Skip to main content

TRAF3IP2 Antibody - BSA Free

Novus Biologicals, part of Bio-Techne | Catalog # NBP1-89263

Novus Biologicals, part of Bio-Techne
Catalog #
Availability
Size / Price
Qty
Loading...
NBP1-89263
NBP1-89263-25ul

Key Product Details

Species Reactivity

Validated:

Human

Predicted:

Mouse (99%), Rat (96%). Backed by our 100% Guarantee.

Applications

Immunohistochemistry, Immunohistochemistry-Paraffin, Western Blot, Immunocytochemistry/ Immunofluorescence

Label

Unconjugated

Antibody Source

Polyclonal Rabbit IgG

Format

BSA Free

Concentration

Concentrations vary lot to lot. See vial label for concentration. If unlisted please contact technical services.

Product Specifications

Immunogen

This antibody was developed against Recombinant Protein corresponding to amino acids: KQDVEGAESQLDEDEHGLHTKYIHRMMQIEFIKQGSMNFRFIPVLFPNAKKEHVPTWLQNTHVYSWPKNKKNILLRLLR

Clonality

Polyclonal

Host

Rabbit

Isotype

IgG

Description

Novus Biologicals Rabbit TRAF3IP2 Antibody - BSA Free (NBP1-89263) is a polyclonal antibody validated for use in IHC, WB and ICC/IF. All Novus Biologicals antibodies are covered by our 100% guarantee.

Scientific Data Images for TRAF3IP2 Antibody - BSA Free

Western Blot: TRAF3IP2 Antibody [NBP1-89263]

Western Blot: TRAF3IP2 Antibody [NBP1-89263]

Western Blot: TRAF3IP2 Antibody [NBP1-89263] - Analysis in control (vector only transfected HEK293T lysate) and TRAF3IP2 over-expression lysate (Co-expressed with a C-terminal myc-DDK tag (3.1 kDa) in mammalian HEK293T cells).
Immunocytochemistry/ Immunofluorescence: TRAF3IP2 Antibody [NBP1-89263]

Immunocytochemistry/ Immunofluorescence: TRAF3IP2 Antibody [NBP1-89263]

Immunocytochemistry/Immunofluorescence: TRAF3IP2 Antibody [NBP1-89263] - Staining of human cell line U-251 MG shows localization to the Golgi apparatus & vesicles. Antibody staining is shown in green.
TRAF3IP2 Antibody - BSA Free

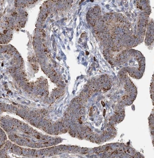
TRAF3IP2 Antibody [NBP1-89263] -

Staining of human fallopian tube shows moderate granular cytoplasmic positivity in glandular cells.

Applications for TRAF3IP2 Antibody - BSA Free

Application
Recommended Usage

Immunocytochemistry/ Immunofluorescence

0.25-2 ug/ml

Immunohistochemistry

1:200 - 1:500

Immunohistochemistry-Paraffin

1:200 - 1:500

Western Blot

0.04-0.4 ug/ml
Application Notes
For IHC-Paraffin, HIER pH 6 retrieval is recommended. ICC/IF, Fixation Permeabilization: Use PFA/Triton X-100.

Formulation, Preparation, and Storage

Purification

Immunogen affinity purified

Formulation

PBS (pH 7.2) and 40% Glycerol

Format

BSA Free

Preservative

0.02% Sodium Azide

Concentration

Concentrations vary lot to lot. See vial label for concentration. If unlisted please contact technical services.

Shipping

The product is shipped with polar packs. Upon receipt, store it immediately at the temperature recommended below.

Stability & Storage

Store at 4C short term. Aliquot and store at -20C long term. Avoid freeze-thaw cycles.

Background: TRAF3IP2

TRAF3IP2 encodes a protein involved in regulating responses to cytokines by members of the Rel/NF-kappaB transcription factor family. These factors play a central role in innate immunity in response to pathogens, inflammatory signals and stress. This gene product interacts with TRAF proteins (tumor necrosis factor receptor-associated factors) and either I-kappaB kinase or MAP kinase to activate either NF-kappaB or Jun kinase. Two alternative transcripts encoding different proteins have been identified. A third transcript, which does not encode a protein and is transcribed in the opposite orientation, has been identified. Overexpression of this transcript has been shown to reduce expression of at least one of the protein encoding transcripts, suggesting it has a regulatory role in the expression of this gene.

Alternate Names

ACT1DKFZP586G0522, adapter protein CIKS, C6orf2, C6orf4chromosome 6 open reading frame 5, C6orf5DKFZp586G0522, C6orf6MGC3581, CIKSchromosome 6 open reading frame 2, Connection to IKK and SAPK/JNK, NFkB-activating protein ACT1, Nuclear factor NF-kappa-B activator 1, TRAF3 interacting protein 2, TRAF3-interacting protein 2

Gene Symbol

TRAF3IP2

Additional TRAF3IP2 Products

Product Documents for TRAF3IP2 Antibody - BSA Free

Certificate of Analysis

To download a Certificate of Analysis, please enter a lot number in the search box below.

Product Specific Notices for TRAF3IP2 Antibody - BSA Free

This product is for research use only and is not approved for use in humans or in clinical diagnosis. Primary Antibodies are guaranteed for 1 year from date of receipt.

Loading...
Loading...
Loading...
Loading...