

Polyclonal Rabbit IgG

Format

BSA Free

Concentration

Concentrations vary lot to lot. See vial label for concentration. If unlisted please contact technical services.

Product Specifications

Immunogen

Carrier-protein conjugated synthetic peptide encompassing a sequence within the N-terminus region of human TRIM23. The exact sequence is proprietary.

Localization

Cell membrane

Clonality

Polyclonal

Host

Rabbit

Isotype

IgG

Theoretical MW

64 kDa.
Disclaimer note: The observed molecular weight of the protein may vary from the listed predicted molecular weight due to post translational modifications, post translation cleavages, relative charges, and other experimental factors.

Scientific Data Images for TRIM23 Antibody - BSA Free

Immunocytochemistry/ Immunofluorescence: TRIM23 Antibody [NB100-78620]

Immunocytochemistry/ Immunofluorescence: TRIM23 Antibody [NB100-78620]

Immunocytochemistry/Immunofluorescence: TRIM23 Antibody [NB100-78620] - HCT116 cells mock (left) and treated with 30 uM Cisplatin for 24 hrs (right) were fixed in 4% paraformaldehyde at RT for 15 min. Green: TRIM23 protein stained by TRIM23 antibody [N1], N-term diluted at 1:200. Red: alpha Tubulin, a cytoskeleton marker, stained by alpha Tubulin antibody [B-5-1-2] diluted at 1:10000. Blue: Hoechst 33342 staining.
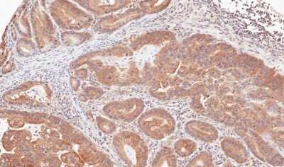
Immunohistochemistry-Paraffin: TRIM23 Antibody [NB100-78620]

Immunohistochemistry-Paraffin: TRIM23 Antibody [NB100-78620]

Immunohistochemistry-Paraffin: TRIM23 Antibody [NB100-78620] - Paraffin-embedded gastric CA, using antibody at 1:100 dilution.
Immunocytochemistry/ Immunofluorescence: TRIM23 Antibody [NB100-78620]

Immunocytochemistry/ Immunofluorescence: TRIM23 Antibody [NB100-78620]

Immunocytochemistry/Immunofluorescence: TRIM23 Antibody [NB100-78620] - Paraformaldehyde-fixed HeLa, using TRIM23 antibody (Green) at 1:500 dilution.

Applications for TRIM23 Antibody - BSA Free

Application
Recommended Usage

Immunocytochemistry/ Immunofluorescence

1:100-1:1000

Immunohistochemistry

1:100-1:1000

Immunohistochemistry-Paraffin

1:100-1:1000

Western Blot

1:500-1:3000

Formulation, Preparation, and Storage

Purification

Antigen Affinity-purified

Formulation

PBS, 20% Glycerol

Format

BSA Free

Preservative

0.025% Proclin 300

Concentration

Concentrations vary lot to lot. See vial label for concentration. If unlisted please contact technical services.

Shipping

The product is shipped with polar packs. Upon receipt, store it immediately at the temperature recommended below.

Stability & Storage

Store at 4C short term. Aliquot and store at -20C long term. Avoid freeze-thaw cycles.

Background: TRIM23

The protein encoded by this gene is a member of the tripartite motif (TRIM) family. The TRIM motif includes three zinc-binding domains, a RING, a B-box type 1 and a B-box type 2, and a coiled-coil region. This protein is also a member of the ADP ribosylation factor family of guanine nucleotide-binding family of proteins. Its carboxy terminus contains an ADP-ribosylation factor domain and a guanine nucleotide binding site, while the amino terminus contains a GTPase activating protein domain which acts on the guanine nucleotide binding site. The protein localizes to lysosomes and the Golgi apparatus. It plays a role in the formation of intracellular transport vesicles, their movement from one compartment to another, and phopholipase D activation. Three alternatively spliced transcript variants for this gene have been described.

Alternate Names

ADP-ribosylation factor domain protein 1, 64kDa, ADP-ribosylation factor domain-containing protein 1, ARD1GTP-binding protein ARD-1, ARF domain protein 1, ARFD1, E3 ubiquitin-protein ligase TRIM23, EC 6.3.2.-, RNF46RING finger protein 46, tripartite motif containing 23, tripartite motif protein TRIM23, tripartite motif-containing 23, Tripartite motif-containing protein 23

Entrez Gene IDs

373 (Human)

Gene Symbol

TRIM23

Additional TRIM23 Products

Product Documents for TRIM23 Antibody - BSA Free

Certificate of Analysis

To download a Certificate of Analysis, please enter a lot number in the search box below.

Product Specific Notices for TRIM23 Antibody - BSA Free

This product is for research use only and is not approved for use in humans or in clinical diagnosis. Primary Antibodies are guaranteed for 1 year from date of receipt.

Loading...
Loading...
Loading...
Loading...

⚠ WARNING: This product can expose you to chemicals including mercury, which is known to the State of California to cause reproductive toxicity with developmental effects.  For more information go to www.P65Warnings.ca.gov.