Skip to main content

TRBP Antibody - BSA Free

Novus Biologicals, part of Bio-Techne | Catalog # NBP2-98056

Novus Biologicals, part of Bio-Techne

Key Product Details

Species Reactivity

Human

Applications

Immunohistochemistry-Paraffin

Label

Unconjugated

Antibody Source

Polyclonal Rabbit IgG

Format

BSA Free

Concentration

Please see the vial label for concentration. If unlisted please contact technical services.

Product Specifications

Immunogen

Produced in rabbits immunized with E. coli-derived Human TRBP fragment.

Clonality

Polyclonal

Host

Rabbit

Isotype

IgG

Description

This antibody can be stored at 2C to 8C for one month without detectable loss of activity. Antibody products are stable for twelve months from date of receipt when stored at -20C to -80C. Avoid repeated freeze-thaw cycles.

Scientific Data Images for TRBP Antibody - BSA Free

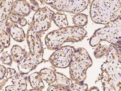
Immunohistochemistry-Paraffin: TRBP Antibody [NBP2-98056]

Immunohistochemistry-Paraffin: TRBP Antibody [NBP2-98056]

Immunohistochemistry-Paraffin: TRBP Antibody [NBP2-98056] - Immunochemical staining of human TRBP in human placenta with rabbit polyclonal antibody at 1:500 dilution, formalin-fixed paraffin embedded sections.
Immunohistochemistry-Paraffin: TRBP Antibody [NBP2-98056]

Immunohistochemistry-Paraffin: TRBP Antibody [NBP2-98056]

Immunohistochemistry-Paraffin: TRBP Antibody [NBP2-98056] - Immunochemical staining of human TRBP in human brain with rabbit polyclonal antibody at 1:500 dilution, formalin-fixed paraffin embedded sections.

Applications for TRBP Antibody - BSA Free

Application
Recommended Usage

Immunohistochemistry-Paraffin

1:200-1:1000

Formulation, Preparation, and Storage

Purification

Antigen and protein A Affinity-purified

Formulation

PBS

Format

BSA Free

Preservative

0.03% Proclin 300

Concentration

Please see the vial label for concentration. If unlisted please contact technical services.

Shipping

The product is shipped with polar packs. Upon receipt, store it immediately at the temperature recommended below.

Stability & Storage

Store at 4C short term. Aliquot and store at -20C long term. Avoid freeze-thaw cycles.

Background: TRBP

HIV-1, the causative agent of acquired immunodeficiency syndrome (AIDS), contains an RNA genome that produces a chromosomally integrated DNA during the replicative cycle. Activation of HIV-1 gene expression by the transactivator Tat is dependent on an RNA regulatory element (TAR) located downstream of the transcription initiation site. The protein encoded by this gene binds between the bulge and the loop of the HIV-1 TAR RNA regulatory element and activates HIV-1 gene expression in synergy with the viral Tat protein. Alternative splicing results in multiple transcript variants encoding different isoforms. This gene also has a pseudogene.

Alternate Names

LOQS, RISC-loading complex subunit TARBP2, TAR (HIV) RNA binding protein 2, TAR (HIV) RNA-binding protein 2, TAR (HIV) RNA-binding protein TRBP1, TAR (HIV-1) RNA binding protein 2, TAR RNA binding protein 2, TAR RNA-binding protein 2, trans-activation responsive RNA-binding protein, Trans-activation-responsive RNA-binding protein, TRBP, TRBP1, TRBP2

Gene Symbol

TARBP2

Additional TRBP Products

Product Documents for TRBP Antibody - BSA Free

Certificate of Analysis

To download a Certificate of Analysis, please enter a lot number in the search box below.

Product Specific Notices for TRBP Antibody - BSA Free

This product is for research use only and is not approved for use in humans or in clinical diagnosis. Primary Antibodies are guaranteed for 1 year from date of receipt.

Loading...
Loading...
Loading...
Loading...