Skip to main content

TRBP Antibody - BSA Free

Novus Biologicals, part of Bio-Techne | Catalog # NBP3-38439

Novus Biologicals, part of Bio-Techne
Catalog #
Availability
Size / Price
Qty
Loading...
NBP3-38439-20ul
NBP3-38439-100ul

Key Product Details

Species Reactivity

Human, Mouse

Applications

Immunohistochemistry, Immunohistochemistry-Paraffin, Western Blot, ELISA, Immunocytochemistry/ Immunofluorescence

Label

Unconjugated

Antibody Source

Polyclonal Rabbit IgG

Format

BSA Free

Concentration

Please see the vial label for concentration. If unlisted please contact technical services.

Product Specifications

Immunogen

Recombinant fusion protein containing a sequence corresponding to amino acids 1-366 of human TRBP (NP_599150.1).

Sequence:
MSEEEQGSGTTTGCGLPSIEQMLAANPGKTPISLLQEYGTRIGKTPVYDLLKAEGQAHQPNFTFRVTVGDTSCTGQGPSKKAAKHKAAEVALKHLKGGSMLEPALEDSSSFSPLDSSLPEDIPVFTAAAAATPVPSVVLTRSPPMELQPPVSPQQSECNPVGALQELVVQKGWRLPEYTVTQESGPAHRKEFTMTCRVERFIEIGSGTSKKLAKRNAAAKMLLRVHTVPLDARDGNEVEPDDDHFSIGVGSRLDGLRNRGPGCTWDSLRNSVGEKILSLRSCSLGSLGALGPACCRVLSELSEEQAFHVSYLDIEELSLSGLCQCLVELSTQPATVCHGSATTREAARGEAARRALQYLKIMAGSK

Clonality

Polyclonal

Host

Rabbit

Isotype

IgG

Theoretical MW

39 kDa.
Disclaimer note: The observed molecular weight of the protein may vary from the listed predicted molecular weight due to post translational modifications, post translation cleavages, relative charges, and other experimental factors.

Description

Novus Biologicals Rabbit TRBP Antibody - BSA Free (NBP3-38439) is a polyclonal antibody validated for use in IHC, WB, ELISA and ICC/IF. All Novus Biologicals antibodies are covered by our 100% guarantee.

Scientific Data Images for TRBP Antibody - BSA Free

TRBP Antibody

Immunocytochemistry/ Immunofluorescence: TRBP Antibody [NBP3-38439] -

Immunocytochemistry/ Immunofluorescence: TRBP Antibody [NBP3-38439] - Immunofluorescence analysis of A549 cells using TRBP Rabbit pAb.Secondary antibody: Cy3-conjugated Goat anti-Rabbit IgG (H+L) at 1:500 dilution.
TRBP Antibody

Immunohistochemistry: TRBP Antibody [NBP3-38439] -

Immunohistochemistry: TRBP Antibody [NBP3-38439] - Immunohistochemistry analysis of paraffin-embedded Human thyroid cancer using TRBP Rabbit pAb at dilution of 1:200 (40x lens). High pressure antigen retrieval performed with 0.01M Citrate Bufferr (pH 6.0) prior to IHC staining.
TRBP Antibody

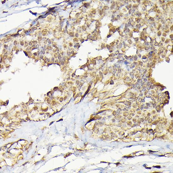
Immunohistochemistry: TRBP Antibody [NBP3-38439] -

Immunohistochemistry: TRBP Antibody [NBP3-38439] - Immunohistochemistry analysis of paraffin-embedded Human breast cancer using TRBP Rabbit pAb at dilution of 1:200 (40x lens). High pressure antigen retrieval performed with 0.01M Citrate Bufferr (pH 6.0) prior to IHC staining.

Applications for TRBP Antibody - BSA Free

Application
Recommended Usage

Immunocytochemistry/ Immunofluorescence

1:50 - 1:200

Immunohistochemistry-Paraffin

1:50 - 1:200

Western Blot

1:500 - 1:2000

Formulation, Preparation, and Storage

Purification

Affinity purified

Formulation

PBS (pH 7.3), 50% glycerol

Format

BSA Free

Preservative

0.02% Sodium Azide

Concentration

Please see the vial label for concentration. If unlisted please contact technical services.

Shipping

The product is shipped with polar packs. Upon receipt, store it immediately at the temperature recommended below.

Stability & Storage

Store at -20C. Avoid freeze-thaw cycles.

Background: TRBP

HIV-1, the causative agent of acquired immunodeficiency syndrome (AIDS), contains an RNA genome that produces a chromosomally integrated DNA during the replicative cycle. Activation of HIV-1 gene expression by the transactivator Tat is dependent on an RNA regulatory element (TAR) located downstream of the transcription initiation site. The protein encoded by this gene binds between the bulge and the loop of the HIV-1 TAR RNA regulatory element and activates HIV-1 gene expression in synergy with the viral Tat protein. Alternative splicing results in multiple transcript variants encoding different isoforms. This gene also has a pseudogene.

Alternate Names

LOQS, RISC-loading complex subunit TARBP2, TAR (HIV) RNA binding protein 2, TAR (HIV) RNA-binding protein 2, TAR (HIV) RNA-binding protein TRBP1, TAR (HIV-1) RNA binding protein 2, TAR RNA binding protein 2, TAR RNA-binding protein 2, trans-activation responsive RNA-binding protein, Trans-activation-responsive RNA-binding protein, TRBP, TRBP1, TRBP2

Gene Symbol

TARBP2

Additional TRBP Products

Product Documents for TRBP Antibody - BSA Free

Certificate of Analysis

To download a Certificate of Analysis, please enter a lot number in the search box below.

Product Specific Notices for TRBP Antibody - BSA Free

This product is for research use only and is not approved for use in humans or in clinical diagnosis. Primary Antibodies are guaranteed for 1 year from date of receipt.

Loading...
Loading...
Loading...
Loading...