Skip to main content

TRAPPC3 Antibody - BSA Free

Novus Biologicals, part of Bio-Techne | Catalog # NBP1-88664

Novus Biologicals, part of Bio-Techne
Catalog #
Availability
Size / Price
Qty
Loading...
NBP1-88664

Key Product Details

Species Reactivity

Validated:

Human

Predicted:

Mouse (98%), Rat (98%). Backed by our 100% Guarantee.

Applications

Immunocytochemistry/ Immunofluorescence, Immunohistochemistry, Immunohistochemistry-Paraffin, Western Blot

Label

Unconjugated

Antibody Source

Polyclonal Rabbit IgG

Format

BSA Free

Concentration

Concentrations vary lot to lot. See vial label for concentration. If unlisted please contact technical services.

Product Specifications

Immunogen

This antibody was developed against Recombinant Protein corresponding to amino acids: PDNHSSLIYSNLLCGVLRGALEMVQMAVEAKFVQDTLKGDGVTEIRMRFIRRIEDNLPAGE

Clonality

Polyclonal

Host

Rabbit

Isotype

IgG

Description

Novus Biologicals Rabbit TRAPPC3 Antibody - BSA Free (NBP1-88664) is a polyclonal antibody validated for use in IHC, WB and ICC/IF. All Novus Biologicals antibodies are covered by our 100% guarantee.

Scientific Data Images for TRAPPC3 Antibody - BSA Free

Western Blot: TRAPPC3 Antibody [NBP1-88664]

Western Blot: TRAPPC3 Antibody [NBP1-88664]

Western Blot: TRAPPC3 Antibody [NBP1-88664] - Analysis in control (vector only transfected HEK293T lysate) and TRAPPC3 over-expression lysate (Co-expressed with a C-terminal myc-DDK tag (3.1 kDa) in mammalian HEK293T cells).
Immunocytochemistry/ Immunofluorescence: TRAPPC3 Antibody [NBP1-88664]

Immunocytochemistry/ Immunofluorescence: TRAPPC3 Antibody [NBP1-88664]

Immunocytochemistry/Immunofluorescence: TRAPPC3 Antibody [NBP1-88664] - Immunofluorescent staining of human cell line A-431 shows localization to cytosol & the Golgi apparatus.
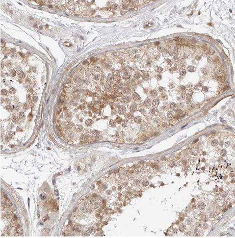
TRAPPC3 Antibody-INBP1-88664-IHC-P

TRAPPC3 Antibody-INBP1-88664-IHC-P-Staining of human testis shows moderate granular cytoplasmic positivity in cells in seminiferous ducts.

TRAPPC3 Antibody-INBP1-88664-IHC-P-Staining of human testis shows moderate granular cytoplasmic positivity in cells in seminiferous ducts.

Applications for TRAPPC3 Antibody - BSA Free

Application
Recommended Usage

Immunocytochemistry/ Immunofluorescence

0.25-2 ug/ml

Immunohistochemistry

1:50 - 1:200

Immunohistochemistry-Paraffin

1:50-1:200

Western Blot

0.04-0.4 ug/ml
Application Notes
For IHC-Paraffin, HIER pH 6 retrieval is recommended. ICC/IF, Fixation Permeabilization: Use PFA/Triton X-100.

Formulation, Preparation, and Storage

Purification

Immunogen affinity purified

Formulation

PBS (pH 7.2) and 40% Glycerol

Format

BSA Free

Preservative

0.02% Sodium Azide

Concentration

Concentrations vary lot to lot. See vial label for concentration. If unlisted please contact technical services.

Shipping

The product is shipped with polar packs. Upon receipt, store it immediately at the temperature recommended below.

Stability & Storage

Store at 4C short term. Aliquot and store at -20C long term. Avoid freeze-thaw cycles.

Background: TRAPPC3

TRAPPC3 is a component of the TRAPP complex, which is involved in tethering of transport vesicles to the cis-Golgi membrane. It may play a role in vesicular transport from endoplasmic reticulum to Golgi.

Alternate Names

1110058K12Rik, BET3BET3 homolog, trafficking protein particle complex 3, trafficking protein particle complex subunit 3,1110058K12Rik

Gene Symbol

TRAPPC3

Additional TRAPPC3 Products

Product Documents for TRAPPC3 Antibody - BSA Free

Certificate of Analysis

To download a Certificate of Analysis, please enter a lot number in the search box below.

Product Specific Notices for TRAPPC3 Antibody - BSA Free

This product is for research use only and is not approved for use in humans or in clinical diagnosis. Primary Antibodies are guaranteed for 1 year from date of receipt.

Loading...
Loading...
Loading...
Loading...