Skip to main content

TOX2 Antibody - BSA Free

Novus Biologicals, part of Bio-Techne | Catalog # NBP2-13464

Novus Biologicals, part of Bio-Techne
Catalog #
Availability
Size / Price
Qty
Loading...
NBP2-13464
NBP2-13464-25ul

Key Product Details

Validated by

Orthogonal Validation

Species Reactivity

Human

Applications

Immunocytochemistry/ Immunofluorescence, Immunohistochemistry, Immunohistochemistry-Paraffin

Label

Unconjugated

Antibody Source

Polyclonal Rabbit IgG

Format

BSA Free

Concentration

Concentrations vary lot to lot. See vial label for concentration. If unlisted please contact technical services.

Product Specifications

Immunogen

This antibody was developed against a recombinant protein corresponding to the amino acids: IAGVFPQKFDGDSAYVGMSDGNPELLSTSQTYNGQSENNEDYEIPPITPPN

Reactivity Notes

Immunogen displays the following percentage of sequence identity for non-tested species: Mouse (88%), Rat (80%)

Clonality

Polyclonal

Host

Rabbit

Isotype

IgG

Description

Novus Biologicals Rabbit TOX2 Antibody - BSA Free (NBP2-13464) is a polyclonal antibody validated for use in IHC and ICC/IF. All Novus Biologicals antibodies are covered by our 100% guarantee.

Scientific Data Images for TOX2 Antibody - BSA Free

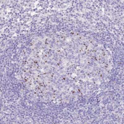
Immunohistochemistry-Paraffin: TOX2 Antibody [NBP2-13464]

Immunohistochemistry-Paraffin: TOX2 Antibody [NBP2-13464]

Immunohistochemistry-Paraffin: TOX2 Antibody [NBP2-13464] - Staining in human lymph node and skeletal muscle tissues.. Corresponding TOX2 RNA-seq data are presented for the same tissues.
Immunocytochemistry/ Immunofluorescence: TOX2 Antibody [NBP2-13464]

Immunocytochemistry/ Immunofluorescence: TOX2 Antibody [NBP2-13464]

Immunocytochemistry/Immunofluorescence: TOX2 Antibody [NBP2-13464] - Staining of human cell line A-431 shows localization to nucleoplasm. Antibody staining is shown in green.
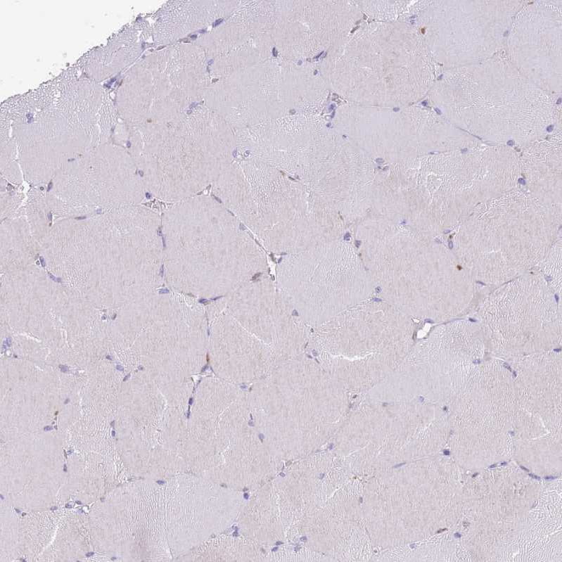
Immunohistochemistry-Paraffin: TOX2 Antibody [NBP2-13464]

Immunohistochemistry-Paraffin: TOX2 Antibody [NBP2-13464]

Immunohistochemistry-Paraffin: TOX2 Antibody [NBP2-13464] - Staining of human skeletal muscle shows no positivity in myocytes as expected.

Applications for TOX2 Antibody - BSA Free

Application
Recommended Usage

Immunocytochemistry/ Immunofluorescence

0.25-2 ug/ml

Immunohistochemistry

1:20 - 1:50

Immunohistochemistry-Paraffin

1:20 - 1:50
Application Notes
For IHC-Paraffin, HIER pH 6 retrieval is recommended. ICC/IF Fixation Permeabilization: Use PFA/Triton X-100.

Formulation, Preparation, and Storage

Purification

Immunogen affinity purified

Formulation

PBS (pH 7.2) and 40% Glycerol

Format

BSA Free

Preservative

0.02% Sodium Azide

Concentration

Concentrations vary lot to lot. See vial label for concentration. If unlisted please contact technical services.

Shipping

The product is shipped with polar packs. Upon receipt, store it immediately at the temperature recommended below.

Stability & Storage

Store at 4C short term. Aliquot and store at -20C long term. Avoid freeze-thaw cycles.

Background: TOX2

Putative transcriptional activator involved in the hypothalamo-pituitary-gonadal system.

Alternate Names

C20orf100, chromosome 20 open reading frame 100, dJ495O3.1, GCX1, GCX-1dJ1108D11.2, granulosa cell HMG box 1, Granulosa cell HMG box protein 1, granulosa cell HMG-box protein 1, MGC15880, TOX high mobility group box family member 2

Gene Symbol

TOX2

Additional TOX2 Products

Product Documents for TOX2 Antibody - BSA Free

Certificate of Analysis

To download a Certificate of Analysis, please enter a lot number in the search box below.

Product Specific Notices for TOX2 Antibody - BSA Free

This product is for research use only and is not approved for use in humans or in clinical diagnosis. Primary Antibodies are guaranteed for 1 year from date of receipt.

Loading...
Loading...
Loading...
Loading...