Skip to main content

Transgelin/TAGLN/SM22 alpha Antibody (TAGLN/247) - Azide and BSA Free

Novus Biologicals, part of Bio-Techne | Catalog # NBP2-47688

Novus Biologicals, part of Bio-Techne
Catalog #
Availability
Size / Price
Qty
Loading...
NBP2-47688-0.1mg

Key Product Details

Species Reactivity

Human, Mouse, Porcine, Bovine, Rabbit

Applications

Immunohistochemistry, Immunohistochemistry-Paraffin

Label

Unconjugated

Antibody Source

Monoclonal Mouse IgG1 kappa Clone # TAGLN/247

Format

Azide and BSA Free

Concentration

1.0 mg/ml

Product Specifications

Immunogen

Recombinant full-length human Transgelin/TAGLN/SM22 alpha protein. (Uniprot: Q01995)

Localization

Cytoplasmic

Specificity

This monoclonal antibody recognizes a 22kDa protein, identified as Transgelin, also designated SM22-alpha. It may cross-react with SM22-beta. Transgelin is expressed abundantly in smooth muscle cells. The human transgelin gene encodes a 201 amino acid protein that contains nuclear factor-binding motifs known to regulate transcription in smooth muscle. During embryogenesis, transgelin is expressed in smooth, cardiac and skeletal muscle, but is restricted during late fetal development and adulthood to all vascular and visceral smooth muscle cells and low levels of expression in heart. Transgelin is down regulated in several transformed cell lines, indicating that a reduction of transgelin expression may be an early indicator of the onset of transformation. Transgelin also binds Actin, causing Actin fibers to gel within minutes of binding. Binding of transgelin to Actin occurs at a ratio of 1:6 Actin monomers.

Clonality

Monoclonal

Host

Mouse

Isotype

IgG1 kappa

Theoretical MW

22 kDa.
Disclaimer note: The observed molecular weight of the protein may vary from the listed predicted molecular weight due to post translational modifications, post translation cleavages, relative charges, and other experimental factors.

Description

1.0 mg/ml of antibody purified from Bioreactor Concentrate by Protein A/G. Prepared in 10mM PBS WITHOUT BSA & azide. Also available at 200 ug/ml WITH BSA & azide (NBP2-44435).

Antibody with azide - store at 2 to 8C. Antibody without azide - store at -20 to -80C.

Scientific Data Images for Transgelin/TAGLN/SM22 alpha Antibody (TAGLN/247) - Azide and BSA Free

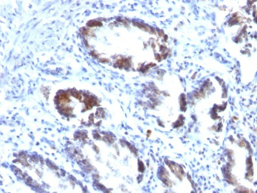
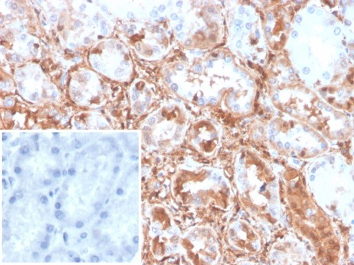
Immunohistochemistry-Paraffin: Transgelin/TAGLN/SM22 alpha Antibody (TAGLN/247) - Azide and BSA Free [NBP2-47688]

Immunohistochemistry-Paraffin: Transgelin/TAGLN/SM22 alpha Antibody (TAGLN/247) - Azide and BSA Free [NBP2-47688]

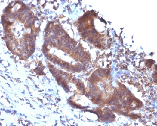
Immunohistochemistry-Paraffin: Transgelin/TAGLN/SM22 alpha Antibody (TAGLN/247) - Azide and BSA Free [NBP2-47688] - Human Colon Carcinoma stained with Transgelin Monoclonal Antibody (TAGLN/247)
Immunohistochemistry-Paraffin: Transgelin/TAGLN/SM22 alpha Antibody (TAGLN/247) - Azide and BSA Free [NBP2-47688]

Immunohistochemistry-Paraffin: Transgelin/TAGLN/SM22 alpha Antibody (TAGLN/247) - Azide and BSA Free [NBP2-47688]

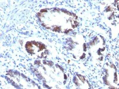
Immunohistochemistry-Paraffin: Transgelin/TAGLN/SM22 alpha Antibody (TAGLN/247) - Azide and BSA Free [NBP2-47688] - Human Colon Carcinoma stained with Transgelin Monoclonal Antibody (TAGLN/247)
Transgelin/TAGLN/SM22 alpha Antibody (TAGLN/247) - Azide and BSA Free

Transgelin/TAGLN/SM22 alpha Antibody (TAGLN/247)

Formalin-fixed, paraffin-embedded human colon carcinoma stained with Transgelin/TAGLN/SM22 alpha antibody (TAGLN/247).

Applications for Transgelin/TAGLN/SM22 alpha Antibody (TAGLN/247) - Azide and BSA Free

Application
Recommended Usage

Immunohistochemistry

Optimal dilutions of this antibody should be experimentally determined.

Immunohistochemistry-Paraffin

Optimal dilutions of this antibody should be experimentally determined.
Application Notes
Immunohistochemistry (Formalin-fixed): 1-2ug/ml for 30 minutes at RT. Staining of formalin-fixed tissues requires heating tissue sections in 10mM Tris with 1mM EDTA, pH 9.0, for 45 min at 95C followed by cooling at RT for 20 minutes.
Optimal dilution for a specific application should be determined.

Formulation, Preparation, and Storage

Purification

Protein A or G purified

Formulation

10 mM PBS

Format

Azide and BSA Free

Preservative

No Preservative

Concentration

1.0 mg/ml

Shipping

The product is shipped with polar packs. Upon receipt, store it immediately at the temperature recommended below.

Stability & Storage

Store at -20 to -80C. Avoid freeze-thaw cycles.

Background: Transgelin/TAGLN

In contrast to fast and slow skeletal muscle cells that fuse and terminally differentiate, smooth muscle cells are able to simultaneously proliferate and express lineage-restricted proteins. One of these proteins, expressed exclusively in smooth muscles, has been referred to as SM22-alpha, a 22 kDa protein with structural similarity to the vertebrate thin filament myofibrillar regulatory protein calponin and the Drosophila muscle protein mp20, neither of which play a direct role in the contractile apparatus.The protein is a transformation and shape-change sensitive actin cross-linking/geling protein found in fibroblasts and smooth muscle. Its expression is down-regulated in many cell lines, and this down-regulation may be an early and sensitive marker for the onset of transformation. A functional role of this protein is unclear.

Alternate Names

SM22 alpha, TAGLN, WS3-10

Gene Symbol

TAGLN

Additional Transgelin/TAGLN Products

Product Documents for Transgelin/TAGLN/SM22 alpha Antibody (TAGLN/247) - Azide and BSA Free

Certificate of Analysis

To download a Certificate of Analysis, please enter a lot number in the search box below.

Product Specific Notices for Transgelin/TAGLN/SM22 alpha Antibody (TAGLN/247) - Azide and BSA Free

This product is for research use only and is not approved for use in humans or in clinical diagnosis. Primary Antibodies are guaranteed for 1 year from date of receipt.

Loading...
Loading...
Loading...
Loading...