Skip to main content

TRBP Antibody - BSA Free

Novus Biologicals, part of Bio-Techne | Catalog # NBP2-24725

Novus Biologicals, part of Bio-Techne
Catalog #
Availability
Size / Price
Qty
Loading...
NBP2-24725
NBP2-24725SS

Key Product Details

Species Reactivity

Validated:

Human, Equine, Primate

Cited:

Human

Predicted:

Canine (100%), Chicken (100%), Chimpanzee (100%), Monkey (100%), Mouse (100%), Opossum (100%), Orangutan (100%), Porcine (100%), Rat (100%), Rhesus Macaque (100%), Xenopus (100%), Zebrafish (100%). Backed by our 100% Guarantee.

Applications

Validated:

Immunohistochemistry, Immunohistochemistry-Paraffin, Western Blot

Cited:

Western Blot

Label

Unconjugated

Antibody Source

Polyclonal Rabbit IgG

Format

BSA Free

Concentration

1.0 mg/ml

Product Specifications

Immunogen

A portion of amino acids 340-366 of human TRBP was used as the immunogen.

Clonality

Polyclonal

Host

Rabbit

Isotype

IgG

Description

Novus Biologicals Rabbit TRBP Antibody - BSA Free (NBP2-24725) is a polyclonal antibody validated for use in IHC and WB. Anti-TRBP Antibody: Cited in 1 publication. All Novus Biologicals antibodies are covered by our 100% guarantee.

Scientific Data Images for TRBP Antibody - BSA Free

Western Blot: TRBP Antibody [NBP2-24725]

Western Blot: TRBP Antibody [NBP2-24725]

Western Blot: TRBP Antibody [NBP2-24725] - Analysis of TRBP in human brain lysate in the 1) absence, 2) presence of immunizing peptide using this antibody at 6 ug/ml.
Immunohistochemistry-Paraffin: TRBP Antibody [NBP2-24725]

Immunohistochemistry-Paraffin: TRBP Antibody [NBP2-24725]

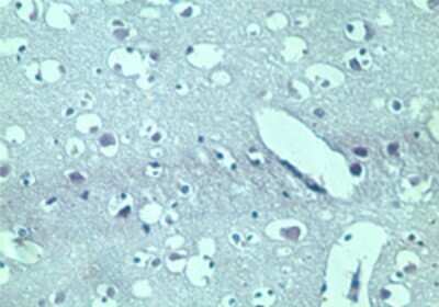
Immunohistochemistry-Paraffin: TRBP Antibody [NBP2-24725] - IHC staining of normal human brain using this antibody at 5 ug/ml.
Immunohistochemistry-Paraffin: TRBP Antibody [NBP2-24725]

Immunohistochemistry-Paraffin: TRBP Antibody [NBP2-24725]

Immunohistochemistry-Paraffin: TRBP Antibody [NBP2-24725] - IHC staining of normal human brain using control (rabbit Ig) at 5 ug/ml.

Applications for TRBP Antibody - BSA Free

Application
Recommended Usage

Immunohistochemistry-Paraffin

5-10 ug/ml

Western Blot

5-8 ug/ml

Formulation, Preparation, and Storage

Purification

Protein G purified

Formulation

PBS

Format

BSA Free

Preservative

0.05% Sodium Azide

Concentration

1.0 mg/ml

Shipping

The product is shipped with polar packs. Upon receipt, store it immediately at the temperature recommended below.

Stability & Storage

Store at 4C short term. Aliquot and store at -20C long term. Avoid freeze-thaw cycles.

Background: TRBP

HIV-1, the causative agent of acquired immunodeficiency syndrome (AIDS), contains an RNA genome that produces a chromosomally integrated DNA during the replicative cycle. Activation of HIV-1 gene expression by the transactivator Tat is dependent on an RNA regulatory element (TAR) located downstream of the transcription initiation site. The protein encoded by this gene binds between the bulge and the loop of the HIV-1 TAR RNA regulatory element and activates HIV-1 gene expression in synergy with the viral Tat protein. Alternative splicing results in multiple transcript variants encoding different isoforms. This gene also has a pseudogene.

Alternate Names

LOQS, RISC-loading complex subunit TARBP2, TAR (HIV) RNA binding protein 2, TAR (HIV) RNA-binding protein 2, TAR (HIV) RNA-binding protein TRBP1, TAR (HIV-1) RNA binding protein 2, TAR RNA binding protein 2, TAR RNA-binding protein 2, trans-activation responsive RNA-binding protein, Trans-activation-responsive RNA-binding protein, TRBP, TRBP1, TRBP2

Gene Symbol

TARBP2

UniProt

Additional TRBP Products

Product Documents for TRBP Antibody - BSA Free

Certificate of Analysis

To download a Certificate of Analysis, please enter a lot number in the search box below.

Product Specific Notices for TRBP Antibody - BSA Free

This product is for research use only and is not approved for use in humans or in clinical diagnosis. Primary Antibodies are guaranteed for 1 year from date of receipt.

Loading...
Loading...
Loading...
Loading...