Skip to main content

TRBP Antibody (JE34-99)

Novus Biologicals, part of Bio-Techne | Catalog # NBP3-33046

Recombinant Monoclonal Antibody
Novus Biologicals, part of Bio-Techne
Catalog #
Availability
Size / Price
Qty
Loading...
NBP3-33046

Key Product Details

Species Reactivity

Human, Mouse, Rat

Applications

Flow Cytometry, Immunocytochemistry/ Immunofluorescence, Immunohistochemistry, Immunohistochemistry-Paraffin, Western Blot

Label

Unconjugated

Antibody Source

Recombinant Monoclonal Rabbit IgG Clone # JE34-99 expressed in HEK293

Concentration

1 mg/ml

Product Specifications

Immunogen

Recombinant protein within Human TRBP aa 201-300 / 366. (Uniprot: Q15633)

Localization

Cytoplasm. Nucleus.

Clonality

Monoclonal

Host

Rabbit

Isotype

IgG

Theoretical MW

39 kDa.
Disclaimer note: The observed molecular weight of the protein may vary from the listed predicted molecular weight due to post translational modifications, post translation cleavages, relative charges, and other experimental factors.

Description

Novus Biologicals Rabbit TRBP Antibody (JE34-99) (NBP3-33046) is a recombinant monoclonal antibody validated for use in IHC, WB, Flow and ICC/IF. All Novus Biologicals antibodies are covered by our 100% guarantee.

Scientific Data Images for TRBP Antibody (JE34-99)

TRBP Antibody (JE34-99)

Western Blot: TRBP Antibody (JE34-99) [NBP3-33046]

Western Blot: TRBP Antibody (JE34-99) [NBP3-33046] - Western blot analysis of TRBP on different lysates with Rabbit anti-TRBP antibody (NBP3-33046) at 1/1,000 dilution.

Lane 1: HeLa cell lysate
Lane 2: MCF7 cell lysate
Lane 3: HepG2 cell lysate
Lane 4: HEK-293 cell lysate
Lane 5: A549 cell lysate
Lane 6: Mouse testis tissue lysate

Cell lysates/proteins at 15 ug/Lane.
Tissue lysates/proteins at 30 ug/Lane.

Predicted band size: 39kDa
Observed band size: 39 kDa

Exposure time: 3 minutes 10 seconds;

4-20% SDS-PAGE gel.

Proteins were transferred to a PVDF membrane and blocked with 5% NFDM/TBST for 1 hour at room temperature. The primary antibody (NBP3-33046) at 1/1,000 dilution was used in 5% NFDM/TBST at 4C overnight. Goat Anti-Rabbit IgG - HRP Secondary Antibody at 1/50,000 dilution was used for 1 hour at room temperature.
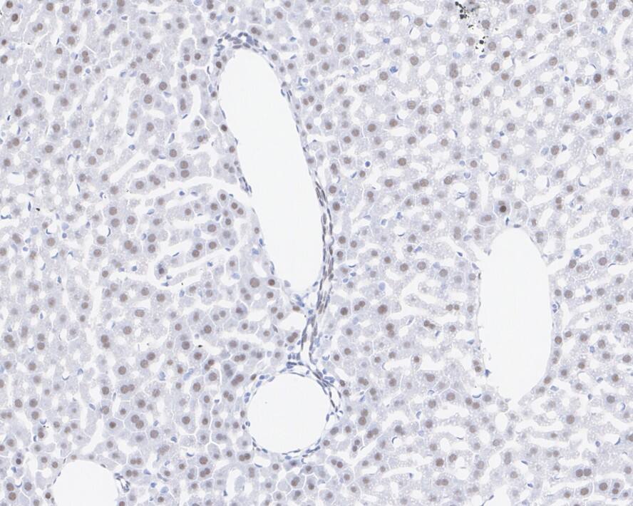
TRBP Antibody (JE34-99)

Immunohistochemistry: TRBP Antibody (JE34-99) [NBP3-33046]

Immunohistochemistry: TRBP Antibody (JE34-99) [NBP3-33046] - Immunohistochemical analysis of paraffin-embedded mouse liver tissue with Rabbit anti-TRBP antibody (NBP3-33046) at 1/2,000 dilution.

The section was pre-treated using heat mediated antigen retrieval with sodium citrate buffer (pH 6.0) for 2 minutes. The tissues were blocked in 1% BSA for 20 minutes at room temperature, washed with ddH2O and PBS, and then probed with the primary antibody (NBP3-33046) at 1/2,000 dilution for 1 hour at room temperature. The detection was performed using an HRP conjugated compact polymer system. DAB was used as the chromogen. Tissues were counterstained with hematoxylin and mounted with DPX.
TRBP Antibody (JE34-99)

Immunocytochemistry/ Immunofluorescence: TRBP Antibody (JE34-99) [NBP3-33046]

Immunocytochemistry/ Immunofluorescence: TRBP Antibody (JE34-99) [NBP3-33046] - Immunocytochemistry analysis of MCF7 cells labeling TRBP with Rabbit anti-TRBP antibody (NBP3-33046) at 1/100 dilution.

Cells were fixed in 4% paraformaldehyde for 20 minutes at room temperature, permeabilized with 0.1% Triton X-100 in PBS for 5 minutes at room temperature, then blocked with 1% BSA in 10% negative goat serum for 1 hour at room temperature. Cells were then incubated with Rabbit anti-TRBP antibody (NBP3-33046) at 1/100 dilution in 1% BSA in PBST overnight at 4 ℃. Goat Anti-Rabbit IgG H&L (iFluor™ 488) was used as the secondary antibody at 1/1,000 dilution. PBS instead of the primary antibody was used as the secondary antibody only control. Nuclear DNA was labelled in blue with DAPI.

Beta tubulin (red) was stained at 1/100 dilution overnight at +4℃. Goat Anti-Mouse IgG H&L (iFluor™ 594) was used as the secondary antibody at 1/1,000 dilution.

Applications for TRBP Antibody (JE34-99)

Application
Recommended Usage

Flow Cytometry

1:1000

Immunocytochemistry/ Immunofluorescence

1:100

Immunohistochemistry-Paraffin

1:500-1:2000

Western Blot

1:1000

Formulation, Preparation, and Storage

Purification

Protein A purified

Formulation

1*TBS (pH7.4), 0.05% BSA and 40% Glycerol

Preservative

0.05% Sodium Azide

Concentration

1 mg/ml

Shipping

The product is shipped with polar packs. Upon receipt, store it immediately at the temperature recommended below.

Stability & Storage

Store at 4C short term. Aliquot and store at -20C long term. Avoid freeze-thaw cycles.

Background: TRBP

HIV-1, the causative agent of acquired immunodeficiency syndrome (AIDS), contains an RNA genome that produces a chromosomally integrated DNA during the replicative cycle. Activation of HIV-1 gene expression by the transactivator Tat is dependent on an RNA regulatory element (TAR) located downstream of the transcription initiation site. The protein encoded by this gene binds between the bulge and the loop of the HIV-1 TAR RNA regulatory element and activates HIV-1 gene expression in synergy with the viral Tat protein. Alternative splicing results in multiple transcript variants encoding different isoforms. This gene also has a pseudogene.

Alternate Names

LOQS, RISC-loading complex subunit TARBP2, TAR (HIV) RNA binding protein 2, TAR (HIV) RNA-binding protein 2, TAR (HIV) RNA-binding protein TRBP1, TAR (HIV-1) RNA binding protein 2, TAR RNA binding protein 2, TAR RNA-binding protein 2, trans-activation responsive RNA-binding protein, Trans-activation-responsive RNA-binding protein, TRBP, TRBP1, TRBP2

Gene Symbol

TARBP2

Additional TRBP Products

Product Documents for TRBP Antibody (JE34-99)

Certificate of Analysis

To download a Certificate of Analysis, please enter a lot number in the search box below.

Product Specific Notices for TRBP Antibody (JE34-99)

This product is for research use only and is not approved for use in humans or in clinical diagnosis. Primary Antibodies are guaranteed for 1 year from date of receipt.

Loading...
Loading...
Loading...
Loading...
Loading...