Skip to main content

TREX1 Antibody (41M5F2) - BSA Free

Novus Biologicals, part of Bio-Techne | Catalog # NBP2-22394

Novus Biologicals, part of Bio-Techne
Catalog #
Availability
Size / Price
Qty
Loading...
NBP2-22394
NBP2-22394SS

Key Product Details

Species Reactivity

Human

Applications

Immunohistochemistry, Immunohistochemistry-Paraffin, Western Blot, Flow Cytometry

Label

Unconjugated

Antibody Source

Monoclonal Mouse IgG2b Kappa Clone # 41M5F2

Format

BSA Free

Concentration

1.0 mg/ml

Product Specifications

Immunogen

Within the range of amino acids 211-350 of human TREX1 were used as immunogen for the antibody.

Clonality

Monoclonal

Host

Mouse

Isotype

IgG2b Kappa

Description

Novus Biologicals Mouse TREX1 Antibody (41M5F2) - BSA Free (NBP2-22394) is a monoclonal antibody validated for use in IHC, WB and Flow. All Novus Biologicals antibodies are covered by our 100% guarantee.

Scientific Data Images for TREX1 Antibody (41M5F2) - BSA Free

Western Blot: TREX1 Antibody (41M5F2) [NBP2-22394]

Western Blot: TREX1 Antibody (41M5F2) [NBP2-22394]

Western Blot: TREX1 Antibody (41M5F2) [NBP2-22394] - Analysis of A) TREX1 partial recombinant protein (0.2 ug/ml) and B) human heart tissue (2 ug/ml) using TREX1 antibody.
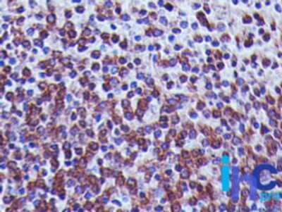
Immunohistochemistry-Paraffin: TREX1 Antibody (41M5F2) [NBP2-22394]

Immunohistochemistry-Paraffin: TREX1 Antibody (41M5F2) [NBP2-22394]

Immunohistochemistry-Paraffin: TREX1 Antibody (41M5F2) [NBP2-22394] - Human spleen stained with TREX1 antibody (5 ug/ml), peroxidase-conjugate and DAB chromogen.
Flow Cytometry: TREX1 Antibody (41M5F2) [NBP2-22394]

Flow Cytometry: TREX1 Antibody (41M5F2) [NBP2-22394]

Flow Cytometry: TREX1 Antibody (41M5F2) [NBP2-22394] - An intracellular stain was performed on HeLa cells with TREX1 [41M5F2] Antibody NBP2-22394AF700 (blue) and a matched isotype control (orange). Cells were fixed with 4% PFA and then permeabilized with 0.1% saponin. Cells were incubated in an antibody dilution of 5 ug/mL for 30 minutes at room temperature. Both antibodies were conjugated to Alexa Fluor 700.

Applications for TREX1 Antibody (41M5F2) - BSA Free

Application
Recommended Usage

Flow Cytometry

2-5 ug/million cells/ml

Immunohistochemistry

1:10-1:500

Immunohistochemistry-Paraffin

5 ug/ml

Western Blot

2-5 ug/ml
Application Notes
There are numerous isoforms of TREX1. Researchers are encouraged to use an online tool like NCBI's BLAST to determine if the antibody is suitable for use in their testing. Staining of formalin-fixed tissues is enhanced by boiling tissue sections in 10 mM sodium citrate buffer, pH 6.0 for 10-20 min followed by cooling at RT for 20 min.

Formulation, Preparation, and Storage

Purification

Protein G purified

Formulation

PBS

Format

BSA Free

Preservative

0.05% Sodium Azide

Concentration

1.0 mg/ml

Shipping

The product is shipped with polar packs. Upon receipt, store it immediately at the temperature recommended below.

Stability & Storage

Store at 4C short term. Aliquot and store at -20C long term. Avoid freeze-thaw cycles.

Background: TREX1

TREX1 encodes the major 3'->5' DNA exonuclease in human cells. The protein is a non-processive exonuclease that may serve a proofreading function for a human DNA polymerase. It is also a component of the SET complex, and acts to rapidly degrade 3' ends of nicked DNA during granzyme A-mediated cell death. Mutations in this gene result in Aicardi-Goutieres syndrome, chilblain lupus, and Cree encephalitis. Multiple transcript variants encoding different isoforms have been found for this gene. [provided by RefSeq]

Alternate Names

3'-5' exonuclease TREX1, AGS1, Aicardi-Goutieres syndrome 1, CRV, DKFZp434J0310, DNase III, DRN3, EC 3.1.11.2, HERNS, three prime repair exonuclease 1,3' repair exonuclease 1

Gene Symbol

TREX1

Additional TREX1 Products

Product Documents for TREX1 Antibody (41M5F2) - BSA Free

Certificate of Analysis

To download a Certificate of Analysis, please enter a lot number in the search box below.

Product Specific Notices for TREX1 Antibody (41M5F2) - BSA Free

This product is for research use only and is not approved for use in humans or in clinical diagnosis. Primary Antibodies are guaranteed for 1 year from date of receipt.

Loading...
Loading...
Loading...
Loading...
Loading...