Skip to main content

TRAPPC3 Antibody - BSA Free

Novus Biologicals, part of Bio-Techne | Catalog # NBP3-45740

Novus Biologicals, part of Bio-Techne
Catalog #
Availability
Size / Price
Qty
Loading...
NBP3-45740

Key Product Details

Species Reactivity

Human, Mouse

Applications

Immunohistochemistry, Western Blot, ELISA, Immunocytochemistry/ Immunofluorescence, Immunoprecipitation

Label

Unconjugated

Antibody Source

Polyclonal Rabbit IgG

Format

BSA Free

Concentration

Please see the vial label for concentration. If unlisted please contact technical services.

Product Specifications

Immunogen

trafficking protein particle complex 3. (Uniprot# O43617)

Clonality

Polyclonal

Host

Rabbit

Isotype

IgG

Description

Novus Biologicals Rabbit TRAPPC3 Antibody - BSA Free (NBP3-45740) is a polyclonal antibody validated for use in IHC, WB, ELISA, ICC/IF and IP. All Novus Biologicals antibodies are covered by our 100% guarantee.

Scientific Data Images for TRAPPC3 Antibody - BSA Free

TRAPPC3 Antibody - BSA Free

Immunoprecipitation: TRAPPC3 Antibody - BSA Free [NBP3-45740] -

Immunoprecipitation: TRAPPC3 Antibody - BSA Free [NBP3-45740] - IP Result of anti-TRAPPC3 (IP:, 3ug; Detection: 1:800) with mouse liver tissue lysate 4000ug.
TRAPPC3 Antibody - BSA Free

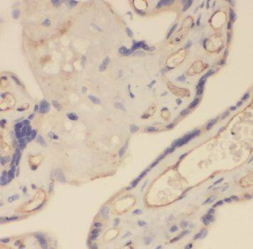
Immunohistochemistry: TRAPPC3 Antibody - BSA Free [NBP3-45740] -

Immunohistochemistry: TRAPPC3 Antibody - BSA Free [NBP3-45740] - Immunohistochemistry of paraffin-embedded human placenta using (TRAPPC3 antibody) at dilution of 1:100
TRAPPC3 Antibody - BSA Free

Western Blot: TRAPPC3 Antibody - BSA Free [NBP3-45740] -

Western Blot: TRAPPC3 Antibody - BSA Free [NBP3-45740] - Mouse liver tissue were subjected to SDS PAGE followed by western blot with (TRAPPC3 antibody) at dilution of 1:800

Applications for TRAPPC3 Antibody - BSA Free

Application
Recommended Usage

Immunocytochemistry/ Immunofluorescence

1:10-1:100

Immunohistochemistry

1:20-1:200

Immunoprecipitation

1:200-1:2000

Western Blot

1:200-1:2000
Application Notes
Theoretical Molecular Weight is 20 kDa, 30 kDa

Formulation, Preparation, and Storage

Purification

Immunogen affinity purified

Formulation

PBS, 50% Glycerol, pH (7.3)

Format

BSA Free

Preservative

0.02% Sodium Azide

Concentration

Please see the vial label for concentration. If unlisted please contact technical services.

Shipping

The product is shipped with polar packs. Upon receipt, store it immediately at the temperature recommended below.

Stability & Storage

Store at -20C. Avoid freeze-thaw cycles.

Background: TRAPPC3

TRAPPC3 is a component of the TRAPP complex, which is involved in tethering of transport vesicles to the cis-Golgi membrane. It may play a role in vesicular transport from endoplasmic reticulum to Golgi.

Alternate Names

1110058K12Rik, BET3BET3 homolog, trafficking protein particle complex 3, trafficking protein particle complex subunit 3,1110058K12Rik

Gene Symbol

TRAPPC3

Additional TRAPPC3 Products

Product Documents for TRAPPC3 Antibody - BSA Free

Certificate of Analysis

To download a Certificate of Analysis, please enter a lot number in the search box below.

Product Specific Notices for TRAPPC3 Antibody - BSA Free

This product is for research use only and is not approved for use in humans or in clinical diagnosis. Primary Antibodies are guaranteed for 1 year from date of receipt.

Loading...
Loading...
Loading...
Loading...