Skip to main content

Transcription factor E3 Antibody (CL12810) - Azide and BSA Free

Novus Biologicals, part of Bio-Techne | Catalog # NBP3-44163

Novus Biologicals, part of Bio-Techne
Catalog #
Availability
Size / Price
Qty
Loading...
NBP3-44163

Key Product Details

Species Reactivity

Human

Applications

Immunohistochemistry-Paraffin, Western Blot

Label

Unconjugated

Antibody Source

Monoclonal Mouse IgG2B Clone # CL12810

Format

Azide and BSA Free

Concentration

LYOPH mg/ml

Product Specifications

Immunogen

This antibody was generated using a recombinant protein sequence of P19532, with the exact immunogen sequence remaining proprietary.

Clonality

Monoclonal

Host

Mouse

Isotype

IgG2B

Description

Novus Biologicals Mouse Transcription factor E3 Antibody (CL12810) - Azide and BSA Free (NBP3-18574) is a monoclonal antibody validated for use in IHC and WB. All Novus Biologicals antibodies are covered by our 100% guarantee.

Scientific Data Images for Transcription factor E3 Antibody (CL12810) - Azide and BSA Free

Transcription factor E3 Antibody (CL12810) - Azide and BSA Free Immunohistochemistry-Paraffin: Transcription factor E3 Antibody [NBP3-44163]

Immunohistochemistry-Paraffin: Transcription factor E3 Antibody [NBP3-44163]

Staining of human kidney shows moderate to strong nuclear positivity in cells in glomeruli.
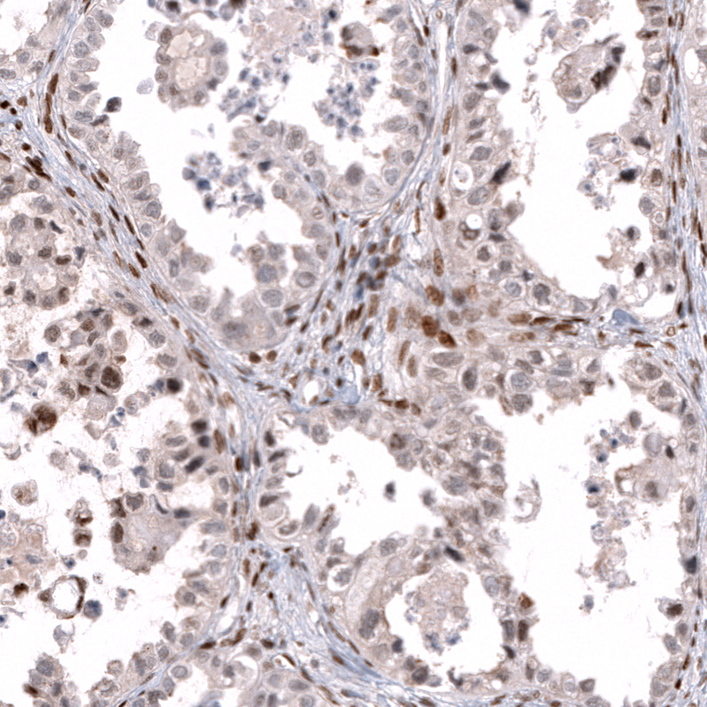
Transcription factor E3 Antibody (CL12810) - Azide and BSA Free Immunohistochemistry-Paraffin: Transcription factor E3 Antibody [NBP3-44163]

Immunohistochemistry-Paraffin: Transcription factor E3 Antibody [NBP3-44163]

Staining of human kidney cancer shows strong nuclear positivity in tumor cells.
Transcription factor E3 Antibody (CL12810) - Azide and BSA Free Immunohistochemistry-Paraffin: Transcription factor E3 Antibody [NBP3-44163]

Immunohistochemistry-Paraffin: Transcription factor E3 Antibody [NBP3-44163]

Staining of human liver shows no positivity in hepatocytes as expected.

Applications for Transcription factor E3 Antibody (CL12810) - Azide and BSA Free

Application
Recommended Usage

Immunohistochemistry-Paraffin

1:50 - 1:200

Western Blot

1 ug/ml
Application Notes
For use with IHC-Paraffin, HIER pH 6 retrieval is recommended.

Formulation, Preparation, and Storage

Purification

Protein A purified

Reconstitution

Centrifuge the vial of lyophilized antibody at 12,000 x g for 20 seconds. Reconstitute by adding sterile, distilled water to achieve a final antibody concentration of 1mg/ml.

Formulation

Lyophilized from a 0.2 um filtered solution in PBS with Trehalose

Format

Azide and BSA Free

Preservative

No Preservative

Concentration

LYOPH mg/ml

Shipping

The product is shipped at ambient temperature. Upon receipt, store it immediately at the temperature recommended below.

Stability & Storage

Store at 4C short term. Aliquot and store at -20C long term. Avoid freeze-thaw cycles.

Background: Transcription factor E3

TFE3, a member of the helix-loop-helix family of transcription factors, binds to the mu-E3 motif of the immunoglobulin heavy-chain enhancer and is expressed in many cell types (Henthorn et al., 1991 [PubMed 1685140]).[supplied by OMIM]

Alternate Names

BHLHE33, bHLHe33transcription factor E3, Class E basic helix-loop-helix protein 33, RCCP2, TFEA, transcription factor binding to IGHM enhancer 3, transcription factor E family, member A, Transcription factor for IgH enhancer

Gene Symbol

TFE3

Additional Transcription factor E3 Products

Product Documents for Transcription factor E3 Antibody (CL12810) - Azide and BSA Free

Certificate of Analysis

To download a Certificate of Analysis, please enter a lot number in the search box below.

Product Specific Notices for Transcription factor E3 Antibody (CL12810) - Azide and BSA Free

This product is for research use only and is not approved for use in humans or in clinical diagnosis. Primary Antibodies are guaranteed for 1 year from date of receipt.

Loading...
Loading...
Loading...
Loading...
Loading...