Skip to main content

TOP2B Antibody

Novus Biologicals, part of Bio-Techne | Catalog # NB100-40842

Novus Biologicals, part of Bio-Techne
Catalog #
Availability
Size / Price
Qty
Loading...
NB100-40842

Key Product Details

Validated by

Independent Antibodies, Biological Validation

Species Reactivity

Validated:

Human, Mouse

Cited:

Human, Mouse

Applications

Validated:

Immunohistochemistry, Immunohistochemistry-Paraffin, Western Blot, Immunoprecipitation

Cited:

Western Blot, Immunocytochemistry/ Immunofluorescence, Immunoprecipitation

Label

Unconjugated

Antibody Source

Polyclonal Rabbit IgG

Concentration

0.2 mg/ml

Product Specifications

Immunogen

The immunogen recognized by this antibody maps to a region between residue 1570 and the C-terminus (residue 1621) of human DNA Topoisomerase II Beta using the numbering given in entry NP_001059.2 (GeneID 7155).

Clonality

Polyclonal

Host

Rabbit

Isotype

IgG

Theoretical MW

183 kDa.
Disclaimer note: The observed molecular weight of the protein may vary from the listed predicted molecular weight due to post translational modifications, post translation cleavages, relative charges, and other experimental factors.

Description

Novus Biologicals Rabbit TOP2B Antibody (NB100-40842) is a polyclonal antibody validated for use in IHC, WB, ICC/IF and IP. Anti-TOP2B Antibody: Cited in 8 publications. All Novus Biologicals antibodies are covered by our 100% guarantee.

Scientific Data Images for TOP2B Antibody

Western Blot: TOP2B Antibody [NB100-40842]

Western Blot: TOP2B Antibody [NB100-40842]

Western Blot: TOP2B Antibody [NB100-40842] - Whole cell lysate (50 ug) from HEK293T, HeLa, Jurkat, TCMK-1, and NIH 3T3 cells prepared using NETN lysis buffer. Antibody: Affinity purified rabbit anti-Topo II Beta antibody used for WB at 0.04 ug/ml. Detection: Chemiluminescence withan exposure time of 30 seconds
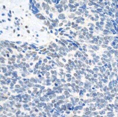
Immunohistochemistry-Paraffin: TOP2B Antibody [NB100-40842]

Immunohistochemistry-Paraffin: TOP2B Antibody [NB100-40842]

Immunohistochemistry-Paraffin: TOP2B Antibody [NB100-40842] - FFPE section of human small cell lung cancer. Antibody: Affinity purified rabbitanti-Topo II Beta used at a dilution of 1:1,000 (0.2ug/ml). Detection: DAB
Western Blot: TOP2B Antibody [NB100-40842]

Western Blot: TOP2B Antibody [NB100-40842]

Western Blot: TOP2B Antibody [NB100-40842] - Detection of Human Topo II Beta on HeLa whole cell lysate using NB100-40842. Topo II Beta was also immunoprecipitated by another rabbit anti-Topo II Beta antibody and NB100-40841.

Applications for TOP2B Antibody

Application
Recommended Usage

Immunohistochemistry

1:200 - 1:1000

Immunohistochemistry-Paraffin

1:200 - 1:1000

Immunoprecipitation

2-10 ug/mg lysate

Western Blot

1:2000-1:10000
Application Notes
Epitope retrieval with citrate buffer pH 6.0 is recommended for FFPE tissue sections.

Reviewed Applications

Read 1 review rated 4 using NB100-40842 in the following applications:

Formulation, Preparation, and Storage

Purification

Immunogen affinity purified

Formulation

TBS and 0.1% BSA

Preservative

0.09% Sodium Azide

Concentration

0.2 mg/ml

Shipping

The product is shipped with polar packs. Upon receipt, store it immediately at the temperature recommended below.

Stability & Storage

Store at 4C. Do not freeze.

Background: TOP2B

Topo II Beta antibody plays important roles in synthesis and transcription of DNA as well as chromosomal segregation during mitosis. It is present ubiquitously in normal cells and is upregulated in tumors and proliferating cells. Further, it is implicated in drug resistance of tumor cells.

Long Name

DNA Topoisomerase II beta

Alternate Names

antigen MLAA-44, DNA topoisomerase 2-beta, DNA topoisomerase II beta, DNA topoisomerase II, 180 kD, DNA topoisomerase II, beta isozyme, EC 5.99.1.3, top2beta, TOPIIB, topo II beta, topoisomerase (DNA) II beta (180kD), topoisomerase (DNA) II beta 180kDa, topoisomerase II beta, topoisomerase IIb, U937 associated antigen

Entrez Gene IDs

7155 (Human)

Gene Symbol

TOP2B

UniProt

Additional TOP2B Products

Product Documents for TOP2B Antibody

Certificate of Analysis

To download a Certificate of Analysis, please enter a lot number in the search box below.

Product Specific Notices for TOP2B Antibody

This product is for research use only and is not approved for use in humans or in clinical diagnosis. Primary Antibodies are guaranteed for 1 year from date of receipt.

Loading...
Loading...
Loading...
Loading...