Skip to main content

Topoisomerase I Antibody (3D4W6)

Novus Biologicals, part of Bio-Techne | Catalog # NBP3-15450

Recombinant Monoclonal Antibody
Novus Biologicals, part of Bio-Techne
Catalog #
Availability
Size / Price
Qty
Loading...
NBP3-15450-100ul
NBP3-15450-20ul

Key Product Details

Species Reactivity

Human, Mouse

Applications

ELISA, Immunocytochemistry/ Immunofluorescence, Immunohistochemistry, Immunohistochemistry-Paraffin, Immunoprecipitation, Western Blot

Label

Unconjugated

Antibody Source

Recombinant Monoclonal Rabbit IgG Clone # 3D4W6 expressed in HEK293

Concentration

Please see the vial label for concentration. If unlisted please contact technical services.

Product Specifications

Immunogen

A synthetic peptide corresponding to a sequence within amino acids 1-100 of human Topoisomerase I (P11387). MSGDHLHNDSQIEADFRLNDSHKHKDKHKDREHRHKEHKKEKDREKSKHSNSEHKDSEKKHKEKEKTKHKDGSSEKHKDKHKDRDKEKRKEEKVRASGDA

Clonality

Monoclonal

Host

Rabbit

Isotype

IgG

Theoretical MW

91 kDa.
Disclaimer note: The observed molecular weight of the protein may vary from the listed predicted molecular weight due to post translational modifications, post translation cleavages, relative charges, and other experimental factors.

Description

Novus Biologicals Rabbit Topoisomerase I Antibody (3D4W6) (NBP3-15450) is a recombinant monoclonal antibody validated for use in IHC, WB, ELISA, ICC/IF and IP. All Novus Biologicals antibodies are covered by our 100% guarantee.

Scientific Data Images for Topoisomerase I Antibody (3D4W6)

Western Blot: Topoisomerase I Antibody (3D4W6) [NBP3-15450]

Western Blot: Topoisomerase I Antibody (3D4W6) [NBP3-15450]

Western Blot: Topoisomerase I Antibody (3D4W6) [NBP3-15450] - Western blot analysis of extracts of Mouse thymus, using DNA topoisomerase I (Topoisomerase I) Rabbit mAb (NBP3-15450) at 1:1000 dilution. Secondary antibody: HRP Goat Anti-Rabbit IgG (H+L) at 1:10000 dilution. Lysates/proteins: 25ug per lane. Blocking buffer: 3% nonfat dry milk in TBST. Detection: ECL Basic Kit. Exposure time: 5s.
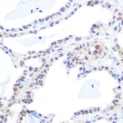
Immunohistochemistry-Paraffin: Topoisomerase I Antibody (3D4W6) [NBP3-15450]

Immunohistochemistry-Paraffin: Topoisomerase I Antibody (3D4W6) [NBP3-15450]

Immunohistochemistry-Paraffin: Topoisomerase I Antibody (3D4W6) [NBP3-15450] - Human thyroid cancer using DNA topoisomerase I (Topoisomerase I) Rabbit mAb (NBP3-15450) at dilution of 1:100 (40x lens).Perform microwave antigen retrieval with 10 mM PBS buffer pH 7.2 before commencing with IHC staining protocol.
Immunoprecipitation: Topoisomerase I Antibody (3D4W6) [NBP3-15450]

Immunoprecipitation: Topoisomerase I Antibody (3D4W6) [NBP3-15450]

Immunoprecipitation: Topoisomerase I Antibody (3D4W6) [NBP3-15450] - Immunoprecipitation analysis of 300ug extracts of MCF7 cells using 3ug Topoisomerase I antibody (NBP3-15450). Western blot was performed from the immunoprecipitate using Topoisomerase I antibody (NBP3-15450) at a dilition of 1:1000.

Applications for Topoisomerase I Antibody (3D4W6)

Application
Recommended Usage

ELISA

Recommended starting concentration is 1 μg/mL. Please optimize the concentration based on your specific assay requirements.

Immunocytochemistry/ Immunofluorescence

1:200 - 1:1000

Immunohistochemistry

1:200 - 1:800

Immunohistochemistry-Paraffin

1:200 - 1:800

Immunoprecipitation

0.5μg-4μg antibody for 200μg-400μg extracts of whole cells

Western Blot

1:1000 - 1:6000

Formulation, Preparation, and Storage

Purification

Affinity purified

Formulation

PBS (pH 7.3), 50% glycerol, 0.05% BSA

Preservative

0.02% Sodium Azide

Concentration

Please see the vial label for concentration. If unlisted please contact technical services.

Shipping

The product is shipped with polar packs. Upon receipt, store it immediately at the temperature recommended below.

Stability & Storage

Store at -20C. Avoid freeze-thaw cycles.

Background: Topoisomerase I

Topoisomerases are nuclear enzymes involved in a variety of cellular activities such as chromosome condensation, DNA replication, transcription, recombination and segregation at mitosis. Human topoisomerase I is a 100kD protein capable of relaxing positively and negatively supercoiled DNA by performing a transient single stranded nick which is then religated at the end of the reaction. It has been shown that the enzyme is located in regions of the genome that are undergoing active RNA synthesis, where it probably reduces superhelical stresses in the DNA, enabling RNA polymerase to function properly. Both DNA topoisomerases I and II have been found to be targets of autoantibodies in the sera of patients with certain autoimmune diseases such as systemic lupus erythematosus and also of some anti tumor drugs and antibiotics. Elevated levels of DNA topoisomerase I, detected by transfer assays, have been demonstrated in colorectal tumors compared with normal colon mucosa as a result of increased transcription or mRNA stability.

Long Name

DNA topoisomerase 1

Alternate Names

DNA topoisomerase I, EC 5.6.2.1, TOP1

Gene Symbol

TOP1

Additional Topoisomerase I Products

Product Documents for Topoisomerase I Antibody (3D4W6)

Certificate of Analysis

To download a Certificate of Analysis, please enter a lot number in the search box below.

Product Specific Notices for Topoisomerase I Antibody (3D4W6)

This product is for research use only and is not approved for use in humans or in clinical diagnosis. Primary Antibodies are guaranteed for 1 year from date of receipt.

Loading...
Loading...
Loading...
Loading...