Skip to main content

TopBP1 Antibody (PSH01-14)

Novus Biologicals, part of Bio-Techne | Catalog # NBP3-33036

Recombinant Monoclonal Antibody
Novus Biologicals, part of Bio-Techne
Catalog #
Availability
Size / Price
Qty
Loading...
NBP3-33036

Key Product Details

Species Reactivity

Human

Applications

Immunohistochemistry, Immunohistochemistry-Paraffin, Western Blot

Label

Unconjugated

Antibody Source

Recombinant Monoclonal Rabbit IgG Clone # PSH01-14 expressed in HEK293

Concentration

1 mg/ml

Product Specifications

Immunogen

Recombinant protein within human TopBP1 aa 1,201-1,522 / 1,522. (Uniprot: Q92547)

Localization

Nucleus, Cytoplasm, cytoskeleton, microtubule organizing center, centrosome, spindle pole, Chromosome.

Clonality

Monoclonal

Host

Rabbit

Isotype

IgG

Theoretical MW

171 kDa.
Disclaimer note: The observed molecular weight of the protein may vary from the listed predicted molecular weight due to post translational modifications, post translation cleavages, relative charges, and other experimental factors.

Description

Novus Biologicals Rabbit TopBP1 Antibody (PSH01-14) (NBP3-33036) is a recombinant monoclonal antibody validated for use in IHC and WB. All Novus Biologicals antibodies are covered by our 100% guarantee.

Scientific Data Images for TopBP1 Antibody (PSH01-14)

TopBP1 Antibody (PSH01-14)

Western Blot: TopBP1 Antibody (PSH01-14) [NBP3-33036]

Western Blot: TopBP1 Antibody (PSH01-14) [NBP3-33036] - Western blot analysis of TopBP1 on different lysates with Rabbit anti-TopBP1 antibody (NBP3-33036) at 1/1,000 dilution.

Lane 1: HeLa cell lysate
Lane 2: HEK-293 cell lysate
Lane 3: HCT 116 cell lysate
Lane 4: Jurkat cell lysate
Lane 5: K-562 cell lysate
Lane 6: HUVEC cell lysate

Lysates/proteins at 20 ug/Lane.

Predicted band size: 171 kDa
Observed band size: 171 kDa

Exposure time: 3 minutes 10 seconds;

4-20% SDS-PAGE gel.

Proteins were transferred to a PVDF membrane and blocked with 5% NFDM/TBST for 1 hour at room temperature. The primary antibody (NBP3-33036) at 1/1,000 dilution was used in 5% NFDM/TBST at room temperature for 2 hours. Goat Anti-Rabbit IgG - HRP Secondary Antibody at 1:100,000 dilution was used for 1 hour at room temperature.
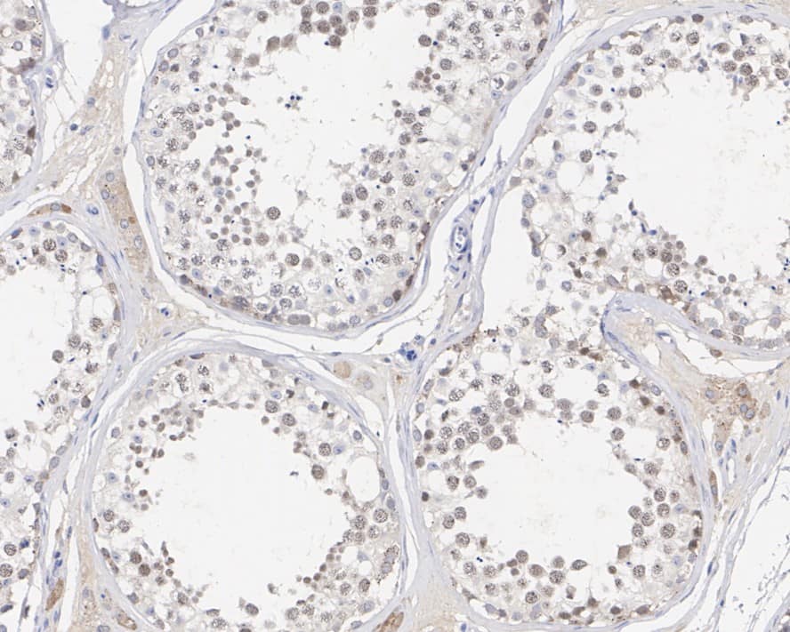
TopBP1 Antibody (PSH01-14)

Immunohistochemistry: TopBP1 Antibody (PSH01-14) [NBP3-33036]

Immunohistochemistry: TopBP1 Antibody (PSH01-14) [NBP3-33036] - Immunohistochemical analysis of paraffin-embedded human testis tissue with Rabbit anti-TopBP1 antibody (NBP3-33036) at 1/200 dilution.

The section was pre-treated using heat mediated antigen retrieval with sodium citrate buffer (pH 6.0) for 2 minutes. The tissues were blocked in 1% BSA for 20 minutes at room temperature, washed with ddH2O and PBS, and then probed with the primary antibody (NBP3-33036) at 1/200 dilution for 1 hour at room temperature. The detection was performed using an HRP conjugated compact polymer system. DAB was used as the chromogen. Tissues were counterstained with hematoxylin and mounted with DPX.

Applications for TopBP1 Antibody (PSH01-14)

Application
Recommended Usage

Immunohistochemistry-Paraffin

1:200

Western Blot

1:1000-1:2000

Formulation, Preparation, and Storage

Purification

Protein A purified

Formulation

PBS (pH7.4), 0.1% BSA and 40% Glycerol

Preservative

0.05% Sodium Azide

Concentration

1 mg/ml

Shipping

The product is shipped with polar packs. Upon receipt, store it immediately at the temperature recommended below.

Stability & Storage

Store at 4C short term. Aliquot and store at -20C long term. Avoid freeze-thaw cycles.

Background: TopBP1

DNA topoisomerase II-binding protein 1 (TopBP1) is a protein that interacts with the C-terminal region of topoisomerase II beta (Topo II beta). TopBP1 function has been found to be important to various aspects of cellular growth control such as DNA replication, the DNA damage checkpoint, and cell survival. TopBP1 interacts with several proteins through its BRCA1 C-terminal (BRCT) motifs. TopBP1 interacts and inhibits E2F1 transcriptional activity through an Rb-independent mechanism that involves recruitment of the SWI/SNF chromatin-remodeling complex proteins Brg1 and Brm.

Long Name

DNA Topoisomerase II Binding Protein 1

Alternate Names

TOP2BP1

Gene Symbol

TOPBP1

Additional TopBP1 Products

Product Documents for TopBP1 Antibody (PSH01-14)

Certificate of Analysis

To download a Certificate of Analysis, please enter a lot number in the search box below.

Product Specific Notices for TopBP1 Antibody (PSH01-14)

This product is for research use only and is not approved for use in humans or in clinical diagnosis. Primary Antibodies are guaranteed for 1 year from date of receipt.

Loading...
Loading...
Loading...
Loading...