Skip to main content

Transportin 1 Antibody (D45) - BSA Free

Novus Biologicals, part of Bio-Techne | Catalog # NB600-1397

Novus Biologicals, part of Bio-Techne
Catalog #
Availability
Size / Price
Qty
Loading...
NB600-1397
NB600-1397SS

Key Product Details

Species Reactivity

Validated:

Human, Mouse, Bovine, Canine, Monkey, Rabbit

Cited:

Human, Mouse

Applications

Validated:

Immunohistochemistry, Immunohistochemistry-Paraffin, Western Blot, Flow Cytometry, Flow (Intracellular), Immunocytochemistry/ Immunofluorescence, Immunoprecipitation, Microarray, CyTOF-ready

Cited:

Immunohistochemistry-Paraffin, Western Blot, Immunocytochemistry/ Immunofluorescence, Immunoprecipitation

Label

Unconjugated

Antibody Source

Monoclonal Mouse IgG1 Clone # D45

Format

BSA Free

Concentration

1.0 mg/ml

Product Specifications

Immunogen

Human recombinant His-tagged Transportin 1. [UniProt# Q92973]

Reactivity Notes

Mouse reactivity reported in scientific literature (PMID: 15738418).

Localization

Cytoplasm. Nucleus.

Clonality

Monoclonal

Host

Mouse

Isotype

IgG1

Description

Novus Biologicals Mouse Transportin 1 Antibody (D45) - BSA Free (NB600-1397) is a monoclonal antibody validated for use in IHC, WB, Flow, ICC/IF and IP. Anti-Transportin 1 Antibody: Cited in 8 publications. All Novus Biologicals antibodies are covered by our 100% guarantee.

Scientific Data Images for Transportin 1 Antibody (D45) - BSA Free

Western Blot: Transportin 1 Antibody (D45)BSA Free [NB600-1397]

Western Blot: Transportin 1 Antibody (D45)BSA Free [NB600-1397]

Western Blot: Transportin 1 Antibody (D45) [NB600-1397] - Human lung cancer cell line usig lysates from HCC44 cell line. (N: Nuclear fraction, C: Cytoplasmic fraction). Image from verified customer review.
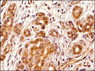
Immunohistochemistry-Paraffin: Transportin 1 Antibody (D45) - BSA Free [NB600-1397]

Immunohistochemistry-Paraffin: Transportin 1 Antibody (D45) - BSA Free [NB600-1397]

Immunohistochemistry-Paraffin: Transportin 1 Antibody (D45) [NB600-1397] - IHC analysis of a formalin fixed paraffin embedded tissue section of human pancreas using Transportin 1 antibody (clone D45) at 1:200 dilution. The antibody generated specific nuclear and cytoplasmic signal of Transportin 1 protein in the glandular cells while the connective tissue was largely negative.
Flow (Intracellular): Transportin 1 Antibody (D45) - BSA Free [NB600-1397]

Flow (Intracellular): Transportin 1 Antibody (D45) - BSA Free [NB600-1397]

Flow (Intracellular): Transportin 1 Antibody (D45) [NB600-1397] - HeLa cells were stained with Transportin 1 NB600-1397 (blue) and a matched isotype control NBP2-27287 (orange). Cells were fixed with 4% PFA and then permeablized with 0.1% saponin. Cells were incubated in an antibody dilution of 1 ug/mL for 30 minutes at room temperature, followed by Dylight488-conjugated anti-mouse secondary antibody.

Applications for Transportin 1 Antibody (D45) - BSA Free

Application
Recommended Usage

Immunocytochemistry/ Immunofluorescence

reported in scientific literature (PMID 9298975)

Immunohistochemistry

1:10-1:500

Immunohistochemistry-Paraffin

1:10-1:500. Use reported in scientific literature (PMID 24647604)

Immunoprecipitation

1:10-1:500

Western Blot

0.1-0.2 ug/ml
Application Notes
WB: Detects a band of approximately 93 kDa. The observed molecular weight of the protein may vary from the listed predicted molecular weight due to post translational modifications, post translation cleavages, relative charges, and other experimental factors. This antibody is CyTOF ready.

Reviewed Applications

Read 1 review rated 5 using NB600-1397 in the following applications:

Formulation, Preparation, and Storage

Purification

Protein G purified

Formulation

PBS

Format

BSA Free

Preservative

0.02% Sodium Azide

Concentration

1.0 mg/ml

Shipping

The product is shipped with polar packs. Upon receipt, store it immediately at the temperature recommended below.

Stability & Storage

Store at 4C short term. Aliquot and store at -20C long term. Avoid freeze-thaw cycles.

Background: Transportin 1

Heterogeneous nuclear ribonucleoprotein hnRNPA1 is an abundant nuclear protein that plays an important role in pre-mRNA processing and mRNA export from the nucleus. A1 shuttles rapidly between the nucleus and the cytoplasm, and a 38-amino acid domain, M9, serves as the bi-directional transport signal of A1. Recently, a 90-kD protein, transportin, was identified as the mediator of A1 nuclear import. Transportin mediates the nuclear import of additional hnRNP proteins, including hnRNPF. The nuclear localization of A1 is dependent on ongoing RNA polymerase II transcription.

Alternate Names

importin beta 2, Importin beta-2, IPO2, karyopherin (importin) beta 2, MIP1Karyopherin beta-2, MIPM9 region interaction protein, transportin 1, transportin-1, TRNKPNB2importin 2

Entrez Gene IDs

3842 (Human); 238799 (Mouse); 309126 (Rat)

Gene Symbol

TNPO1

UniProt

Additional Transportin 1 Products

Product Documents for Transportin 1 Antibody (D45) - BSA Free

Certificate of Analysis

To download a Certificate of Analysis, please enter a lot number in the search box below.

Product Specific Notices for Transportin 1 Antibody (D45) - BSA Free

This product is for research use only and is not approved for use in humans or in clinical diagnosis. Primary Antibodies are guaranteed for 1 year from date of receipt.

Loading...
Loading...
Loading...
Loading...
Loading...