Skip to main content

Transcription factor E3 Antibody (TFE3/6849R)

Novus Biologicals, part of Bio-Techne | Catalog # NBP3-20547

Recombinant Monoclonal Antibody
Novus Biologicals, part of Bio-Techne
Catalog #
Availability
Size / Price
Qty
Loading...
NBP3-20547-100ug
NBP3-20547-20ug

Key Product Details

Species Reactivity

Human

Applications

Immunohistochemistry-Paraffin

Label

Unconjugated

Antibody Source

Recombinant Monoclonal Rabbit IgG Kappa Clone # TFE3/6849R

Concentration

0.2 mg/ml

Product Specifications

Immunogen

Recombinant full-length human Transcription factor E3 protein

Localization

Nucleus.

Clonality

Monoclonal

Host

Rabbit

Isotype

IgG Kappa

Description

Positive Controls: MiT family translocated renal cell carcinoma. Ubiquitous mainly nuclear expression.

Antibody with azide - store at 2 to 8C. Antibody without azide - store at -20 to -80C. Non-hazardous. No MSDS required.

Scientific Data Images for Transcription factor E3 Antibody (TFE3/6849R)

Transcription factor E3 Antibody (TFE3/6849R)

Transcription factor E3 Antibody (TFE3/6849R)

IHC analysis of formalin-fixed, paraffin-embedded human clear cell RCC. Negative tissue control using Transcription factor E3 antibody (TFE3/6849R) at 2ug/ml in PBS for 30min RT. HIER: Tris/EDTA, pH9.0, 45min. Secondary: HRP-polymer, 30min. DAB, 5min.
Transcription factor E3 Antibody (TFE3/6849R)

Transcription factor E3 Antibody (TFE3/6849R)

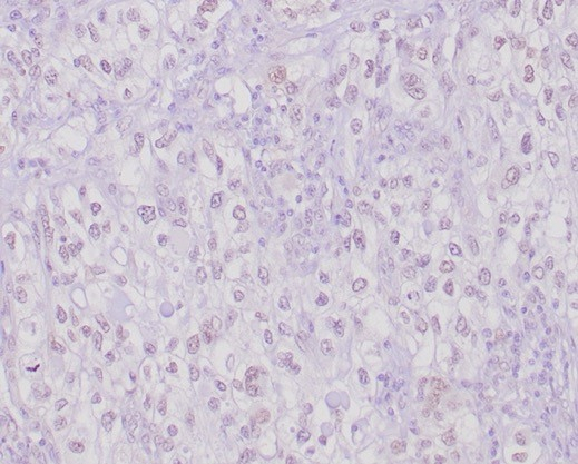
IHC analysis of formalin-fixed, paraffin-embedded human MiT translocation RCC. Nuclear staining using Transcription factor E3 antibody (TFE3/6849R) at 2ug/ml. HIER: Tris/EDTA, pH9.0, 45min. Secondary: HRP-polymer, 30min. DAB, 5min.
Transcription factor E3 Antibody (TFE3/6849R)

Transcription factor E3 Antibody (TFE3/6849R)

IHC analysis of formalin-fixed, paraffin-embedded human MiT translocation RCC. Nuclear staining using Transcription factor E3 antibody (TFE3/6849R) at 2ug/ml. HIER: Tris/EDTA, pH9.0, 45min. Secondary: HRP-polymer, 30min. DAB, 5min.

Applications for Transcription factor E3 Antibody (TFE3/6849R)

Application
Recommended Usage

Immunohistochemistry-Paraffin

1-2 ug/ml
Application Notes
Immunohistochemistry (Formalin-fixed): 1-2ug/ml for 30 minutes. at RT. Staining of formalin-fixed tissues requires heating tissue sections in 10mM Tris with 1mM EDTA, pH 9.0, for 45 min at 95C followed by cooling at RT for 20 minutes.

Optimal dilution for a specific application should be determined.

Formulation, Preparation, and Storage

Purification

Protein A or G purified

Formulation

10mM PBS with 0.05% BSA

Preservative

0.05% Sodium Azide

Concentration

0.2 mg/ml

Shipping

The product is shipped with polar packs. Upon receipt, store it immediately at the temperature recommended below.

Stability & Storage

Store at 4C. Do not freeze.

Background: Transcription factor E3

TFE3, a member of the helix-loop-helix family of transcription factors, binds to the mu-E3 motif of the immunoglobulin heavy-chain enhancer and is expressed in many cell types (Henthorn et al., 1991 [PubMed 1685140]).[supplied by OMIM]

Alternate Names

BHLHE33, bHLHe33transcription factor E3, Class E basic helix-loop-helix protein 33, RCCP2, TFEA, transcription factor binding to IGHM enhancer 3, transcription factor E family, member A, Transcription factor for IgH enhancer

Gene Symbol

TFE3

Additional Transcription factor E3 Products

Product Documents for Transcription factor E3 Antibody (TFE3/6849R)

Certificate of Analysis

To download a Certificate of Analysis, please enter a lot number in the search box below.

Product Specific Notices for Transcription factor E3 Antibody (TFE3/6849R)

This product is for research use only and is not approved for use in humans or in clinical diagnosis. Primary Antibodies are guaranteed for 1 year from date of receipt.

Loading...
Loading...
Loading...
Loading...