Skip to main content

Transgelin/TAGLN/SM22 alpha Antibody

Novus Biologicals, part of Bio-Techne | Catalog # NB600-507

Novus Biologicals, part of Bio-Techne
Catalog #
Availability
Size / Price
Qty
Loading...
NB600-507

Key Product Details

Validated by

Knockout/Knockdown

Species Reactivity

Validated:

Human, Mouse, Rat

Cited:

Human, Mouse, Rat

Predicted:

Bovine (100%), Canine (100%). Backed by our 100% Guarantee.

Applications

Validated:

Immunohistochemistry, Immunohistochemistry-Paraffin, Western Blot, Peptide ELISA, Knockdown Validated

Cited:

Western Blot, IF/IHC, Knockdown Validated

Label

Unconjugated

Antibody Source

Polyclonal Goat IgG

Concentration

0.5 mg/ml

Product Specifications

Immunogen

Peptide with sequence C-MTGYGRPRQIIS corresponding to C-Terminus according to NP_003177.2.

Reactivity Notes

This antibody has been successfully used in Western blot in Rat (PMID: 27531064). Use in Mouse reported in scientific literature (PMID: 32134397).

Specificity

NP_003177.2 and NP_001001522.1 represent identical protein.The transgelin protein is found in fibroblasts and smooth muscle and is known as a transformation or shape change protein that is involved with actin cross-linking. Transgelin is one of the earliest markers of differentiated smooth muscle cells and recent evidence suggests that transgelin acts as a tumor suppressor.

Clonality

Polyclonal

Host

Goat

Isotype

IgG

Description

Novus Biologicals Goat Transgelin/TAGLN/SM22 alpha Antibody (NB600-507) is a polyclonal antibody validated for use in IHC, WB and ELISA. Anti-Transgelin/TAGLN/SM22 alpha Antibody: Cited in 25 publications. All Novus Biologicals antibodies are covered by our 100% guarantee.

Scientific Data Images for Transgelin/TAGLN/SM22 alpha Antibody

Western Blot: Transgelin/TAGLN/SM22 alpha Antibody [NB600-507]

Western Blot: Transgelin/TAGLN/SM22 alpha Antibody [NB600-507]

Western Blot: Transgelin/TAGLN/SM22 alpha Antibody [NB600-507] - Staining of Human Testes lysate (35 ug protein in RIPA buffer). Antibody at 0.3 ug/mL. Detected by chemiluminescence.
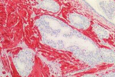
Immunohistochemistry-Paraffin: Transgelin/TAGLN/SM22 alpha Antibody [NB600-507]

Immunohistochemistry-Paraffin: Transgelin/TAGLN/SM22 alpha Antibody [NB600-507]

Immunohistochemistry-Paraffin: Transgelin/TAGLN/SM22 alpha Antibody [NB600-507] - Staining of paraffin embedded Human Prostate. Antibody at 2.5 ug/mL. Steamed antigen retrieval with citrate buffer pH 6, AP-staining.
Western Blot: Transgelin/TAGLN/SM22 alpha Antibody [NB600-507]

Western Blot: Transgelin/TAGLN/SM22 alpha Antibody [NB600-507]

Transgelin-TAGLN-SM22-alpha-Antibody-Western-Blot-NB600-507-img0002.jpg

Applications for Transgelin/TAGLN/SM22 alpha Antibody

Application
Recommended Usage

Immunohistochemistry-Paraffin

2.5 ug/mL

Peptide ELISA

1:4000

Western Blot

0.1 - 1 ug/mL
Application Notes
Use in Immunohistochemistry reported in scientific literature (PMID: 31965901). Knockdown validation (PMID: 32134397).

Reviewed Applications

Read 1 review rated 5 using NB600-507 in the following applications:

Formulation, Preparation, and Storage

Purification

Immunogen affinity purified

Formulation

Tris saline (20 mM Tris pH 7.3, 150 mM NaCl), 0.5% BSA

Preservative

0.02% Sodium Azide

Concentration

0.5 mg/ml

Shipping

The product is shipped with polar packs. Upon receipt, store it immediately at the temperature recommended below.

Stability & Storage

Store at -20C. Avoid freeze-thaw cycles.

Background: Transgelin/TAGLN

In contrast to fast and slow skeletal muscle cells that fuse and terminally differentiate, smooth muscle cells are able to simultaneously proliferate and express lineage-restricted proteins. One of these proteins, expressed exclusively in smooth muscles, has been referred to as SM22-alpha, a 22 kDa protein with structural similarity to the vertebrate thin filament myofibrillar regulatory protein calponin and the Drosophila muscle protein mp20, neither of which play a direct role in the contractile apparatus.The protein is a transformation and shape-change sensitive actin cross-linking/geling protein found in fibroblasts and smooth muscle. Its expression is down-regulated in many cell lines, and this down-regulation may be an early and sensitive marker for the onset of transformation. A functional role of this protein is unclear.

Alternate Names

SM22 alpha, TAGLN, WS3-10

Entrez Gene IDs

6876 (Human); 21345 (Mouse); 25123 (Rat)

Gene Symbol

TAGLN

Additional Transgelin/TAGLN Products

Product Documents for Transgelin/TAGLN/SM22 alpha Antibody

Certificate of Analysis

To download a Certificate of Analysis, please enter a lot number in the search box below.

Product Specific Notices for Transgelin/TAGLN/SM22 alpha Antibody

This product is for research use only and is not approved for use in humans or in clinical diagnosis. Primary Antibodies are guaranteed for 1 year from date of receipt.

Loading...
Loading...
Loading...
Loading...
Loading...