Skip to main content

TRF-2 Antibody (JE37-57)

Novus Biologicals, part of Bio-Techne | Catalog # NBP3-33049

Recombinant Monoclonal Antibody
Novus Biologicals, part of Bio-Techne
Catalog #
Availability
Size / Price
Qty
Loading...
NBP3-33049

Key Product Details

Species Reactivity

Human

Applications

Immunocytochemistry/ Immunofluorescence, Immunohistochemistry, Immunohistochemistry-Paraffin, Western Blot

Label

Unconjugated

Antibody Source

Recombinant Monoclonal Rabbit IgG Clone # JE37-57 expressed in HEK293

Concentration

1 mg/ml

Product Specifications

Immunogen

Recombinant protein within Human TRF-2 aa 1-100 / 542. (Uniprot: Q15554)

Localization

Nucleus, Chromosome, telomere.

Clonality

Monoclonal

Host

Rabbit

Isotype

IgG

Theoretical MW

60 kDa.
Disclaimer note: The observed molecular weight of the protein may vary from the listed predicted molecular weight due to post translational modifications, post translation cleavages, relative charges, and other experimental factors.

Description

Novus Biologicals Rabbit TRF-2 Antibody (JE37-57) (NBP3-33049) is a recombinant monoclonal antibody validated for use in IHC, WB and ICC/IF. All Novus Biologicals antibodies are covered by our 100% guarantee.

Scientific Data Images for TRF-2 Antibody (JE37-57)

TRF-2 Antibody (JE37-57)

Western Blot: TRF-2 Antibody (JE37-57) [NBP3-33049]

Western Blot: TRF-2 Antibody (JE37-57) [NBP3-33049] - Western blot analysis of TRF-2 on different lysates with Rabbit anti-TRF-2 antibody (NBP3-33049) at 1/500 dilution.

Lane 1: SiHa cell lysate
Lane 2: Jurkat cell lysate

Lysates/proteins at 10 ug/Lane.

Predicted band size: 60 kDa
Observed band size: 60 kDa

Exposure time: 2 minutes;

10% SDS-PAGE gel.

Proteins were transferred to a PVDF membrane and blocked with 5% NFDM/TBST for 1 hour at room temperature. The primary antibody (NBP3-33049) at 1/500 dilution was used in 5% NFDM/TBST at room temperature for 2 hours. Goat Anti-Rabbit IgG - HRP Secondary Antibody at 1:200,000 dilution was used for 1 hour at room temperature.
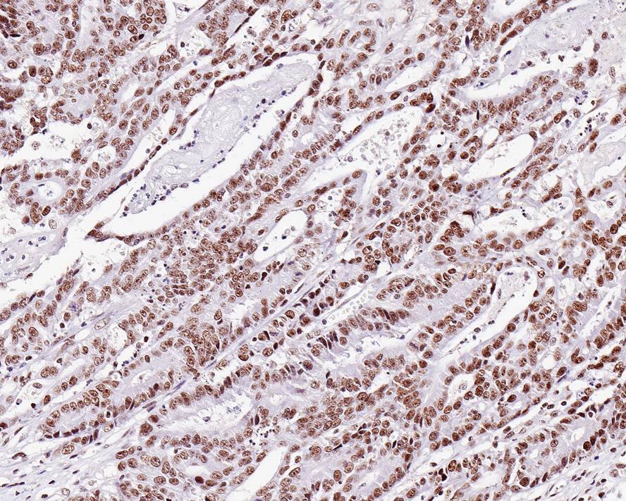
TRF-2 Antibody (JE37-57)

Immunohistochemistry: TRF-2 Antibody (JE37-57) [NBP3-33049]

Immunohistochemistry: TRF-2 Antibody (JE37-57) [NBP3-33049] - Immunohistochemical analysis of paraffin-embedded human colon carcinoma tissue with Rabbit anti-TRF-2 antibody (NBP3-33049) at 1/1,000 dilution.

The section was pre-treated using heat mediated antigen retrieval with sodium citrate buffer (pH 6.0) for 2 minutes. The tissues were blocked in 1% BSA for 20 minutes at room temperature, washed with ddH2O and PBS, and then probed with the primary antibody (NBP3-33049) at 1/1,000 dilution for 1 hour at room temperature. The detection was performed using an HRP conjugated compact polymer system. DAB was used as the chromogen. Tissues were counterstained with hematoxylin and mounted with DPX.
TRF-2 Antibody (JE37-57)

Immunocytochemistry/ Immunofluorescence: TRF-2 Antibody (JE37-57) [NBP3-33049]

Immunocytochemistry/ Immunofluorescence: TRF-2 Antibody (JE37-57) [NBP3-33049] - Immunocytochemistry analysis of SiHa cells labeling TRF-2 with Rabbit anti-TRF-2 antibody (NBP3-33049) at 20ug/mL dilution.

Cells were fixed in 4% paraformaldehyde for 10 minutes at 37 ℃, permeabilized with 0.05% Triton X-100 in PBS for 20 minutes, and then blocked with 2% negative goat serum for 30 minutes at room temperature. Cells were then incubated with Rabbit anti-TRF-2 antibody (NBP3-33049) at 20ug/mL dilution in 2% negative goat serum overnight at 4 ℃. Goat Anti-Rabbit IgG H&L (iFluor™ 488) was used as the secondary antibody at 1/1,000 dilution. PBS instead of the primary antibody was used as the secondary antibody only control. Nuclear DNA was labelled in blue with DAPI.

Applications for TRF-2 Antibody (JE37-57)

Application
Recommended Usage

Immunocytochemistry/ Immunofluorescence

20ug/mL

Immunohistochemistry-Paraffin

1:200-1:1000

Western Blot

1:1000

Formulation, Preparation, and Storage

Purification

Protein A purified

Formulation

1*TBS (pH7.4), 0.05% BSA and 40% Glycerol

Preservative

0.05% Sodium Azide

Concentration

1 mg/ml

Shipping

The product is shipped with polar packs. Upon receipt, store it immediately at the temperature recommended below.

Stability & Storage

Store at 4C short term. Aliquot and store at -20C long term. Avoid freeze-thaw cycles.

Background: TRF-2

Originally discovered as part of shelterin complex, telomeric repeat-binding factor 2 (TRF2, also called TERF2 or TRB2) is a ubiquitously expressed nuclear protein (55-60 kDa) involved in telomere homeostasis. TRF2 contains an N-terminal GAR domain, a central TRFH dimerization domain, and a C-terminal SAND/MYB-type DNA binding domain. Trf2 RNA has 10 exons and alternative splicing in rodents produces a truncated form, TRF2-S, which lacks the DNA binding domain and nuclear localization signal (NLS) (1).

Both TRF2 and TRF1 bind to telomeric double stranded 5'-TTAGGG-3' DNA repeats, then recruit RAP1, TIN2, TPP1, and POT1 for the assembly of the shelterin complex. The telomeric association of TRF2 is greatly increased in the S phase of the cell cycle (2). Loss of TRF2 leads to telomere shortening, the DNA damage response, chromosomal instability, and replicative senescence. Interestingly, the contribution of TRF2 to telomere shortening via a telomerase-independent mechanism has also been reported (3). In conjunction with the exonuclease, Apollo, TRF2 protects telomeres during replication and negatively regulates the accumulation of DNA topoisomerase (TOP1, TOP2A and TOP2B).

TRF2 has been implicated in cancer, shown to be a major oncogene in telomerase-deficient mice. A link to Werner syndrome, a premature aging disease caused by the loss of WRN, has been reported based on TRF2 recruitment of WRN for processing of telomeric DNA (4). TRF2 expression is increased during human embryonic stem cell differentiation and has been shown to interact with Repressor Element-1 Silencing Transcription Factor (REST), protecting it from proteasomal degradation (5).

References

1. Grammatikakis, I., Zhang, P., Mattson, M. P., & Gorospe, M. (2016). The long and the short of TRF2 in neurogenesis. Cell cycle (Georgetown, Tex.), 15(22), 3026-3032. PMID: 27565210

2. Li, F., Kim, H., Ji, Z., Zhang, T., Chen, B., Ge, Y., Hu, Y., Feng, X., Han, X., Xu, H., Zhang, Y., Yu, H., Liu, D., Ma, W., & Songyang, Z. (2018). The BUB3-BUB1 Complex Promotes Telomere DNA Replication. Molecular cell, 70(3), 395-407. PMID: 29727616

3. Ancelin, K., Brunori, M., Bauwens, S., Koering, C. E., Brun, C., Ricoul, M., Pommier, J. P., Sabatier, L., & Gilson, E. (2002). Targeting assay to study the cis functions of human telomeric proteins: evidence for inhibition of telomerase by TRF1 and for activation of telomere degradation by TRF2. Molecular and cellular biology, 22(10), 3474-3487. PMID: 11971978

4. Machwe A, Xiao L, & Orren DK. (2004) TRF2 recruits the Werner syndrome (WRN) exonuclease for processing of telomeric DNA. Oncogene. 23(1):149-56. PMID: 14712220.

5. Diotti, R., & Loayza, D. (2011). Shelterin complex and associated factors at human telomeres. Nucleus (Austin, Tex.), 2(2), 119-135. PMID: 21738835

Long Name

Telomeric Repeat Binding Factor 2

Alternate Names

TERF2, TRBF2, TRF2

Gene Symbol

TERF2

Additional TRF-2 Products

Product Documents for TRF-2 Antibody (JE37-57)

Certificate of Analysis

To download a Certificate of Analysis, please enter a lot number in the search box below.

Product Specific Notices for TRF-2 Antibody (JE37-57)

This product is for research use only and is not approved for use in humans or in clinical diagnosis. Primary Antibodies are guaranteed for 1 year from date of receipt.

Loading...
Loading...
Loading...
Loading...
Loading...