Skip to main content

Transgelin/TAGLN/SM22 alpha Antibody (OTI8C8)

Novus Biologicals, part of Bio-Techne | Catalog # NBP2-00894

Novus Biologicals, part of Bio-Techne
Catalog #
Availability
Size / Price
Qty
Loading...
NBP2-00894

Key Product Details

Species Reactivity

Human, Mouse, Rat

Applications

Immunohistochemistry, Immunohistochemistry-Paraffin, Western Blot, Immunocytochemistry/ Immunofluorescence

Label

Unconjugated

Antibody Source

Monoclonal Mouse IgG1 Clone # OTI8C8

Concentration

1 mg/ml

Product Specifications

Immunogen

Full length human reocombinant protein of human TAGLN(NP_003177) produced in HEK293T cell.

Reactivity Notes

Please note that this antibody is reactive to Mouse and derived from the same host, Mouse. Mouse-On-Mouse blocking reagent may be needed for IHC and ICC experiments to reduce high background signal. You can find these reagents under catalog numbers PK-2200-NB and MP-2400-NB. Please contact Technical Support if you have any questions.

Clonality

Monoclonal

Host

Mouse

Isotype

IgG1

Theoretical MW

22.4 kDa.
Disclaimer note: The observed molecular weight of the protein may vary from the listed predicted molecular weight due to post translational modifications, post translation cleavages, relative charges, and other experimental factors.

Description

Novus Biologicals Mouse Transgelin/TAGLN/SM22 alpha Antibody (OTI8C8) (NBP2-00894) is a monoclonal antibody validated for use in IHC, WB and ICC/IF. All Novus Biologicals antibodies are covered by our 100% guarantee.

Scientific Data Images for Transgelin/TAGLN/SM22 alpha Antibody (OTI8C8)

Western Blot: SM22 alpha Antibody (8C8) [NBP2-00894] Analysis of extracts (35ug) from 9 different cell lines by using anti-SM22 alpha monoclonal antibody.
Immunocytochemistry/ Immunofluorescence: Transgelin/TAGLN/SM22 alpha Antibody (OTI8C8) [NBP2-00894]

Immunocytochemistry/ Immunofluorescence: Transgelin/TAGLN/SM22 alpha Antibody (OTI8C8) [NBP2-00894]

Immunocytochemistry/Immunofluorescence: Transgelin/TAGLN/SM22 alpha Antibody (OTI8C8) [NBP2-00894] - Staining of COS7 cells transiently transfected by pCMV6-ENTRY
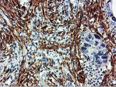
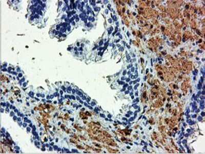
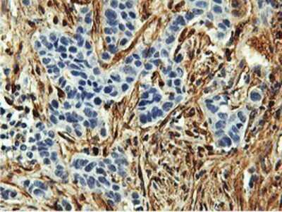
Immunohistochemistry-Paraffin: Transgelin/TAGLN/SM22 alpha Antibody (OTI8C8) [NBP2-00894]

Immunohistochemistry-Paraffin: Transgelin/TAGLN/SM22 alpha Antibody (OTI8C8) [NBP2-00894]

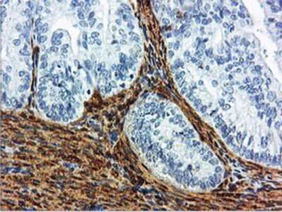
Immunohistochemistry-Paraffin: Transgelin/TAGLN/SM22 alpha Antibody (8C8) [NBP2-00894] - Staining of paraffin-embedded human breast cancer tissue using anti-TAGLN mouse monoclonal antibody. (Heat-induced epitope retrieval, Data courtesy of a collaborative pathologist.

Applications for Transgelin/TAGLN/SM22 alpha Antibody (OTI8C8)

Application
Recommended Usage

Immunocytochemistry/ Immunofluorescence

1:100

Immunohistochemistry

1:150

Immunohistochemistry-Paraffin

1:150

Western Blot

1:500-2000

Formulation, Preparation, and Storage

Purification

Immunogen affinity purified

Formulation

PBS (pH 7.3), 1.0% BSA and 50% Glycerol

Preservative

0.02% Sodium Azide

Concentration

1 mg/ml

Shipping

The product is shipped with polar packs. Upon receipt, store it immediately at the temperature recommended below.

Stability & Storage

Store at -20C. Avoid freeze-thaw cycles.

Background: Transgelin/TAGLN

The protein encoded by this gene is a transformation and shape-change sensitive actin cross-linking/gelling protein found in fibroblasts and smooth muscle. Its expression is down-regulated in many cell lines, and this down-regulation may be an early and sensitive marker for the onset of transformation. A functional role of this protein is unclear. Two transcript variants encoding the same protein have been found for this gene. [provided by RefSeq].

Alternate Names

SM22 alpha, TAGLN, WS3-10

Entrez Gene IDs

6876 (Human)

Gene Symbol

TAGLN

Additional Transgelin/TAGLN Products

Product Documents for Transgelin/TAGLN/SM22 alpha Antibody (OTI8C8)

Certificate of Analysis

To download a Certificate of Analysis, please enter a lot number in the search box below.

Product Specific Notices for Transgelin/TAGLN/SM22 alpha Antibody (OTI8C8)

This product is for research use only and is not approved for use in humans or in clinical diagnosis. Primary Antibodies are guaranteed for 1 year from date of receipt.

Loading...
Loading...
Loading...
Loading...