Skip to main content

TRAIL/TNFSF10 Antibody (55B709.3) - BSA Free

Novus Biologicals, part of Bio-Techne | Catalog # NB100-56518

Novus Biologicals, part of Bio-Techne
Catalog #
Availability
Size / Price
Qty
Loading...
NB100-56518SS
NB100-56518

Key Product Details

Species Reactivity

Validated:

Human

Cited:

Human

Predicted:

Canine (95%), Feline (95%). Backed by our 100% Guarantee.

Applications

Validated:

Immunohistochemistry, Immunohistochemistry-Paraffin, Western Blot

Cited:

Western Blot, Knockdown Validated

Label

Unconjugated

Antibody Source

Monoclonal Mouse IgG1 kappa Clone # 55B709.3

Format

BSA Free

Concentration

1.0 mg/ml

Product Specifications

Immunogen

This monoclonal antibody was raised against a peptide corresponding to amino acids 17-35 of human TRAIL. This peptide sequence has been shown to be involved in TRAIL and DR5 (TRAIL-R2) interaction.

Reactivity Notes

Predicted to react with Canine and Feline.

Clonality

Monoclonal

Host

Mouse

Isotype

IgG1 kappa

Description

Novus Biologicals Mouse TRAIL/TNFSF10 Antibody (55B709.3) - BSA Free (NB100-56518) is a monoclonal antibody validated for use in IHC and WB. Anti-TRAIL/TNFSF10 Antibody: Cited in 9 publications. All Novus Biologicals antibodies are covered by our 100% guarantee.

Scientific Data Images for TRAIL/TNFSF10 Antibody (55B709.3) - BSA Free

Western Blot: TRAIL/TNFSF10 Antibody (55B709.3)BSA Free [NB100-56518]

Western Blot: TRAIL/TNFSF10 Antibody (55B709.3)BSA Free [NB100-56518]

Western Blot: TRAIL/TNFSF10 Antibody (55B709.3) [NB100-56518] - Analysis of TRAIL in Jurkat lysate
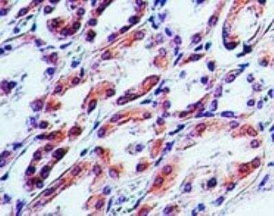
Immunohistochemistry-Paraffin: TRAIL/TNFSF10 Antibody (55B709.3) - BSA Free [NB100-56518]

Immunohistochemistry-Paraffin: TRAIL/TNFSF10 Antibody (55B709.3) - BSA Free [NB100-56518]

Immunohistochemistry-Paraffin: TRAIL/TNFSF10 Antibody (55B709.3) [NB100-56518] - Analysis of TRAIL in human kidney using TRAIL antibody at 5 ug/ml.

Applications for TRAIL/TNFSF10 Antibody (55B709.3) - BSA Free

Application
Recommended Usage

Immunohistochemistry-Paraffin

5 ug/ml

Western Blot

1-2 ug/ml
Application Notes
In Jurkat, a 32 kDa band, which represents a membrane bound form of TRAIL, is observed.

Formulation, Preparation, and Storage

Purification

Protein G purified

Formulation

PBS

Format

BSA Free

Preservative

0.05% Sodium Azide

Concentration

1.0 mg/ml

Shipping

The product is shipped with polar packs. Upon receipt, store it immediately at the temperature recommended below.

Stability & Storage

Store at 4C short term. Aliquot and store at -20C long term. Avoid freeze-thaw cycles.

Background: TRAIL/TNFSF10

Apoptosis, or programmed cell death, occurs during normal cellular differentiation and development of multicellular organisms. Apoptosis is induced by certain cytokines including TNF and Fas ligand in the TNF family through their death domain containing receptors, TNFR1 and Fas. A novel member in the TNF family was recently identified and designated TRAIL (for TNF-related apoptosis-inducing ligand) and Apo-2L (for Apo-2 ligand) (6,7). TRAIL is a type II membrane protein and expressed in a variety of human tissues. Two novel death domain containing receptors DR4 and DR5 have been identified as the receptor for TRAIL3-6. Like TNF and Fas ligand, TRAIL induces apoptosis and NF-kB activation in many tissues and cells.

Long Name

TNF-related Apoptosis-inducing Ligand

Alternate Names

CD253, TNFSF10

Entrez Gene IDs

8743 (Human)

Gene Symbol

TNFSF10

Additional TRAIL/TNFSF10 Products

Product Documents for TRAIL/TNFSF10 Antibody (55B709.3) - BSA Free

Certificate of Analysis

To download a Certificate of Analysis, please enter a lot number in the search box below.

Product Specific Notices for TRAIL/TNFSF10 Antibody (55B709.3) - BSA Free

This product is for research use only and is not approved for use in humans or in clinical diagnosis. Primary Antibodies are guaranteed for 1 year from date of receipt.

Loading...
Loading...
Loading...
Loading...