Skip to main content

TOPORS Antibody

Novus Biologicals, part of Bio-Techne | Catalog # NBP1-22976

Novus Biologicals, part of Bio-Techne
Catalog #
Availability
Size / Price
Qty
Loading...
NBP1-22976

Key Product Details

Validated by

Independent Antibodies

Species Reactivity

Human

Applications

Immunohistochemistry, Immunohistochemistry-Paraffin, Immunoprecipitation, Western Blot

Label

Unconjugated

Antibody Source

Polyclonal Rabbit IgG

Concentration

0.2 mg/ml

Product Specifications

Immunogen

The immunogen recognized by this antibody maps to a region between residue 995 and 1045 of human topoisomerase I binding, arginine/serine-rich using the numbering given in entry topoisomerase I binding, arginine/serine-rich NP_005793.2 (GeneID 10210).

Clonality

Polyclonal

Host

Rabbit

Isotype

IgG

Description

Novus Biologicals Rabbit TOPORS Antibody (NBP1-22976) is a polyclonal antibody validated for use in IHC, WB and IP. Anti-TOPORS Antibody: Cited in 1 publication. All Novus Biologicals antibodies are covered by our 100% guarantee.

Scientific Data Images for TOPORS Antibody

Western Blot: TOPORS Antibody [NBP1-22976]

Western Blot: TOPORS Antibody [NBP1-22976]

Western Blot: TOPORS Antibody [NBP1-22976] - Whole cell lysate from HeLa cells. Affinity purified rabbit anti-TOPORS antibody NBP1-22976. TOPORS was also immunoprecipitated by another rabbit anti-TOPORS antibody.
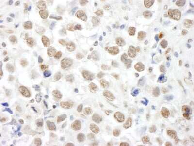
Immunohistochemistry-Paraffin: TOPORS Antibody [NBP1-22976]

Immunohistochemistry-Paraffin: TOPORS Antibody [NBP1-22976]

Immunohistochemistry-Paraffin: TOPORS Antibody [NBP1-22976] - Sample: FFPE section of human testicular seminoma. Antibody: Affinity purified rabbit anti- TOPORS used at a dilution of 1:200 (1ug/ml). Detection: DAB

Applications for TOPORS Antibody

Application
Recommended Usage

Immunohistochemistry

1:100 - 1:500

Immunohistochemistry-Paraffin

1:100 - 1:500

Immunoprecipitation

5-15 ug/mg lysate

Western Blot

1:2000-1:10000
Application Notes
Epitope retrieval with citrate buffer pH 6.0 is recommended for FFPE tissue sections.

Formulation, Preparation, and Storage

Purification

Immunogen affinity purified

Formulation

TBS and 0.1% BSA

Preservative

0.09% Sodium Azide

Concentration

0.2 mg/ml

Shipping

The product is shipped with polar packs. Upon receipt, store it immediately at the temperature recommended below.

Stability & Storage

Store at 4C. Do not freeze.

Background: TOPORS

TOPORS (topoisomerase I-binding RS protein) was identified in a a yeast two-hybrid screen for proteins that bind the N-terminus of topoisomerase I. TOPORS contains a RING-type zinc-finger domain and an RS-rich region. TOPORS has been found to possess both ubiquitin and SUMO-1 E3 ligase activity. It can ubiquitinate and sumoylate p53 and may possibly function as a tumor suppressor. Defects in TOPORS are the cause of retinitis pigmentosa type 31.

Alternate Names

EC 6.3.2.-, LUNtopoisomerase I binding, arginine/serine-rich, p53-binding protein 3, P53BP3, retinitis pigmentosa 31 (autosomal dominant), RP31, SUMO1-protein E3 ligase Topors, topoisomerase I binding, arginine/serine-rich, E3 ubiquitin protein ligase, Topoisomerase I-binding arginine/serine-rich protein, Topoisomerase I-binding RING finger protein, TP53BPLE3 ubiquitin-protein ligase Topors, Tumor suppressor p53-binding protein 3

Entrez Gene IDs

10210 (Human)

Gene Symbol

TOPORS

UniProt

Additional TOPORS Products

Product Documents for TOPORS Antibody

Certificate of Analysis

To download a Certificate of Analysis, please enter a lot number in the search box below.

Product Specific Notices for TOPORS Antibody

This product is for research use only and is not approved for use in humans or in clinical diagnosis. Primary Antibodies are guaranteed for 1 year from date of receipt.

Loading...
Loading...
Loading...
Loading...