Skip to main content

TPK1 Antibody - BSA Free

Novus Biologicals, part of Bio-Techne | Catalog # NBP1-32248

Novus Biologicals, part of Bio-Techne
Catalog #
Availability
Size / Price
Qty
Loading...
NBP1-32248

Key Product Details

Species Reactivity

Human, Mouse

Applications

Immunohistochemistry, Immunohistochemistry-Paraffin, Western Blot

Label

Unconjugated

Antibody Source

Polyclonal Rabbit IgG

Format

BSA Free

Concentration

Concentrations vary lot to lot. See vial label for concentration. If unlisted please contact technical services.

Product Specifications

Immunogen

Recombinant protein encompassing a sequence within the center region of human TPK1. The exact sequence is proprietary.

Reactivity Notes

Rat (88%), Bovine (88%).

Clonality

Polyclonal

Host

Rabbit

Isotype

IgG

Theoretical MW

27 kDa.
Disclaimer note: The observed molecular weight of the protein may vary from the listed predicted molecular weight due to post translational modifications, post translation cleavages, relative charges, and other experimental factors.

Description

Novus Biologicals Rabbit TPK1 Antibody - BSA Free (NBP1-32248) is a polyclonal antibody validated for use in IHC and WB. All Novus Biologicals antibodies are covered by our 100% guarantee.

Scientific Data Images for TPK1 Antibody - BSA Free

Western Blot: TPK1 Antibody [NBP1-32248]

Western Blot: TPK1 Antibody [NBP1-32248]

Western Blot: TPK1 Antibody [NBP1-32248] - A. 30 ug H1299 whole cell lysate/extract 12 % SDS-PAGE gel, antibody dilution 1:1000.
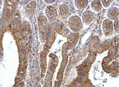
Immunohistochemistry-Paraffin: TPK1 Antibody [NBP1-32248]

Immunohistochemistry-Paraffin: TPK1 Antibody [NBP1-32248]

Immunohistochemistry-Paraffin: TPK1 Antibody [NBP1-32248] - Paraffin-embedded mouse intestine. TPK1 antibody dilution: 1:500.
Western Blot: TPK1 Antibody [NBP1-32248]

Western Blot: TPK1 Antibody [NBP1-32248]

Western Blot: TPK1 Antibody [NBP1-32248] - Sample (50 ug of whole cell lysate) A: Mouse liver 12% SDS PAGE; antibody diluted at 1:1000.

Applications for TPK1 Antibody - BSA Free

Application
Recommended Usage

Immunohistochemistry

1:100-1:1000

Immunohistochemistry-Paraffin

1:100-1:1000

Western Blot

1:500-1:3000

Formulation, Preparation, and Storage

Purification

Antigen Affinity-purified

Formulation

0.1M Tris, 0.1M Glycine, 10% Glycerol

Format

BSA Free

Preservative

0.01% Thimerosal

Concentration

Concentrations vary lot to lot. See vial label for concentration. If unlisted please contact technical services.

Shipping

The product is shipped with polar packs. Upon receipt, store it immediately at the temperature recommended below.

Stability & Storage

Aliquot and store at -20C or -80C. Avoid freeze-thaw cycles.

Background: TPK1

This gene encodes a protein, that exists as a homodimer, which catalyzes the conversion of thiamine to thiamine pyrophosphate. Alternate transcriptional splice variants, encoding different isoforms, have been characterized.

Alternate Names

EC 2.7.6.2, hTPK1, Placental protein 20, PP20thiamine kinase, thiamin pyrophosphokinase 1, thiamine diphosphokinase, Thiamine pyrophosphokinase 1

Gene Symbol

TPK1

Additional TPK1 Products

Product Documents for TPK1 Antibody - BSA Free

Certificate of Analysis

To download a Certificate of Analysis, please enter a lot number in the search box below.

Product Specific Notices for TPK1 Antibody - BSA Free

This product is for research use only and is not approved for use in humans or in clinical diagnosis. Primary Antibodies are guaranteed for 1 year from date of receipt.

Loading...
Loading...
Loading...
Loading...

⚠ WARNING: This product can expose you to chemicals including mercury, which is known to the State of California to cause reproductive toxicity with developmental effects.  For more information go to www.P65Warnings.ca.gov.